Massive Extraluminal gastrointestinal stromal tumour with pelvic extension: case report and mini-review of the literature.

IF 0.4 Q3 MEDICINE, GENERAL & INTERNAL
Oxford Medical Case Reports Pub Date : 2025-07-14 eCollection Date: 2025-07-01 DOI:10.1093/omcr/omaf093
Yasir Alshareefy, Ali Alshareefy
{"title":"Massive Extraluminal gastrointestinal stromal tumour with pelvic extension: case report and mini-review of the literature.","authors":"Yasir Alshareefy, Ali Alshareefy","doi":"10.1093/omcr/omaf093","DOIUrl":null,"url":null,"abstract":"<p><p>Large extraluminal gastrointestinal stromal tumours (GISTs) are rare, with varied presentations and patient profiles. This report discusses the case of a 22-year-old female presenting with a 4-month history of lower abdominal pain, weight loss, and recurrent urinary tract infections. Imaging revealed a large intra-abdominal mass (9.3 × 15.3 × 18.9 cm) originating from the stomach, extending into the pelvis, and compressing adjacent structures. During surgery, the mass was found to arise from the lesser curvature of the stomach and adhered to the transverse colon, with non-adherent extension into the pelvis and compression of adjacent organs. A gastric wedge resection and transverse colectomy were performed with aim of achieving a R0 resection. Histopathological analysis confirmed a GIST and positive resection margins. A plan for adjuvant imatinib was initiated in accordance with the European Society for Medical Oncology (ESMO) guidelines. This article details the challenges faced in the management of such a rare presentation and highlights similar reports.</p>","PeriodicalId":45318,"journal":{"name":"Oxford Medical Case Reports","volume":"2025 7","pages":"omaf093"},"PeriodicalIF":0.4000,"publicationDate":"2025-07-14","publicationTypes":"Journal Article","fieldsOfStudy":null,"isOpenAccess":false,"openAccessPdf":"https://www.ncbi.nlm.nih.gov/pmc/articles/PMC12258027/pdf/","citationCount":"0","resultStr":null,"platform":"Semanticscholar","paperid":null,"PeriodicalName":"Oxford Medical Case Reports","FirstCategoryId":"1085","ListUrlMain":"https://doi.org/10.1093/omcr/omaf093","RegionNum":0,"RegionCategory":null,"ArticlePicture":[],"TitleCN":null,"AbstractTextCN":null,"PMCID":null,"EPubDate":"2025/7/1 0:00:00","PubModel":"eCollection","JCR":"Q3","JCRName":"MEDICINE, GENERAL & INTERNAL","Score":null,"Total":0}
引用次数: 0

Abstract

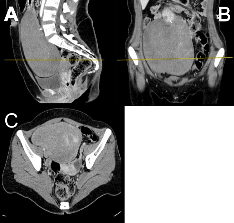
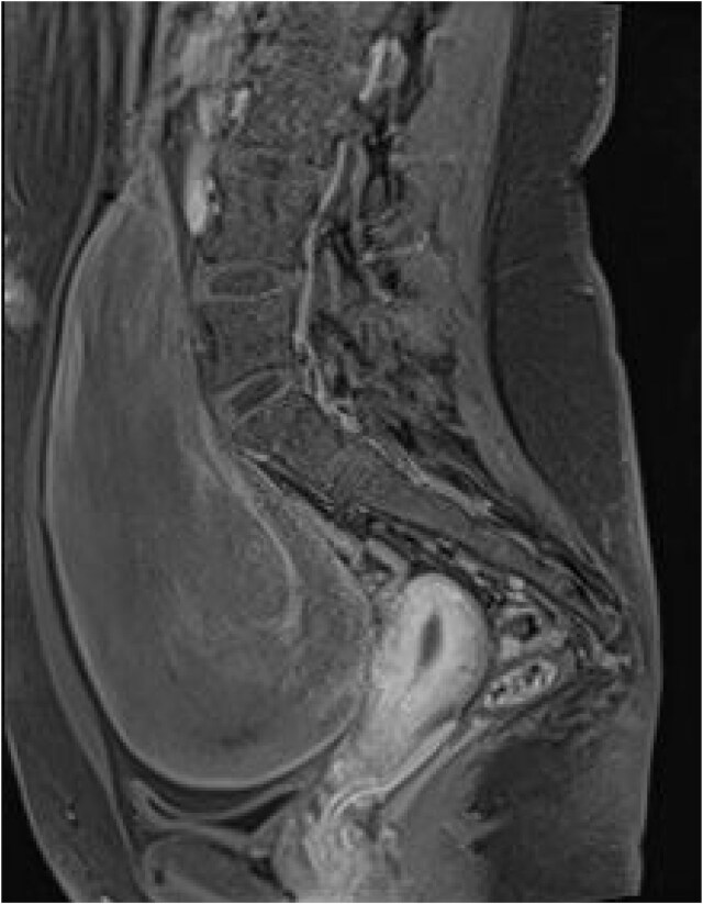
Large extraluminal gastrointestinal stromal tumours (GISTs) are rare, with varied presentations and patient profiles. This report discusses the case of a 22-year-old female presenting with a 4-month history of lower abdominal pain, weight loss, and recurrent urinary tract infections. Imaging revealed a large intra-abdominal mass (9.3 × 15.3 × 18.9 cm) originating from the stomach, extending into the pelvis, and compressing adjacent structures. During surgery, the mass was found to arise from the lesser curvature of the stomach and adhered to the transverse colon, with non-adherent extension into the pelvis and compression of adjacent organs. A gastric wedge resection and transverse colectomy were performed with aim of achieving a R0 resection. Histopathological analysis confirmed a GIST and positive resection margins. A plan for adjuvant imatinib was initiated in accordance with the European Society for Medical Oncology (ESMO) guidelines. This article details the challenges faced in the management of such a rare presentation and highlights similar reports.

Abstract Image

Abstract Image

Abstract Image

伴盆腔扩张的巨大腔外胃肠道间质瘤:病例报告及文献回顾。
大的腔外胃肠道间质瘤(gist)是罕见的,具有不同的表现和患者概况。本文报告一位22岁的女性,以4个月的下腹痛、体重减轻和复发性尿路感染为主诉。影像学显示腹腔内有一个大肿块(9.3 × 15.3 × 18.9 cm),起源于胃,延伸至骨盆,并压迫邻近结构。手术中发现肿块起源于胃小弯并粘附于横结肠,非粘附性延伸至骨盆并压迫邻近器官。为了达到R0切除的目的,进行了胃楔形切除术和横结肠切除术。组织病理学分析证实GIST和切缘阳性。根据欧洲肿瘤医学学会(ESMO)指南,启动了辅助伊马替尼的计划。本文详细介绍了管理这种罕见的报告所面临的挑战,并重点介绍了类似的报告。
本文章由计算机程序翻译,如有差异,请以英文原文为准。
求助全文
约1分钟内获得全文 求助全文
来源期刊
Oxford Medical Case Reports
Oxford Medical Case Reports MEDICINE, GENERAL & INTERNAL-
CiteScore
0.90
自引率
0.00%
发文量
125
审稿时长
19 weeks
期刊介绍: Oxford Medical Case Reports (OMCR) is an open access, peer-reviewed online journal publishing original and educationally valuable case reports that expand the field of medicine. The journal covers all medical specialities including cardiology, rheumatology, nephrology, oncology, neurology, and reproduction, comprising a comprehensive resource for physicians in all fields and at all stages of training. Oxford Medical Case Reports deposits all articles in PubMed Central (PMC). Physicians and researchers can find your work through PubMed , helping you reach the widest possible audience. The journal is also indexed in the Web of Science Core Collection . Oxford Medical Case Reports publishes case reports under the following categories: Allergy Audiovestibular medicine Cardiology and cardiovascular systems Critical care medicine Dermatology Emergency medicine Endocrinology and metabolism Gastroenterology and hepatology Geriatrics and gerontology Haematology Immunology Infectious diseases and tropical medicine Medical disorders in pregnancy Medical ophthalmology Nephrology Neurology Oncology Paediatrics Pain Palliative medicine Pharmacology and pharmacy Psychiatry Radiology, nuclear medicine, and medical imaging Respiratory disorders Rheumatology Sexual and reproductive health Sports Medicine Substance abuse.
×
引用
GB/T 7714-2015
复制
MLA
复制
APA
复制
导出至
BibTeX EndNote RefMan NoteFirst NoteExpress
×
提示
您的信息不完整,为了账户安全,请先补充。
现在去补充
×
提示
您因"违规操作"
具体请查看互助需知
我知道了
×
提示
确定
请完成安全验证×
copy
已复制链接
快去分享给好友吧!
我知道了
右上角分享
点击右上角分享
0
联系我们:info@booksci.cn Book学术提供免费学术资源搜索服务,方便国内外学者检索中英文文献。致力于提供最便捷和优质的服务体验。 Copyright © 2023 布克学术 All rights reserved.
京ICP备2023020795号-1
ghs 京公网安备 11010802042870号
Book学术文献互助
Book学术文献互助群
群 号:604180095
Book学术官方微信