Unusual Presentation of Mycobacteroides abscessus Thigh Mass: A Case Report.

IF 0.8 Q4 INFECTIOUS DISEASES
Case Reports in Infectious Diseases Pub Date : 2025-07-09 eCollection Date: 2025-01-01 DOI:10.1155/crdi/6970929
Ryan J Blake, Grant R McChesney, H James Williams, Steven M Holland, Allison M Lastinger
{"title":"Unusual Presentation of <i>Mycobacteroides abscessus</i> Thigh Mass: A Case Report.","authors":"Ryan J Blake, Grant R McChesney, H James Williams, Steven M Holland, Allison M Lastinger","doi":"10.1155/crdi/6970929","DOIUrl":null,"url":null,"abstract":"<p><p><i>Mycobacterium abscessus</i> is a rapidly growing non-<i>tuberculous Mycobacterium</i> (NTM) primarily associated with pulmonary infections, particularly in individuals with underlying lung conditions. While soft tissue infections are less common, their incidence has been increasing. These infections are challenging to treat due to inherent resistance to many antibiotics obtained through spontaneous mutation as well as physical characteristics of the microbes. The case presented here describes a 61-year-old female without obvious risk factors for mycobacterial infection who developed an intramuscular abscess over a 2-year period following a mechanical fall. Surgical resection with a complex antibiotic regimen was required based on macrolide resistance and a lack of established treatment plans for such a rare presentation. This case highlights the increasing incidence of NTM and the variable clinical presentation. Early identification with a combination of surgery and antibiotics is usually indicated to successfully manage these infections. Even without obvious risk factors, NTM infection should be considered in the presence of soft tissue and intramuscular abscesses.</p>","PeriodicalId":9608,"journal":{"name":"Case Reports in Infectious Diseases","volume":"2025 ","pages":"6970929"},"PeriodicalIF":0.8000,"publicationDate":"2025-07-09","publicationTypes":"Journal Article","fieldsOfStudy":null,"isOpenAccess":false,"openAccessPdf":"https://www.ncbi.nlm.nih.gov/pmc/articles/PMC12267892/pdf/","citationCount":"0","resultStr":null,"platform":"Semanticscholar","paperid":null,"PeriodicalName":"Case Reports in Infectious Diseases","FirstCategoryId":"1085","ListUrlMain":"https://doi.org/10.1155/crdi/6970929","RegionNum":0,"RegionCategory":null,"ArticlePicture":[],"TitleCN":null,"AbstractTextCN":null,"PMCID":null,"EPubDate":"2025/1/1 0:00:00","PubModel":"eCollection","JCR":"Q4","JCRName":"INFECTIOUS DISEASES","Score":null,"Total":0}
引用次数: 0

Abstract

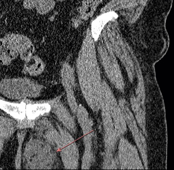
Mycobacterium abscessus is a rapidly growing non-tuberculous Mycobacterium (NTM) primarily associated with pulmonary infections, particularly in individuals with underlying lung conditions. While soft tissue infections are less common, their incidence has been increasing. These infections are challenging to treat due to inherent resistance to many antibiotics obtained through spontaneous mutation as well as physical characteristics of the microbes. The case presented here describes a 61-year-old female without obvious risk factors for mycobacterial infection who developed an intramuscular abscess over a 2-year period following a mechanical fall. Surgical resection with a complex antibiotic regimen was required based on macrolide resistance and a lack of established treatment plans for such a rare presentation. This case highlights the increasing incidence of NTM and the variable clinical presentation. Early identification with a combination of surgery and antibiotics is usually indicated to successfully manage these infections. Even without obvious risk factors, NTM infection should be considered in the presence of soft tissue and intramuscular abscesses.

Abstract Image

Abstract Image

Abstract Image

异常表现的脓肿分枝杆菌大腿肿块1例。
脓肿分枝杆菌是一种快速生长的非结核分枝杆菌(NTM),主要与肺部感染有关,特别是在有潜在肺部疾病的个体中。虽然软组织感染不太常见,但其发病率一直在增加。由于对许多抗生素的固有耐药性以及微生物的物理特性,这些感染的治疗具有挑战性。本病例描述了一名61岁女性,无明显的分枝杆菌感染危险因素,在机械跌倒后2年内出现肌肉内脓肿。手术切除和复杂的抗生素方案是必要的,基于大环内酯耐药和缺乏成熟的治疗方案,这种罕见的表现。这个病例突出了NTM发病率的增加和临床表现的变化。通过手术和抗生素的联合早期识别通常可以成功地控制这些感染。即使没有明显的危险因素,当存在软组织和肌肉内脓肿时,也应考虑NTM感染。
本文章由计算机程序翻译,如有差异,请以英文原文为准。
求助全文
约1分钟内获得全文 求助全文
来源期刊
自引率
0.00%
发文量
64
审稿时长
13 weeks
×
引用
GB/T 7714-2015
复制
MLA
复制
APA
复制
导出至
BibTeX EndNote RefMan NoteFirst NoteExpress
×
提示
您的信息不完整,为了账户安全,请先补充。
现在去补充
×
提示
您因"违规操作"
具体请查看互助需知
我知道了
×
提示
确定
请完成安全验证×
copy
已复制链接
快去分享给好友吧!
我知道了
右上角分享
点击右上角分享
0
联系我们:info@booksci.cn Book学术提供免费学术资源搜索服务,方便国内外学者检索中英文文献。致力于提供最便捷和优质的服务体验。 Copyright © 2023 布克学术 All rights reserved.
京ICP备2023020795号-1
ghs 京公网安备 11010802042870号
Book学术文献互助
Book学术文献互助群
群 号:604180095
Book学术官方微信