A multidisciplinary approach to eosinophilic esophagitis presenting with feeding dysfunction.

IF 0.4 Q3 MEDICINE, GENERAL & INTERNAL
Oxford Medical Case Reports Pub Date : 2025-07-14 eCollection Date: 2025-07-01 DOI:10.1093/omcr/omaf096
Emily Sitner-Medvedovsky, Nina Gabriella Sparacio, Bibiana Bernal, Ankita Prasad, Hillary Polk, Oksana Nulman, Shuchi Jani, Cathy Fan, Brande Brown, Kenny Castro Ochoa
{"title":"A multidisciplinary approach to eosinophilic esophagitis presenting with feeding dysfunction.","authors":"Emily Sitner-Medvedovsky, Nina Gabriella Sparacio, Bibiana Bernal, Ankita Prasad, Hillary Polk, Oksana Nulman, Shuchi Jani, Cathy Fan, Brande Brown, Kenny Castro Ochoa","doi":"10.1093/omcr/omaf096","DOIUrl":null,"url":null,"abstract":"<p><p>Eosinophilic Esophagitis (EoE) is a chronic, immune-mediated disorder characterized by eosinophilic infiltration of the esophageal mucosa. EoE presents a clinical challenge as the underlying esophageal dysfunction results in diverse symptomatology, ranging from feeding difficulties and failure to thrive in infants to dysphagia and food impaction in older children. The treatment and long-term management of EoE involves a multidisciplinary approach that may include topical glucocorticosteroids, diet therapy and other evolving pharmacotherapies. We present a case of a 12-month-old previously healthy female with a 3-week history of illness followed by an acute presentation of feeding intolerance and hypersensitivity reactions who was subsequently diagnosed with EoE.</p>","PeriodicalId":45318,"journal":{"name":"Oxford Medical Case Reports","volume":"2025 7","pages":"omaf096"},"PeriodicalIF":0.4000,"publicationDate":"2025-07-14","publicationTypes":"Journal Article","fieldsOfStudy":null,"isOpenAccess":false,"openAccessPdf":"https://www.ncbi.nlm.nih.gov/pmc/articles/PMC12258029/pdf/","citationCount":"0","resultStr":null,"platform":"Semanticscholar","paperid":null,"PeriodicalName":"Oxford Medical Case Reports","FirstCategoryId":"1085","ListUrlMain":"https://doi.org/10.1093/omcr/omaf096","RegionNum":0,"RegionCategory":null,"ArticlePicture":[],"TitleCN":null,"AbstractTextCN":null,"PMCID":null,"EPubDate":"2025/7/1 0:00:00","PubModel":"eCollection","JCR":"Q3","JCRName":"MEDICINE, GENERAL & INTERNAL","Score":null,"Total":0}
引用次数: 0

Abstract

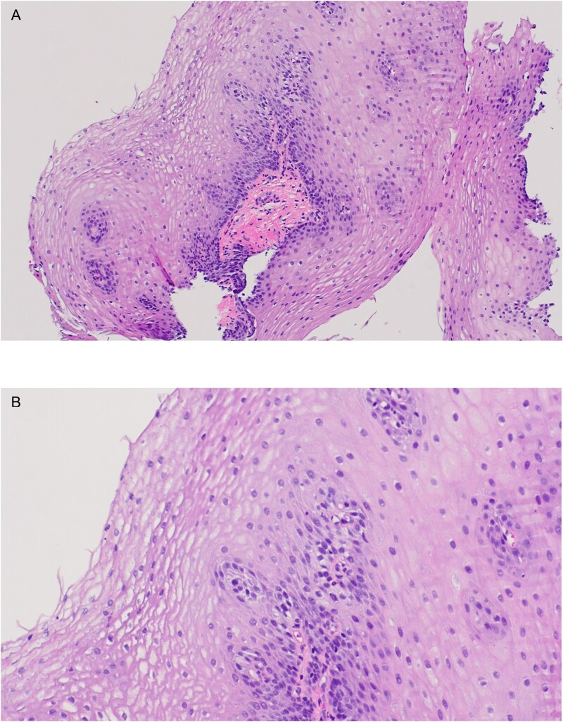
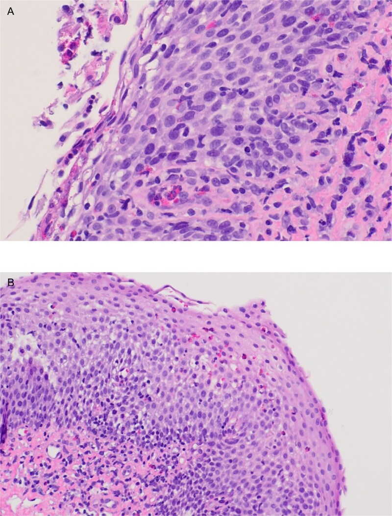
Eosinophilic Esophagitis (EoE) is a chronic, immune-mediated disorder characterized by eosinophilic infiltration of the esophageal mucosa. EoE presents a clinical challenge as the underlying esophageal dysfunction results in diverse symptomatology, ranging from feeding difficulties and failure to thrive in infants to dysphagia and food impaction in older children. The treatment and long-term management of EoE involves a multidisciplinary approach that may include topical glucocorticosteroids, diet therapy and other evolving pharmacotherapies. We present a case of a 12-month-old previously healthy female with a 3-week history of illness followed by an acute presentation of feeding intolerance and hypersensitivity reactions who was subsequently diagnosed with EoE.

Abstract Image

Abstract Image

以进食功能障碍为表现的嗜酸性食管炎的多学科治疗方法。
嗜酸性粒细胞性食管炎(EoE)是一种慢性免疫介导的疾病,以食管黏膜嗜酸性粒细胞浸润为特征。由于潜在的食管功能障碍导致多种症状,从婴儿的喂养困难和发育不良到大一点的儿童的吞咽困难和食物嵌塞,EoE提出了一个临床挑战。EoE的治疗和长期管理涉及多学科方法,可能包括局部糖皮质激素、饮食疗法和其他不断发展的药物疗法。我们报告了一个12个月大的健康女性病例,病史为3周,随后出现急性喂养不耐受和超敏反应,随后被诊断为EoE。
本文章由计算机程序翻译,如有差异,请以英文原文为准。
求助全文
约1分钟内获得全文 求助全文
来源期刊
Oxford Medical Case Reports
Oxford Medical Case Reports MEDICINE, GENERAL & INTERNAL-
CiteScore
0.90
自引率
0.00%
发文量
125
审稿时长
19 weeks
期刊介绍: Oxford Medical Case Reports (OMCR) is an open access, peer-reviewed online journal publishing original and educationally valuable case reports that expand the field of medicine. The journal covers all medical specialities including cardiology, rheumatology, nephrology, oncology, neurology, and reproduction, comprising a comprehensive resource for physicians in all fields and at all stages of training. Oxford Medical Case Reports deposits all articles in PubMed Central (PMC). Physicians and researchers can find your work through PubMed , helping you reach the widest possible audience. The journal is also indexed in the Web of Science Core Collection . Oxford Medical Case Reports publishes case reports under the following categories: Allergy Audiovestibular medicine Cardiology and cardiovascular systems Critical care medicine Dermatology Emergency medicine Endocrinology and metabolism Gastroenterology and hepatology Geriatrics and gerontology Haematology Immunology Infectious diseases and tropical medicine Medical disorders in pregnancy Medical ophthalmology Nephrology Neurology Oncology Paediatrics Pain Palliative medicine Pharmacology and pharmacy Psychiatry Radiology, nuclear medicine, and medical imaging Respiratory disorders Rheumatology Sexual and reproductive health Sports Medicine Substance abuse.
×
引用
GB/T 7714-2015
复制
MLA
复制
APA
复制
导出至
BibTeX EndNote RefMan NoteFirst NoteExpress
×
提示
您的信息不完整,为了账户安全,请先补充。
现在去补充
×
提示
您因"违规操作"
具体请查看互助需知
我知道了
×
提示
确定
请完成安全验证×
copy
已复制链接
快去分享给好友吧!
我知道了
右上角分享
点击右上角分享
0
联系我们:info@booksci.cn Book学术提供免费学术资源搜索服务,方便国内外学者检索中英文文献。致力于提供最便捷和优质的服务体验。 Copyright © 2023 布克学术 All rights reserved.
京ICP备2023020795号-1
ghs 京公网安备 11010802042870号
Book学术文献互助
Book学术文献互助群
群 号:604180095
Book学术官方微信