Endometrial Stromal Sarcoma-Associated Hypereosinophilia: A Case Report.

IF 0.6 Q4 ONCOLOGY
Case Reports in Oncological Medicine Pub Date : 2025-07-09 eCollection Date: 2025-01-01 DOI:10.1155/crom/5586309
Smriti Nair, Sanjna Shelukar, Sydney Kornbleuth, Grant Gillan, Emily Hansinger, Ruben Rhoades, Lakshmi Ravindran, Timothy Kuchera
{"title":"Endometrial Stromal Sarcoma-Associated Hypereosinophilia: A Case Report.","authors":"Smriti Nair, Sanjna Shelukar, Sydney Kornbleuth, Grant Gillan, Emily Hansinger, Ruben Rhoades, Lakshmi Ravindran, Timothy Kuchera","doi":"10.1155/crom/5586309","DOIUrl":null,"url":null,"abstract":"<p><p>Eosinophilia is a common systemic reaction to allergy, parasitic infection, or drug hypersensitivity. Rarely, it manifests as a paraneoplastic phenomenon, most commonly secondary to hematologic malignancies or extensive metastatic disease in solid tumors. There is scarce literature attributing peripheral eosinophilia to solid organ malignancies, especially gynecologic malignancies. We present the first reported case of peripheral eosinophilia secondary to high-grade endometrial stromal sarcoma (HGESS). A postmenopausal woman presented with weakness, urinary incontinence, and marked peripheral eosinophilia. An unremarkable infectious workup prompted further imaging, which revealed a uterine mass. She underwent total hysterectomy with bilateral salpingo-oophorectomy, after which her eosinophilia resolved. Histopathology confirmed HGESS. One month later, the patient re-presented with recurrent eosinophilia and was found to have new metastatic lesions on CT abdomen/pelvis. She elected to pursue hospice care. This case highlights a rare and atypical presentation of an aggressive uterine malignancy underscoring peripheral eosinophilia as a potential marker of underlying malignancy.</p>","PeriodicalId":9636,"journal":{"name":"Case Reports in Oncological Medicine","volume":"2025 ","pages":"5586309"},"PeriodicalIF":0.6000,"publicationDate":"2025-07-09","publicationTypes":"Journal Article","fieldsOfStudy":null,"isOpenAccess":false,"openAccessPdf":"https://www.ncbi.nlm.nih.gov/pmc/articles/PMC12267964/pdf/","citationCount":"0","resultStr":null,"platform":"Semanticscholar","paperid":null,"PeriodicalName":"Case Reports in Oncological Medicine","FirstCategoryId":"1085","ListUrlMain":"https://doi.org/10.1155/crom/5586309","RegionNum":0,"RegionCategory":null,"ArticlePicture":[],"TitleCN":null,"AbstractTextCN":null,"PMCID":null,"EPubDate":"2025/1/1 0:00:00","PubModel":"eCollection","JCR":"Q4","JCRName":"ONCOLOGY","Score":null,"Total":0}
引用次数: 0

Abstract

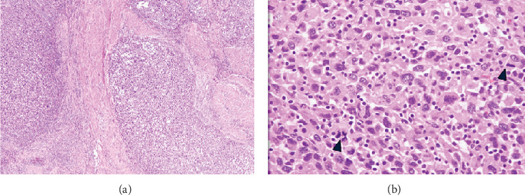
Eosinophilia is a common systemic reaction to allergy, parasitic infection, or drug hypersensitivity. Rarely, it manifests as a paraneoplastic phenomenon, most commonly secondary to hematologic malignancies or extensive metastatic disease in solid tumors. There is scarce literature attributing peripheral eosinophilia to solid organ malignancies, especially gynecologic malignancies. We present the first reported case of peripheral eosinophilia secondary to high-grade endometrial stromal sarcoma (HGESS). A postmenopausal woman presented with weakness, urinary incontinence, and marked peripheral eosinophilia. An unremarkable infectious workup prompted further imaging, which revealed a uterine mass. She underwent total hysterectomy with bilateral salpingo-oophorectomy, after which her eosinophilia resolved. Histopathology confirmed HGESS. One month later, the patient re-presented with recurrent eosinophilia and was found to have new metastatic lesions on CT abdomen/pelvis. She elected to pursue hospice care. This case highlights a rare and atypical presentation of an aggressive uterine malignancy underscoring peripheral eosinophilia as a potential marker of underlying malignancy.

Abstract Image

Abstract Image

子宫内膜间质肉瘤相关嗜酸性细胞增多症1例报告。
嗜酸性粒细胞增多症是对过敏、寄生虫感染或药物过敏的一种常见的全身反应。它很少表现为副肿瘤现象,最常见的是继发于血液恶性肿瘤或实体肿瘤的广泛转移性疾病。很少有文献将外周嗜酸性粒细胞增多归因于实体器官恶性肿瘤,特别是妇科恶性肿瘤。我们报告了第一例继发于高级别子宫内膜间质肉瘤(HGESS)的外周血嗜酸性粒细胞增多症。绝经后妇女表现为虚弱、尿失禁和明显的外周嗜酸性粒细胞增多。一次普通的感染检查促使进一步成像,发现子宫肿块。她接受了全子宫切除术和双侧输卵管卵巢切除术,之后她的嗜酸性粒细胞消失。组织病理学证实为HGESS。一个月后,患者再次出现嗜酸性粒细胞增多症,并在CT上发现腹部/骨盆有新的转移灶。她选择接受临终关怀。这个病例强调了一个罕见和非典型的侵袭性子宫恶性肿瘤的表现,强调了外周嗜酸性粒细胞增多是潜在恶性肿瘤的潜在标志。
本文章由计算机程序翻译,如有差异,请以英文原文为准。
求助全文
约1分钟内获得全文 求助全文
来源期刊
自引率
0.00%
发文量
11
审稿时长
16 weeks
期刊介绍: Case Reports in Oncological Medicine is a peer-reviewed, Open Access journal that publishes case reports and case series related to breast cancer, lung cancer, gastrointestinal cancer, skin cancer, head and neck cancer, paediatric oncology, neurooncology as well as genitourinary cancer.
×
引用
GB/T 7714-2015
复制
MLA
复制
APA
复制
导出至
BibTeX EndNote RefMan NoteFirst NoteExpress
×
提示
您的信息不完整,为了账户安全,请先补充。
现在去补充
×
提示
您因"违规操作"
具体请查看互助需知
我知道了
×
提示
确定
请完成安全验证×
copy
已复制链接
快去分享给好友吧!
我知道了
右上角分享
点击右上角分享
0
联系我们:info@booksci.cn Book学术提供免费学术资源搜索服务,方便国内外学者检索中英文文献。致力于提供最便捷和优质的服务体验。 Copyright © 2023 布克学术 All rights reserved.
京ICP备2023020795号-1
ghs 京公网安备 11010802042870号
Book学术文献互助
Book学术文献互助群
群 号:604180095
Book学术官方微信