Association of Pulmonary Septic Embolism and Pulmonary Arterial Thromboembolism in Lemierre Syndrome: A Case Report and Literature Review.

IF 0.8 Q4 RESPIRATORY SYSTEM
Respirology Case Reports Pub Date : 2025-07-15 eCollection Date: 2025-07-01 DOI:10.1002/rcr2.70266
Antonio Fabozzi, Alessandro Siena, Alessia Steffanina, Silvia Iannuzzi, Matteo Bonini, Paolo Palange
{"title":"Association of Pulmonary Septic Embolism and Pulmonary Arterial Thromboembolism in Lemierre Syndrome: A Case Report and Literature Review.","authors":"Antonio Fabozzi, Alessandro Siena, Alessia Steffanina, Silvia Iannuzzi, Matteo Bonini, Paolo Palange","doi":"10.1002/rcr2.70266","DOIUrl":null,"url":null,"abstract":"<p><p>Lemierre syndrome (LS) is a rapidly progressing disease characterised by a recent oropharyngeal infection, complicated by septic emboli and thrombophlebitis of the internal jugular vein (IJV). We describe a case of a 65-year-old woman who presented to the emergency room with a 14-day history of progressive occipital headache, fever and odynophagia. Radiological investigations showed bilateral IJV thrombophlebitis, multiple cavitated pulmonary nodules suggestive of septic emboli and a subsegmental pulmonary arterial thromboembolism. A diagnosis of LS was made. The patient received antibiotic treatment with intravenous ceftriaxone and clindamycin for 2 weeks, followed by 4 weeks of oral clindamycin at home and anticoagulation with enoxaparin followed by warfarin. One-month follow-up imaging revealed complete resolution of IJV thrombosis and pulmonary findings. This case displayed the rarely reported association of pulmonary arterial thromboembolism and pulmonary septic emboli.</p>","PeriodicalId":45846,"journal":{"name":"Respirology Case Reports","volume":"13 7","pages":"e70266"},"PeriodicalIF":0.8000,"publicationDate":"2025-07-15","publicationTypes":"Journal Article","fieldsOfStudy":null,"isOpenAccess":false,"openAccessPdf":"https://www.ncbi.nlm.nih.gov/pmc/articles/PMC12263511/pdf/","citationCount":"0","resultStr":null,"platform":"Semanticscholar","paperid":null,"PeriodicalName":"Respirology Case Reports","FirstCategoryId":"1085","ListUrlMain":"https://doi.org/10.1002/rcr2.70266","RegionNum":0,"RegionCategory":null,"ArticlePicture":[],"TitleCN":null,"AbstractTextCN":null,"PMCID":null,"EPubDate":"2025/7/1 0:00:00","PubModel":"eCollection","JCR":"Q4","JCRName":"RESPIRATORY SYSTEM","Score":null,"Total":0}
引用次数: 0

Abstract

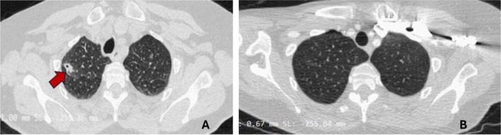
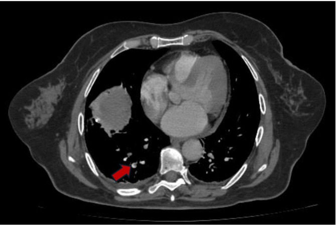
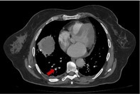
Lemierre syndrome (LS) is a rapidly progressing disease characterised by a recent oropharyngeal infection, complicated by septic emboli and thrombophlebitis of the internal jugular vein (IJV). We describe a case of a 65-year-old woman who presented to the emergency room with a 14-day history of progressive occipital headache, fever and odynophagia. Radiological investigations showed bilateral IJV thrombophlebitis, multiple cavitated pulmonary nodules suggestive of septic emboli and a subsegmental pulmonary arterial thromboembolism. A diagnosis of LS was made. The patient received antibiotic treatment with intravenous ceftriaxone and clindamycin for 2 weeks, followed by 4 weeks of oral clindamycin at home and anticoagulation with enoxaparin followed by warfarin. One-month follow-up imaging revealed complete resolution of IJV thrombosis and pulmonary findings. This case displayed the rarely reported association of pulmonary arterial thromboembolism and pulmonary septic emboli.

Abstract Image

Abstract Image

Abstract Image

肺脓毒性栓塞和肺动脉血栓栓塞在Lemierre综合征中的相关性:1例报告和文献复习。
Lemierre综合征(LS)是一种进展迅速的疾病,其特征是近期发生口咽感染,并发脓毒性栓塞和颈内静脉血栓性炎(IJV)。我们描述了一个65岁的妇女谁提出了14天的历史进行性枕部头痛,发烧和痛食急诊室。放射检查显示双侧IJV血栓性静脉炎,提示脓毒性栓塞的多个空化肺结节和亚节段性肺动脉血栓栓塞。诊断为LS。患者接受头孢曲松和克林霉素静脉注射抗生素治疗2周,随后在家口服克林霉素4周,依诺肝素抗凝治疗后再使用华法林。一个月的随访影像显示IJV血栓和肺部症状完全消失。这个病例显示了肺动脉血栓栓塞和肺脓毒性栓塞的罕见关联。
本文章由计算机程序翻译,如有差异,请以英文原文为准。
求助全文
约1分钟内获得全文 求助全文
来源期刊
Respirology Case Reports
Respirology Case Reports RESPIRATORY SYSTEM-
CiteScore
1.40
自引率
0.00%
发文量
178
审稿时长
8 weeks
期刊介绍: Respirology Case Reports is an open-access online journal dedicated to the publication of original clinical case reports, case series, clinical images and clinical videos in all fields of respiratory medicine. The Journal encourages the international exchange between clinicians and researchers of experiences in diagnosing and treating uncommon diseases or diseases with unusual presentations. All manuscripts are peer-reviewed through a streamlined process that aims at providing a rapid turnaround time from submission to publication.
×
引用
GB/T 7714-2015
复制
MLA
复制
APA
复制
导出至
BibTeX EndNote RefMan NoteFirst NoteExpress
×
提示
您的信息不完整,为了账户安全,请先补充。
现在去补充
×
提示
您因"违规操作"
具体请查看互助需知
我知道了
×
提示
确定
请完成安全验证×
copy
已复制链接
快去分享给好友吧!
我知道了
右上角分享
点击右上角分享
0
联系我们:info@booksci.cn Book学术提供免费学术资源搜索服务,方便国内外学者检索中英文文献。致力于提供最便捷和优质的服务体验。 Copyright © 2023 布克学术 All rights reserved.
京ICP备2023020795号-1
ghs 京公网安备 11010802042870号
Book学术文献互助
Book学术文献互助群
群 号:604180095
Book学术官方微信