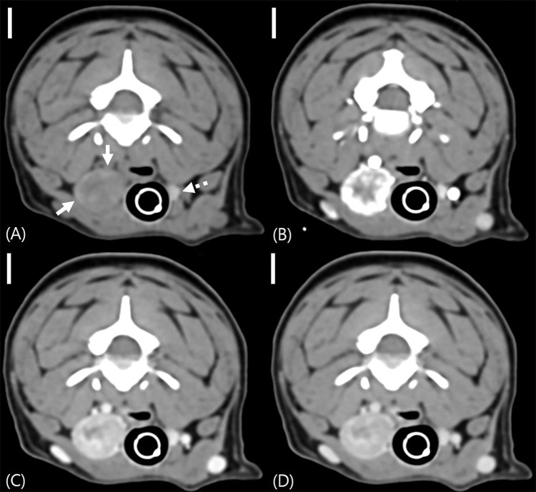
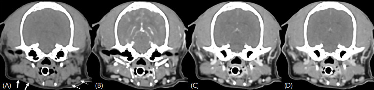
Pre-contrast hyperattenuating metastatic lymph node on computed tomography due to iodide accumulation in a dog with thyroid carcinoma.

IF 1.1 4区 农林科学 Q3 VETERINARY SCIENCES
Journal of Veterinary Medical Science Pub Date : 2025-09-05 Epub Date: 2025-07-17 DOI:10.1292/jvms.25-0198
Sang-Kwon Lee, Su-Min Baek, Jin-Kyu Park, Jinsu Kang, Min Jang, Kija Lee
{"title":"Pre-contrast hyperattenuating metastatic lymph node on computed tomography due to iodide accumulation in a dog with thyroid carcinoma.","authors":"Sang-Kwon Lee, Su-Min Baek, Jin-Kyu Park, Jinsu Kang, Min Jang, Kija Lee","doi":"10.1292/jvms.25-0198","DOIUrl":null,"url":null,"abstract":"<p><p>An 11-year-old Bichon Frise presented with a right cervical mass. Computed tomography revealed a thyroid mass without significant lymphadenopathy; however, the caudal portion of the ipsilateral retropharyngeal lymph node exhibited marked hyperattenuation on pre-contrast images. Histopathology of this lymph node confirmed the presence of metastasis from thyroid adenocarcinoma. The caudal portion of the lymph node displayed dense tumor cells with abundant sodium/iodide symporter-positive cells. The observed hyperattenuation of the lymph node was presumed to result from iodide deposition associated with the metastasis of the thyroid tumor. This case suggests that even in the absence of lymph node enlargement, hyperattenuating lymph nodes should raise suspicion for metastasis in dogs with thyroid tumors. However, as this is a single case, further studies are needed to determine the broader applicability of this finding.</p>","PeriodicalId":49959,"journal":{"name":"Journal of Veterinary Medical Science","volume":" ","pages":"1100-1106"},"PeriodicalIF":1.1000,"publicationDate":"2025-09-05","publicationTypes":"Journal Article","fieldsOfStudy":null,"isOpenAccess":false,"openAccessPdf":"https://www.ncbi.nlm.nih.gov/pmc/articles/PMC12417726/pdf/","citationCount":"0","resultStr":null,"platform":"Semanticscholar","paperid":null,"PeriodicalName":"Journal of Veterinary Medical Science","FirstCategoryId":"97","ListUrlMain":"https://doi.org/10.1292/jvms.25-0198","RegionNum":4,"RegionCategory":"农林科学","ArticlePicture":[],"TitleCN":null,"AbstractTextCN":null,"PMCID":null,"EPubDate":"2025/7/17 0:00:00","PubModel":"Epub","JCR":"Q3","JCRName":"VETERINARY SCIENCES","Score":null,"Total":0}
引用次数: 0

Abstract

An 11-year-old Bichon Frise presented with a right cervical mass. Computed tomography revealed a thyroid mass without significant lymphadenopathy; however, the caudal portion of the ipsilateral retropharyngeal lymph node exhibited marked hyperattenuation on pre-contrast images. Histopathology of this lymph node confirmed the presence of metastasis from thyroid adenocarcinoma. The caudal portion of the lymph node displayed dense tumor cells with abundant sodium/iodide symporter-positive cells. The observed hyperattenuation of the lymph node was presumed to result from iodide deposition associated with the metastasis of the thyroid tumor. This case suggests that even in the absence of lymph node enlargement, hyperattenuating lymph nodes should raise suspicion for metastasis in dogs with thyroid tumors. However, as this is a single case, further studies are needed to determine the broader applicability of this finding.

Abstract Image

Abstract Image

Abstract Image

甲状腺癌犬碘积累引起的造影剂前高衰减的转移性淋巴结。
一只11岁的比雄犬表现为右侧宫颈肿块。计算机断层扫描显示甲状腺肿块,无明显淋巴结病变;然而,同侧咽后淋巴结的尾端部在对比前图像上表现出明显的高衰减。该淋巴结的组织病理学证实了甲状腺腺癌转移的存在。淋巴结尾侧显示密集的肿瘤细胞和丰富的钠/碘同向转运阳性细胞。观察到的淋巴结高衰减被认为是由甲状腺肿瘤转移相关的碘化物沉积引起的。本病例提示,即使在没有淋巴结肿大的情况下,高衰减的淋巴结也应引起甲状腺肿瘤犬转移的怀疑。然而,由于这是一个单一的案例,需要进一步的研究来确定这一发现的更广泛的适用性。
本文章由计算机程序翻译,如有差异,请以英文原文为准。
求助全文
约1分钟内获得全文 求助全文
来源期刊
Journal of Veterinary Medical Science
Journal of Veterinary Medical Science 农林科学-兽医学
CiteScore
2.30
自引率
8.30%
发文量
230
审稿时长
9-18 weeks
期刊介绍: JVMS is a peer-reviewed journal and publishes a variety of papers on veterinary science from basic research to applied science and clinical research. JVMS is published monthly and consists of twelve issues per year. Papers are from the areas of anatomy, physiology, pharmacology, toxicology, pathology, immunology, microbiology, virology, parasitology, internal medicine, surgery, clinical pathology, theriogenology, avian disease, public health, ethology, and laboratory animal science. Although JVMS has played a role in publishing the scientific achievements of Japanese researchers and clinicians for many years, it now also accepts papers submitted from all over the world.
×
引用
GB/T 7714-2015
复制
MLA
复制
APA
复制
导出至
BibTeX EndNote RefMan NoteFirst NoteExpress
×
提示
您的信息不完整,为了账户安全,请先补充。
现在去补充
×
提示
您因"违规操作"
具体请查看互助需知
我知道了
×
提示
确定
请完成安全验证×
copy
已复制链接
快去分享给好友吧!
我知道了
右上角分享
点击右上角分享
0
联系我们:info@booksci.cn Book学术提供免费学术资源搜索服务,方便国内外学者检索中英文文献。致力于提供最便捷和优质的服务体验。 Copyright © 2023 布克学术 All rights reserved.
京ICP备2023020795号-1
ghs 京公网安备 11010802042870号
Book学术文献互助
Book学术文献互助群
群 号:604180095
Book学术官方微信