A Case of Mesothelial-Cell Inclusions in the Mediastinal Lymph Nodes After Lung Cancer Surgery.

IF 0.8 Q4 RESPIRATORY SYSTEM
Respirology Case Reports Pub Date : 2025-07-16 eCollection Date: 2025-07-01 DOI:10.1002/rcr2.70276
Hiroyuki Miura, Jun Miura, Shinichi Goto, Tomoko Yamamoto
{"title":"A Case of Mesothelial-Cell Inclusions in the Mediastinal Lymph Nodes After Lung Cancer Surgery.","authors":"Hiroyuki Miura, Jun Miura, Shinichi Goto, Tomoko Yamamoto","doi":"10.1002/rcr2.70276","DOIUrl":null,"url":null,"abstract":"<p><p>Mesothelial-cell inclusion (MCI) is an inclusion of mesothelial cells found in lymph nodes. Although it is a rare condition, differentiating it from lymph node metastasis is essential to avoid a misdiagnosis. We reported, for the first time, a case of MCI after lung cancer surgery. The patient was a 76-year-old Japanese man with a history of bilateral radical surgery for lung cancer. Follow-up computed tomography performed at 7 years after the initial surgery revealed an enlarged right cardiophrenic angle lymph node. It was resected through video-assisted thoracic surgery, and histopathology revealed non-dysplastic ductal proliferation. Immunohistochemistry was positive for AE1/3, D2-40, calretinin, and WT-1, and negative for CD31, CD34, and factor VIII. Based on these findings, MCI was finally diagnosed. Although the presence of metastasis is the first possible cause for the enlarged lymph nodes in such cases, MCI must also be considered.</p>","PeriodicalId":45846,"journal":{"name":"Respirology Case Reports","volume":"13 7","pages":"e70276"},"PeriodicalIF":0.8000,"publicationDate":"2025-07-16","publicationTypes":"Journal Article","fieldsOfStudy":null,"isOpenAccess":false,"openAccessPdf":"https://www.ncbi.nlm.nih.gov/pmc/articles/PMC12266986/pdf/","citationCount":"0","resultStr":null,"platform":"Semanticscholar","paperid":null,"PeriodicalName":"Respirology Case Reports","FirstCategoryId":"1085","ListUrlMain":"https://doi.org/10.1002/rcr2.70276","RegionNum":0,"RegionCategory":null,"ArticlePicture":[],"TitleCN":null,"AbstractTextCN":null,"PMCID":null,"EPubDate":"2025/7/1 0:00:00","PubModel":"eCollection","JCR":"Q4","JCRName":"RESPIRATORY SYSTEM","Score":null,"Total":0}
引用次数: 0

Abstract

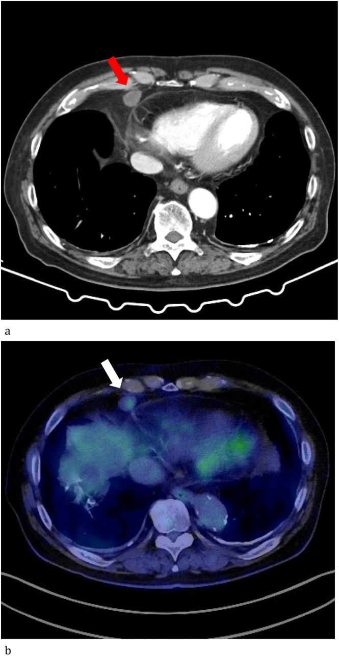
Mesothelial-cell inclusion (MCI) is an inclusion of mesothelial cells found in lymph nodes. Although it is a rare condition, differentiating it from lymph node metastasis is essential to avoid a misdiagnosis. We reported, for the first time, a case of MCI after lung cancer surgery. The patient was a 76-year-old Japanese man with a history of bilateral radical surgery for lung cancer. Follow-up computed tomography performed at 7 years after the initial surgery revealed an enlarged right cardiophrenic angle lymph node. It was resected through video-assisted thoracic surgery, and histopathology revealed non-dysplastic ductal proliferation. Immunohistochemistry was positive for AE1/3, D2-40, calretinin, and WT-1, and negative for CD31, CD34, and factor VIII. Based on these findings, MCI was finally diagnosed. Although the presence of metastasis is the first possible cause for the enlarged lymph nodes in such cases, MCI must also be considered.

Abstract Image

Abstract Image

Abstract Image

肺癌术后纵隔淋巴结间皮细胞包涵1例。
间皮细胞包涵体(MCI)是在淋巴结中发现的间皮细胞包涵体。虽然它是一种罕见的情况,区分它与淋巴结转移是必不可少的,以避免误诊。我们首次报道一例肺癌手术后轻度认知损伤。患者为76岁的日本男性,有双侧肺癌根治性手术史。术后随访7年的计算机断层扫描显示右侧心门角淋巴结肿大。通过电视胸外科手术切除,组织病理学显示非发育不良的导管增生。免疫组化检测AE1/3、D2-40、calretinin、WT-1阳性,CD31、CD34、factor VIII阴性。基于这些发现,最终诊断为轻度认知障碍。虽然转移的存在是此类病例中淋巴结肿大的第一个可能原因,但MCI也必须考虑在内。
本文章由计算机程序翻译,如有差异,请以英文原文为准。
求助全文
约1分钟内获得全文 求助全文
来源期刊
Respirology Case Reports
Respirology Case Reports RESPIRATORY SYSTEM-
CiteScore
1.40
自引率
0.00%
发文量
178
审稿时长
8 weeks
期刊介绍: Respirology Case Reports is an open-access online journal dedicated to the publication of original clinical case reports, case series, clinical images and clinical videos in all fields of respiratory medicine. The Journal encourages the international exchange between clinicians and researchers of experiences in diagnosing and treating uncommon diseases or diseases with unusual presentations. All manuscripts are peer-reviewed through a streamlined process that aims at providing a rapid turnaround time from submission to publication.
×
引用
GB/T 7714-2015
复制
MLA
复制
APA
复制
导出至
BibTeX EndNote RefMan NoteFirst NoteExpress
×
提示
您的信息不完整,为了账户安全,请先补充。
现在去补充
×
提示
您因"违规操作"
具体请查看互助需知
我知道了
×
提示
确定
请完成安全验证×
copy
已复制链接
快去分享给好友吧!
我知道了
右上角分享
点击右上角分享
0
联系我们:info@booksci.cn Book学术提供免费学术资源搜索服务,方便国内外学者检索中英文文献。致力于提供最便捷和优质的服务体验。 Copyright © 2023 布克学术 All rights reserved.
京ICP备2023020795号-1
ghs 京公网安备 11010802042870号
Book学术文献互助
Book学术文献互助群
群 号:604180095
Book学术官方微信