A Case of Hemorrhagic Shock for a Ruptured Splenic Aneurysm Treated With REBOA-Assisted Surgery.

IF 0.5 Q4 SURGERY
Case Reports in Surgery Pub Date : 2025-07-09 eCollection Date: 2025-01-01 DOI:10.1155/cris/7264596
Chiara D'Alterio, Cristina Carruezzo, Armando Raso, Arezia Di Martino, Roberto Santoro, Domenico Giannotti
{"title":"A Case of Hemorrhagic Shock for a Ruptured Splenic Aneurysm Treated With REBOA-Assisted Surgery.","authors":"Chiara D'Alterio, Cristina Carruezzo, Armando Raso, Arezia Di Martino, Roberto Santoro, Domenico Giannotti","doi":"10.1155/cris/7264596","DOIUrl":null,"url":null,"abstract":"<p><p><b>Background:</b> Resuscitative endovascular balloon occlusion of the aorta (REBOA) is a technique aimed at temporarily interrupting or limiting blood flow through the aorta, which may be used as a bridge until definitive bleeding control by endovascular procedures or surgery. Despite the main current indication for its use is traumatic massive noncompressible torso hemorrhage, its application in end-stage nontraumatic abdominal and pelvic hemorrhage is progressively increasing. <b>Case Presentation:</b> A 42 year-old male patient was brought to our hospital Emergency Department with acute onset of abdominal pain, hypotension, paleness, and diaphoresis. A computed tomography (CT) was performed evidencing a voluminous retroperitoneal hematoma caused by the rupture of an unknown splenic aneurysm. Emergency open splenectomy with resection of the splenic aneurysm and evacuation of the retroperitoneal hematoma was performed, with the assistance of the REBOA technique. The endovascular balloon was positioned in the aorta, proximally to the celiac axis (Zone 1), through a percutaneous femoral access by the interventional radiologist. Intermittent aortic occlusion enabled proximal bleeding control, adequate myocardial and cerebral perfusion, and allowed surgeons to safely and successfully perform splenectomy by resecting the splenic artery at the origin. <b>Conclusion:</b> REBOA provides a rapid and minimally invasive hemodynamic control in severe hemorrhagic settings and its application in the initial management of nontraumatic abdominal hemorrhage should be strongly advised. Further studies with large sample size focusing on nontrauma patients are needed.</p>","PeriodicalId":9600,"journal":{"name":"Case Reports in Surgery","volume":"2025 ","pages":"7264596"},"PeriodicalIF":0.5000,"publicationDate":"2025-07-09","publicationTypes":"Journal Article","fieldsOfStudy":null,"isOpenAccess":false,"openAccessPdf":"https://www.ncbi.nlm.nih.gov/pmc/articles/PMC12267891/pdf/","citationCount":"0","resultStr":null,"platform":"Semanticscholar","paperid":null,"PeriodicalName":"Case Reports in Surgery","FirstCategoryId":"1085","ListUrlMain":"https://doi.org/10.1155/cris/7264596","RegionNum":0,"RegionCategory":null,"ArticlePicture":[],"TitleCN":null,"AbstractTextCN":null,"PMCID":null,"EPubDate":"2025/1/1 0:00:00","PubModel":"eCollection","JCR":"Q4","JCRName":"SURGERY","Score":null,"Total":0}
引用次数: 0

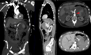
Abstract

Background: Resuscitative endovascular balloon occlusion of the aorta (REBOA) is a technique aimed at temporarily interrupting or limiting blood flow through the aorta, which may be used as a bridge until definitive bleeding control by endovascular procedures or surgery. Despite the main current indication for its use is traumatic massive noncompressible torso hemorrhage, its application in end-stage nontraumatic abdominal and pelvic hemorrhage is progressively increasing. Case Presentation: A 42 year-old male patient was brought to our hospital Emergency Department with acute onset of abdominal pain, hypotension, paleness, and diaphoresis. A computed tomography (CT) was performed evidencing a voluminous retroperitoneal hematoma caused by the rupture of an unknown splenic aneurysm. Emergency open splenectomy with resection of the splenic aneurysm and evacuation of the retroperitoneal hematoma was performed, with the assistance of the REBOA technique. The endovascular balloon was positioned in the aorta, proximally to the celiac axis (Zone 1), through a percutaneous femoral access by the interventional radiologist. Intermittent aortic occlusion enabled proximal bleeding control, adequate myocardial and cerebral perfusion, and allowed surgeons to safely and successfully perform splenectomy by resecting the splenic artery at the origin. Conclusion: REBOA provides a rapid and minimally invasive hemodynamic control in severe hemorrhagic settings and its application in the initial management of nontraumatic abdominal hemorrhage should be strongly advised. Further studies with large sample size focusing on nontrauma patients are needed.

Abstract Image

Abstract Image

Abstract Image

reboa辅助手术治疗脾动脉瘤破裂失血性休克1例。
背景:复苏血管内球囊阻断主动脉(REBOA)是一种旨在暂时阻断或限制主动脉血流的技术,它可以作为一个桥梁,直到通过血管内手术或手术最终控制出血。尽管目前它的主要适应症是外伤性躯干大出血,但它在终末期非外伤性腹腔和盆腔出血中的应用正在逐渐增加。病例介绍:一名42岁男性患者因急性腹痛、低血压、苍白和出汗被送到我院急诊科。计算机断层扫描(CT)证明大量腹膜后血肿引起的一个未知的脾动脉瘤破裂。在REBOA技术的帮助下,我们进行了紧急脾切除术,切除脾动脉瘤并清除腹膜后血肿。介入放射科医师通过经皮股骨通道将血管内球囊定位于主动脉,靠近腹腔轴(1区)。间歇性主动脉闭塞使近端出血得到控制,心肌和脑灌注充足,并允许外科医生通过在起源处切除脾动脉安全成功地进行脾切除术。结论:REBOA为重症出血提供了一种快速、微创的血流动力学控制方法,在非外伤性腹部出血的初始治疗中应大力推荐。需要进一步对非创伤患者进行大样本量的研究。
本文章由计算机程序翻译,如有差异,请以英文原文为准。
求助全文
约1分钟内获得全文 求助全文
来源期刊
自引率
0.00%
发文量
60
审稿时长
13 weeks
×
引用
GB/T 7714-2015
复制
MLA
复制
APA
复制
导出至
BibTeX EndNote RefMan NoteFirst NoteExpress
×
提示
您的信息不完整,为了账户安全,请先补充。
现在去补充
×
提示
您因"违规操作"
具体请查看互助需知
我知道了
×
提示
确定
请完成安全验证×
copy
已复制链接
快去分享给好友吧!
我知道了
右上角分享
点击右上角分享
0
联系我们:info@booksci.cn Book学术提供免费学术资源搜索服务,方便国内外学者检索中英文文献。致力于提供最便捷和优质的服务体验。 Copyright © 2023 布克学术 All rights reserved.
京ICP备2023020795号-1
ghs 京公网安备 11010802042870号
Book学术文献互助
Book学术文献互助群
群 号:604180095
Book学术官方微信