Successful Hemostasis With Platelet Transfusion and Tranexamic Acid, and Inhibitor Elimination With Cyclosporine, in Steroid-Resistant Acquired Coagulation Factor V Deficiency Caused by Antibiotic Readministration.

IF 0.7 Q4 HEMATOLOGY
Case Reports in Hematology Pub Date : 2025-07-08 eCollection Date: 2025-01-01 DOI:10.1155/crh/1402790
Kazuto Togitani, Moe Yamamoto, Soichiro Tanaka, Rei Aono, Yoshiki Uemura
{"title":"Successful Hemostasis With Platelet Transfusion and Tranexamic Acid, and Inhibitor Elimination With Cyclosporine, in Steroid-Resistant Acquired Coagulation Factor V Deficiency Caused by Antibiotic Readministration.","authors":"Kazuto Togitani, Moe Yamamoto, Soichiro Tanaka, Rei Aono, Yoshiki Uemura","doi":"10.1155/crh/1402790","DOIUrl":null,"url":null,"abstract":"<p><p>Acquired factor V deficiency (AFVD) is a rare coagulation abnormality associated with infectious diseases, antibiotics, surgery, autoimmune diseases, and malignancy, which causality is difficult to prove. Here, we report a case of a 90-year-old woman who developed melena following antibiotic treatment for pneumonia. She had been on cefepime for bacterial pneumonia for 2 months to 2 weeks prior to her arrival in the emergency room. Upon presentation, she had severe anemia (Hb: 6.7 g/dL) and prolonged PT (74.3 s) and activated partial thromboplastin time (APTT) (161.9 s). Coagulation studies revealed incomplete correction of the APTT in a 1:1 mixing study with normal pooled plasma, factor V activity of 0%, and a factor V inhibitor titer of 13 Bethesda units, confirming the diagnosis of AFVD. Since the antibiotics were not recognized as the cause, the coagulation abnormality worsened after their readministration. The melena subsequently improved with platelet transfusion and administration of tranexamic acid, while prednisolone-resistant coagulation abnormalities improved with cyclosporine A (CsA) treatment. This case shows the importance of avoiding suspected drugs and the effectiveness of CsA as a second-line treatment of AFVD.</p>","PeriodicalId":46307,"journal":{"name":"Case Reports in Hematology","volume":"2025 ","pages":"1402790"},"PeriodicalIF":0.7000,"publicationDate":"2025-07-08","publicationTypes":"Journal Article","fieldsOfStudy":null,"isOpenAccess":false,"openAccessPdf":"https://www.ncbi.nlm.nih.gov/pmc/articles/PMC12263256/pdf/","citationCount":"0","resultStr":null,"platform":"Semanticscholar","paperid":null,"PeriodicalName":"Case Reports in Hematology","FirstCategoryId":"1085","ListUrlMain":"https://doi.org/10.1155/crh/1402790","RegionNum":0,"RegionCategory":null,"ArticlePicture":[],"TitleCN":null,"AbstractTextCN":null,"PMCID":null,"EPubDate":"2025/1/1 0:00:00","PubModel":"eCollection","JCR":"Q4","JCRName":"HEMATOLOGY","Score":null,"Total":0}
引用次数: 0

Abstract

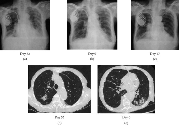
Acquired factor V deficiency (AFVD) is a rare coagulation abnormality associated with infectious diseases, antibiotics, surgery, autoimmune diseases, and malignancy, which causality is difficult to prove. Here, we report a case of a 90-year-old woman who developed melena following antibiotic treatment for pneumonia. She had been on cefepime for bacterial pneumonia for 2 months to 2 weeks prior to her arrival in the emergency room. Upon presentation, she had severe anemia (Hb: 6.7 g/dL) and prolonged PT (74.3 s) and activated partial thromboplastin time (APTT) (161.9 s). Coagulation studies revealed incomplete correction of the APTT in a 1:1 mixing study with normal pooled plasma, factor V activity of 0%, and a factor V inhibitor titer of 13 Bethesda units, confirming the diagnosis of AFVD. Since the antibiotics were not recognized as the cause, the coagulation abnormality worsened after their readministration. The melena subsequently improved with platelet transfusion and administration of tranexamic acid, while prednisolone-resistant coagulation abnormalities improved with cyclosporine A (CsA) treatment. This case shows the importance of avoiding suspected drugs and the effectiveness of CsA as a second-line treatment of AFVD.

Abstract Image

Abstract Image

再给药引起的类固醇耐药获得性凝血因子V缺乏的血小板输注和氨甲环酸成功止血,以及环孢素消除抑制剂。
获得性因子V缺乏症(AFVD)是一种罕见的凝血异常,与感染性疾病、抗生素、外科手术、自身免疫性疾病和恶性肿瘤有关,其因果关系难以证实。在这里,我们报告一例90岁的妇女谁发展黑黑在抗生素治疗肺炎。在她到达急诊室之前,她已经服用头孢吡肟治疗细菌性肺炎2个月至2周。就诊时,患者有严重贫血(血红蛋白:6.7 g/dL), PT延长(74.3 s),部分凝血活素时间(APTT)活化(161.9 s)。凝血研究显示,与正常血浆1:1混合,因子V活性为0%,因子V抑制剂滴度为13 Bethesda单位,APTT校正不完全,证实AFVD的诊断。由于抗生素未被确认为病因,再给药后凝血异常加重。黑黑症随后通过血小板输注和氨甲环酸得到改善,而泼尼松龙耐药凝血异常通过环孢素A (CsA)治疗得到改善。该病例显示了避免可疑药物的重要性和CsA作为AFVD二线治疗的有效性。
本文章由计算机程序翻译,如有差异,请以英文原文为准。
求助全文
约1分钟内获得全文 求助全文
来源期刊
自引率
0.00%
发文量
51
审稿时长
13 weeks
×
引用
GB/T 7714-2015
复制
MLA
复制
APA
复制
导出至
BibTeX EndNote RefMan NoteFirst NoteExpress
×
提示
您的信息不完整,为了账户安全,请先补充。
现在去补充
×
提示
您因"违规操作"
具体请查看互助需知
我知道了
×
提示
确定
请完成安全验证×
copy
已复制链接
快去分享给好友吧!
我知道了
右上角分享
点击右上角分享
0
联系我们:info@booksci.cn Book学术提供免费学术资源搜索服务,方便国内外学者检索中英文文献。致力于提供最便捷和优质的服务体验。 Copyright © 2023 布克学术 All rights reserved.
京ICP备2023020795号-1
ghs 京公网安备 11010802042870号
Book学术文献互助
Book学术文献互助群
群 号:604180095
Book学术官方微信