A case of an eccrine spiradenoma in an elderly patient mimicking an epidermoid cyst.

IF 0.4 Q3 MEDICINE, GENERAL & INTERNAL
Oxford Medical Case Reports Pub Date : 2025-07-14 eCollection Date: 2025-07-01 DOI:10.1093/omcr/omaf103
Meryeme Boutaarourt, Ouiame El Jouari, Salim Gallouj
{"title":"A case of an eccrine spiradenoma in an elderly patient mimicking an epidermoid cyst.","authors":"Meryeme Boutaarourt, Ouiame El Jouari, Salim Gallouj","doi":"10.1093/omcr/omaf103","DOIUrl":null,"url":null,"abstract":"<p><p>Eccrine spiradenoma is one of the rarest benign adnexal tumors. Its clinical presentation is nonspecific, often necessitating a differential diagnosis with other benign cutaneous tumors, highlighting the crucial role of histological examination. The literature provides limited descriptions of this tumor, particularly in elderly patients, emphasizing the significance of our case. Our patient, a 61-year-old man with no significant medical history, presented with a painless cutaneous lesion on his back that had been progressively enlarging over six years. Clinical examination revealed a subcutaneous nodule with a firm consistency, measuring 2 cm in its largest dimension. Complete excision of the lesion was performed for pathological examination. Clinical findings, combined with histology and immunohistochemistry, confirmed the diagnosis of eccrine spiradenoma. This is a benign tumor of the eccrine sweat glands, rarely reported in the literature, typically presenting as a solitary nodule, sometimes multiple, with its primary clinical feature being paroxysmal tenderness. Early and complete surgical excision serves both diagnostic and therapeutic purposes. In addition to its rarity, the occurrence in an elderly patient and its painless nature make our publication particularly noteworthy. This article reports a case of eccrine spiradenoma identified in an elderly patient initially suspected of having an epidermoid cyst, underscoring the importance of histopathological examination for any cutaneous tumor.</p>","PeriodicalId":45318,"journal":{"name":"Oxford Medical Case Reports","volume":"2025 7","pages":"omaf103"},"PeriodicalIF":0.4000,"publicationDate":"2025-07-14","publicationTypes":"Journal Article","fieldsOfStudy":null,"isOpenAccess":false,"openAccessPdf":"https://www.ncbi.nlm.nih.gov/pmc/articles/PMC12258033/pdf/","citationCount":"0","resultStr":null,"platform":"Semanticscholar","paperid":null,"PeriodicalName":"Oxford Medical Case Reports","FirstCategoryId":"1085","ListUrlMain":"https://doi.org/10.1093/omcr/omaf103","RegionNum":0,"RegionCategory":null,"ArticlePicture":[],"TitleCN":null,"AbstractTextCN":null,"PMCID":null,"EPubDate":"2025/7/1 0:00:00","PubModel":"eCollection","JCR":"Q3","JCRName":"MEDICINE, GENERAL & INTERNAL","Score":null,"Total":0}
引用次数: 0

Abstract

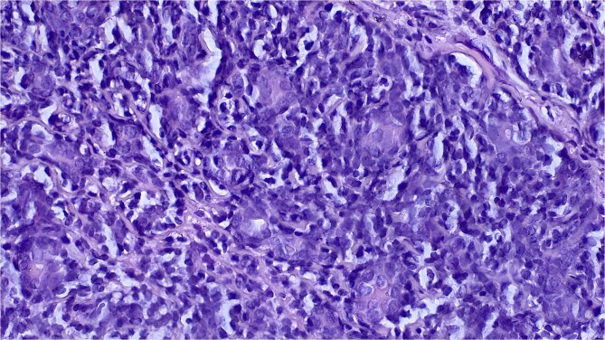
Eccrine spiradenoma is one of the rarest benign adnexal tumors. Its clinical presentation is nonspecific, often necessitating a differential diagnosis with other benign cutaneous tumors, highlighting the crucial role of histological examination. The literature provides limited descriptions of this tumor, particularly in elderly patients, emphasizing the significance of our case. Our patient, a 61-year-old man with no significant medical history, presented with a painless cutaneous lesion on his back that had been progressively enlarging over six years. Clinical examination revealed a subcutaneous nodule with a firm consistency, measuring 2 cm in its largest dimension. Complete excision of the lesion was performed for pathological examination. Clinical findings, combined with histology and immunohistochemistry, confirmed the diagnosis of eccrine spiradenoma. This is a benign tumor of the eccrine sweat glands, rarely reported in the literature, typically presenting as a solitary nodule, sometimes multiple, with its primary clinical feature being paroxysmal tenderness. Early and complete surgical excision serves both diagnostic and therapeutic purposes. In addition to its rarity, the occurrence in an elderly patient and its painless nature make our publication particularly noteworthy. This article reports a case of eccrine spiradenoma identified in an elderly patient initially suspected of having an epidermoid cyst, underscoring the importance of histopathological examination for any cutaneous tumor.

Abstract Image

Abstract Image

Abstract Image

模拟表皮样囊肿的老年患者的汗腺螺旋腺瘤1例。
摘要汗腺螺旋腺瘤是一种罕见的良性附件肿瘤。它的临床表现是非特异性的,通常需要与其他良性皮肤肿瘤鉴别诊断,强调组织学检查的关键作用。文献对这种肿瘤的描述有限,特别是在老年患者中,强调了我们病例的意义。我们的病人,一名61岁的男性,没有明显的病史,表现为背部无痛性皮肤病变,在六年内逐渐扩大。临床检查发现一皮下结节,质地坚硬,最大尺寸约2厘米。完全切除病变进行病理检查。临床表现,结合组织学和免疫组织化学,证实了内分泌螺旋腺瘤的诊断。这是一种内分泌汗腺良性肿瘤,文献很少报道,典型表现为单发结节,有时为多发结节,其主要临床特征为阵发性压痛。早期和完全的手术切除具有诊断和治疗的双重目的。除了它的罕见,发生在一个老年病人和无痛的性质使我们的出版物特别值得注意。本文报告一例最初怀疑为表皮样囊肿的老年患者的汗腺螺旋腺瘤,强调对任何皮肤肿瘤进行组织病理学检查的重要性。
本文章由计算机程序翻译,如有差异,请以英文原文为准。
求助全文
约1分钟内获得全文 求助全文
来源期刊
Oxford Medical Case Reports
Oxford Medical Case Reports MEDICINE, GENERAL & INTERNAL-
CiteScore
0.90
自引率
0.00%
发文量
125
审稿时长
19 weeks
期刊介绍: Oxford Medical Case Reports (OMCR) is an open access, peer-reviewed online journal publishing original and educationally valuable case reports that expand the field of medicine. The journal covers all medical specialities including cardiology, rheumatology, nephrology, oncology, neurology, and reproduction, comprising a comprehensive resource for physicians in all fields and at all stages of training. Oxford Medical Case Reports deposits all articles in PubMed Central (PMC). Physicians and researchers can find your work through PubMed , helping you reach the widest possible audience. The journal is also indexed in the Web of Science Core Collection . Oxford Medical Case Reports publishes case reports under the following categories: Allergy Audiovestibular medicine Cardiology and cardiovascular systems Critical care medicine Dermatology Emergency medicine Endocrinology and metabolism Gastroenterology and hepatology Geriatrics and gerontology Haematology Immunology Infectious diseases and tropical medicine Medical disorders in pregnancy Medical ophthalmology Nephrology Neurology Oncology Paediatrics Pain Palliative medicine Pharmacology and pharmacy Psychiatry Radiology, nuclear medicine, and medical imaging Respiratory disorders Rheumatology Sexual and reproductive health Sports Medicine Substance abuse.
×
引用
GB/T 7714-2015
复制
MLA
复制
APA
复制
导出至
BibTeX EndNote RefMan NoteFirst NoteExpress
×
提示
您的信息不完整,为了账户安全,请先补充。
现在去补充
×
提示
您因"违规操作"
具体请查看互助需知
我知道了
×
提示
确定
请完成安全验证×
copy
已复制链接
快去分享给好友吧!
我知道了
右上角分享
点击右上角分享
0
联系我们:info@booksci.cn Book学术提供免费学术资源搜索服务,方便国内外学者检索中英文文献。致力于提供最便捷和优质的服务体验。 Copyright © 2023 布克学术 All rights reserved.
京ICP备2023020795号-1
ghs 京公网安备 11010802042870号
Book学术文献互助
Book学术文献互助群
群 号:604180095
Book学术官方微信