Techniques for Repairing Tegmen Defects When the Ossicles Protrude Above the Floor of the Middle Fossa.

IF 0.7 Q4 CLINICAL NEUROLOGY
Journal of Neurological Surgery Reports Pub Date : 2025-07-16 eCollection Date: 2025-07-01 DOI:10.1055/a-2646-6383
Jacob Kosarchuk, Maria Majid, Sydney Ho, Kathryn Noonan, Jonathon Sillman, Carl Heilman
{"title":"Techniques for Repairing Tegmen Defects When the Ossicles Protrude Above the Floor of the Middle Fossa.","authors":"Jacob Kosarchuk, Maria Majid, Sydney Ho, Kathryn Noonan, Jonathon Sillman, Carl Heilman","doi":"10.1055/a-2646-6383","DOIUrl":null,"url":null,"abstract":"<p><strong>Objective: </strong>Occasionally, repair of tegmen defects can be complicated by the ossicular chain protruding above the floor of the middle fossa, which traditionally requires disarticulation and reconstruction of the ossicles to manage. This manuscript describes modifications of previously described techniques to address this surgical problem.</p><p><strong>Design: </strong>Case series.</p><p><strong>Participants: </strong>In this case series we present three patients with tegmen defect and encephalocele where the ossicles protruded over the floor of the middle fossa. In one instance, a \"manhole cover\" was created by concentrically layering hydroxyapatite cement around the tegmen defect and placing a piece of calvarium harvested from the bone flap over the defect. In another case, a \"bony igloo\" was drilled into harvested bone flap and placed over the defect, effectively creating a neo-epitympanum.</p><p><strong>Main outcome measures: </strong>Hearing preservation, CSF leak recurrence.</p><p><strong>Results: </strong>No patients had recurrence of their encephalocele and/or CSF leak. No patients required manipulation of the ossicular chain intraoperatively. Hearing returned to normal in one case. Hearing worsened in one case, thought to be related to injury to the inner hair cells of the cochlear or cochlear nerve. Hearing did worsen in another case, thought to be related to pneumolabyrinth.</p><p><strong>Conclusions: </strong>The \"manhole cover\" and \"bony igloo\" techniques are pragmatic solutions to this rare but complex surgical problem.</p>","PeriodicalId":44256,"journal":{"name":"Journal of Neurological Surgery Reports","volume":"86 3","pages":"e158-e163"},"PeriodicalIF":0.7000,"publicationDate":"2025-07-16","publicationTypes":"Journal Article","fieldsOfStudy":null,"isOpenAccess":false,"openAccessPdf":"https://www.ncbi.nlm.nih.gov/pmc/articles/PMC12266951/pdf/","citationCount":"0","resultStr":null,"platform":"Semanticscholar","paperid":null,"PeriodicalName":"Journal of Neurological Surgery Reports","FirstCategoryId":"1085","ListUrlMain":"https://doi.org/10.1055/a-2646-6383","RegionNum":0,"RegionCategory":null,"ArticlePicture":[],"TitleCN":null,"AbstractTextCN":null,"PMCID":null,"EPubDate":"2025/7/1 0:00:00","PubModel":"eCollection","JCR":"Q4","JCRName":"CLINICAL NEUROLOGY","Score":null,"Total":0}
引用次数: 0

Abstract

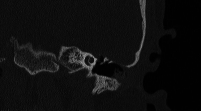
Objective: Occasionally, repair of tegmen defects can be complicated by the ossicular chain protruding above the floor of the middle fossa, which traditionally requires disarticulation and reconstruction of the ossicles to manage. This manuscript describes modifications of previously described techniques to address this surgical problem.

Design: Case series.

Participants: In this case series we present three patients with tegmen defect and encephalocele where the ossicles protruded over the floor of the middle fossa. In one instance, a "manhole cover" was created by concentrically layering hydroxyapatite cement around the tegmen defect and placing a piece of calvarium harvested from the bone flap over the defect. In another case, a "bony igloo" was drilled into harvested bone flap and placed over the defect, effectively creating a neo-epitympanum.

Main outcome measures: Hearing preservation, CSF leak recurrence.

Results: No patients had recurrence of their encephalocele and/or CSF leak. No patients required manipulation of the ossicular chain intraoperatively. Hearing returned to normal in one case. Hearing worsened in one case, thought to be related to injury to the inner hair cells of the cochlear or cochlear nerve. Hearing did worsen in another case, thought to be related to pneumolabyrinth.

Conclusions: The "manhole cover" and "bony igloo" techniques are pragmatic solutions to this rare but complex surgical problem.

Abstract Image

Abstract Image

Abstract Image

小骨突出于中窝底以上时被盖缺损的修复技术。
目的:偶尔,听骨链突出中窝底以上会使腱束缺损的修复变得复杂,传统上需要对听骨进行脱节和重建来处理。本文描述了先前描述的技术的修改,以解决这个手术问题。设计:案例系列。参与者:在本病例系列中,我们介绍了三例被盖缺损和脑膨出的患者,其中听骨突出在中窝的底部。在一个例子中,一个“井盖”是通过在被盖缺损周围同心分层羟基磷灰石水泥,并在缺损上放置一块从骨瓣上摘取的颅骨制成的。在另一个病例中,一个“骨冰屋”被钻入收获的骨瓣并放置在缺损上,有效地创造了一个新的上腔。主要观察指标:听力保存,脑脊液漏复发。结果:所有患者均无脑膨出及/或脑脊液漏复发。术中无患者需要操作听骨链。其中一例听力恢复正常。其中一例听力恶化,被认为与耳蜗内毛细胞或耳蜗神经受损有关。在另一个病例中,听力确实恶化了,被认为与气迷宫有关。结论:“井盖”和“骨冰屋”技术是解决这一罕见而复杂的手术问题的实用方法。
本文章由计算机程序翻译,如有差异,请以英文原文为准。
求助全文
约1分钟内获得全文 求助全文
来源期刊
自引率
0.00%
发文量
31
审稿时长
12 weeks
×
引用
GB/T 7714-2015
复制
MLA
复制
APA
复制
导出至
BibTeX EndNote RefMan NoteFirst NoteExpress
×
提示
您的信息不完整,为了账户安全,请先补充。
现在去补充
×
提示
您因"违规操作"
具体请查看互助需知
我知道了
×
提示
确定
请完成安全验证×
copy
已复制链接
快去分享给好友吧!
我知道了
右上角分享
点击右上角分享
0
联系我们:info@booksci.cn Book学术提供免费学术资源搜索服务,方便国内外学者检索中英文文献。致力于提供最便捷和优质的服务体验。 Copyright © 2023 布克学术 All rights reserved.
京ICP备2023020795号-1
ghs 京公网安备 11010802042870号
Book学术文献互助
Book学术文献互助群
群 号:604180095
Book学术官方微信