Apple Cider Vinegar-Induced Hepatotoxicity: A Rare Case Report.

IF 0.4 Q3 MEDICINE, GENERAL & INTERNAL
Oxford Medical Case Reports Pub Date : 2025-07-14 eCollection Date: 2025-07-01 DOI:10.1093/omcr/omaf097
Celina R Andonie, Saja I AbuGhannam, Shadi M A Ruzayqat
{"title":"Apple Cider Vinegar-Induced Hepatotoxicity: A Rare Case Report.","authors":"Celina R Andonie, Saja I AbuGhannam, Shadi M A Ruzayqat","doi":"10.1093/omcr/omaf097","DOIUrl":null,"url":null,"abstract":"<p><p>Apple cider vinegar is a ubiquitous ingredient that has been used for many years. There are not many reports in the literature of idiosyncratic drug-induced liver damage linked to apple cider vinegar in people. As far as we are aware, liver damage is an uncommon side effect of long-term apple cider vinegar use. We describe the case of a 60-year-old man who had a long history of vinegar consumption and now had vinegar-induced hepatotoxicity. After the patient stopped using vinegar, his condition improved. This case emphasizes how important it is to take into account conventional substances like vinegar as possible causes of liver damage.</p>","PeriodicalId":45318,"journal":{"name":"Oxford Medical Case Reports","volume":"2025 7","pages":"omaf097"},"PeriodicalIF":0.4000,"publicationDate":"2025-07-14","publicationTypes":"Journal Article","fieldsOfStudy":null,"isOpenAccess":false,"openAccessPdf":"https://www.ncbi.nlm.nih.gov/pmc/articles/PMC12258026/pdf/","citationCount":"0","resultStr":null,"platform":"Semanticscholar","paperid":null,"PeriodicalName":"Oxford Medical Case Reports","FirstCategoryId":"1085","ListUrlMain":"https://doi.org/10.1093/omcr/omaf097","RegionNum":0,"RegionCategory":null,"ArticlePicture":[],"TitleCN":null,"AbstractTextCN":null,"PMCID":null,"EPubDate":"2025/7/1 0:00:00","PubModel":"eCollection","JCR":"Q3","JCRName":"MEDICINE, GENERAL & INTERNAL","Score":null,"Total":0}
引用次数: 0

Abstract

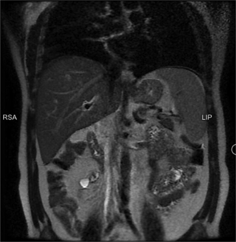
Apple cider vinegar is a ubiquitous ingredient that has been used for many years. There are not many reports in the literature of idiosyncratic drug-induced liver damage linked to apple cider vinegar in people. As far as we are aware, liver damage is an uncommon side effect of long-term apple cider vinegar use. We describe the case of a 60-year-old man who had a long history of vinegar consumption and now had vinegar-induced hepatotoxicity. After the patient stopped using vinegar, his condition improved. This case emphasizes how important it is to take into account conventional substances like vinegar as possible causes of liver damage.

Abstract Image

Abstract Image

Abstract Image

苹果醋引起的肝毒性:一例罕见病例报告。
苹果醋是一种普遍存在的成分,已经使用了很多年。在文献中,与苹果醋有关的特殊药物引起的肝损伤的报道并不多。据我们所知,肝损伤是长期使用苹果醋的罕见副作用。我们描述了一个60岁的男子谁有长期的醋消费历史,现在醋引起的肝毒性。病人停止使用醋后,病情好转了。这个案例强调了考虑到醋等可能导致肝损伤的传统物质是多么重要。
本文章由计算机程序翻译,如有差异,请以英文原文为准。
求助全文
约1分钟内获得全文 求助全文
来源期刊
Oxford Medical Case Reports
Oxford Medical Case Reports MEDICINE, GENERAL & INTERNAL-
CiteScore
0.90
自引率
0.00%
发文量
125
审稿时长
19 weeks
期刊介绍: Oxford Medical Case Reports (OMCR) is an open access, peer-reviewed online journal publishing original and educationally valuable case reports that expand the field of medicine. The journal covers all medical specialities including cardiology, rheumatology, nephrology, oncology, neurology, and reproduction, comprising a comprehensive resource for physicians in all fields and at all stages of training. Oxford Medical Case Reports deposits all articles in PubMed Central (PMC). Physicians and researchers can find your work through PubMed , helping you reach the widest possible audience. The journal is also indexed in the Web of Science Core Collection . Oxford Medical Case Reports publishes case reports under the following categories: Allergy Audiovestibular medicine Cardiology and cardiovascular systems Critical care medicine Dermatology Emergency medicine Endocrinology and metabolism Gastroenterology and hepatology Geriatrics and gerontology Haematology Immunology Infectious diseases and tropical medicine Medical disorders in pregnancy Medical ophthalmology Nephrology Neurology Oncology Paediatrics Pain Palliative medicine Pharmacology and pharmacy Psychiatry Radiology, nuclear medicine, and medical imaging Respiratory disorders Rheumatology Sexual and reproductive health Sports Medicine Substance abuse.
×
引用
GB/T 7714-2015
复制
MLA
复制
APA
复制
导出至
BibTeX EndNote RefMan NoteFirst NoteExpress
×
提示
您的信息不完整,为了账户安全,请先补充。
现在去补充
×
提示
您因"违规操作"
具体请查看互助需知
我知道了
×
提示
确定
请完成安全验证×
copy
已复制链接
快去分享给好友吧!
我知道了
右上角分享
点击右上角分享
0
联系我们:info@booksci.cn Book学术提供免费学术资源搜索服务,方便国内外学者检索中英文文献。致力于提供最便捷和优质的服务体验。 Copyright © 2023 布克学术 All rights reserved.
京ICP备2023020795号-1
ghs 京公网安备 11010802042870号
Book学术文献互助
Book学术文献互助群
群 号:604180095
Book学术官方微信