Combination Hyaluronic Acid and Multipotent Stromal Cells Fails to Improve Rat Knee OA Outcomes Compared to Cells Alone.

IF 2.3 Q2 ORTHOPEDICS
Orthopedic Research and Reviews Pub Date : 2025-07-11 eCollection Date: 2025-01-01 DOI:10.2147/ORR.S525292
Kennedy Michele Davis, Megan Hamilton, Donald Muathe, Aldyn Wildey, Stephen Harrington, Douglas C Bittel, Michael Filla, Lisa Stehno-Bittel
{"title":"Combination Hyaluronic Acid and Multipotent Stromal Cells Fails to Improve Rat Knee OA Outcomes Compared to Cells Alone.","authors":"Kennedy Michele Davis, Megan Hamilton, Donald Muathe, Aldyn Wildey, Stephen Harrington, Douglas C Bittel, Michael Filla, Lisa Stehno-Bittel","doi":"10.2147/ORR.S525292","DOIUrl":null,"url":null,"abstract":"<p><strong>Introduction: </strong>Multipotent Stromal Cells (MSCs) are utilized as therapeutic agents for addressing musculoskeletal conditions, including knee osteoarthritis (OA). However, major challenges in the clinical application include maintenance of the cells in the joint capsule. Hyaluronic acid (HA) is endogenous in synovial joints and commercially available as a joint lubricant. We tested the hypothesis that delivery of MSCs in HA into an OA rat knee model could improve outcomes.</p><p><strong>Methods: </strong>Rat bone marrow MSCs were suspended in a commercially available HA paste, and cell viability measured with live/dead stains. Biomarkers for MSC chondrogenesis and osteogenesis were monitored with PCR. MSCs with or without HA were injected into the knees of OA rats and histology conducted 6 weeks later.</p><p><strong>Results: </strong>Suspending MSC in HA resulted in a slight reduction in viability. The gene expression profile showed an increase in MSC biomarkers for cells in HA with a decrease in osteogenic markers. Four groups of treatment (vehicle, MSCs alone, HA alone, MSCs + HA) were injected into the knees of osteoarthritic rats. Pain scores, collected weekly, showed no difference between the groups. Immunohistochemistry for inflammatory markers illustrated no obvious differences between groups. Proteoglycans, indicative of cartilage, showed a loss in the vehicle group and modest signs of cartilage with MSCs alone, but when mixed with the HA, any benefit was lost. OARSI Histological Scoring completed by 2 independent technicians concluded no improvement in joint integrity with the addition of HA.</p><p><strong>Conclusion: </strong>A commercially available HA failed to enhance joint regeneration compared to MSCs alone.</p>","PeriodicalId":19608,"journal":{"name":"Orthopedic Research and Reviews","volume":"17 ","pages":"299-312"},"PeriodicalIF":2.3000,"publicationDate":"2025-07-11","publicationTypes":"Journal Article","fieldsOfStudy":null,"isOpenAccess":false,"openAccessPdf":"https://www.ncbi.nlm.nih.gov/pmc/articles/PMC12262070/pdf/","citationCount":"0","resultStr":null,"platform":"Semanticscholar","paperid":null,"PeriodicalName":"Orthopedic Research and Reviews","FirstCategoryId":"1085","ListUrlMain":"https://doi.org/10.2147/ORR.S525292","RegionNum":0,"RegionCategory":null,"ArticlePicture":[],"TitleCN":null,"AbstractTextCN":null,"PMCID":null,"EPubDate":"2025/1/1 0:00:00","PubModel":"eCollection","JCR":"Q2","JCRName":"ORTHOPEDICS","Score":null,"Total":0}
引用次数: 0

Abstract

Introduction: Multipotent Stromal Cells (MSCs) are utilized as therapeutic agents for addressing musculoskeletal conditions, including knee osteoarthritis (OA). However, major challenges in the clinical application include maintenance of the cells in the joint capsule. Hyaluronic acid (HA) is endogenous in synovial joints and commercially available as a joint lubricant. We tested the hypothesis that delivery of MSCs in HA into an OA rat knee model could improve outcomes.

Methods: Rat bone marrow MSCs were suspended in a commercially available HA paste, and cell viability measured with live/dead stains. Biomarkers for MSC chondrogenesis and osteogenesis were monitored with PCR. MSCs with or without HA were injected into the knees of OA rats and histology conducted 6 weeks later.

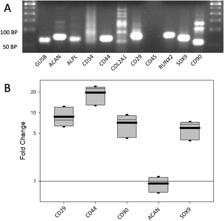
Results: Suspending MSC in HA resulted in a slight reduction in viability. The gene expression profile showed an increase in MSC biomarkers for cells in HA with a decrease in osteogenic markers. Four groups of treatment (vehicle, MSCs alone, HA alone, MSCs + HA) were injected into the knees of osteoarthritic rats. Pain scores, collected weekly, showed no difference between the groups. Immunohistochemistry for inflammatory markers illustrated no obvious differences between groups. Proteoglycans, indicative of cartilage, showed a loss in the vehicle group and modest signs of cartilage with MSCs alone, but when mixed with the HA, any benefit was lost. OARSI Histological Scoring completed by 2 independent technicians concluded no improvement in joint integrity with the addition of HA.

Conclusion: A commercially available HA failed to enhance joint regeneration compared to MSCs alone.

Abstract Image

Abstract Image

Abstract Image

与单独使用透明质酸和多能基质细胞相比,联合使用透明质酸和多能基质细胞不能改善大鼠膝关节OA的预后。
多功能基质细胞(MSCs)被用作治疗肌肉骨骼疾病的药物,包括膝关节骨关节炎(OA)。然而,临床应用中的主要挑战包括关节囊细胞的维护。透明质酸(HA)是内源性滑膜关节和商业上可用的关节润滑剂。我们验证了将HA中的MSCs输送到OA大鼠膝关节模型中可以改善结果的假设。方法:将大鼠骨髓间充质干细胞悬浮在市售的透明质酸膏中,用活/死染色法测定细胞活力。采用PCR技术监测MSC软骨形成和成骨的生物标志物。将含HA或不含HA的MSCs注射于OA大鼠膝关节,6周后进行组织学观察。结果:将MSC悬浮在HA中导致细胞活力略有下降。基因表达谱显示,HA细胞的MSC生物标志物增加,成骨标志物减少。在骨关节炎大鼠膝关节内注射四组治疗组(对照、MSCs单独、HA单独、MSCs + HA)。每周收集的疼痛评分显示各组之间没有差异。炎症标志物免疫组化结果各组间无明显差异。表明软骨的蛋白聚糖在载体组中表现出缺失,单独使用MSCs时表现出软骨的温和迹象,但当与HA混合时,任何益处都消失了。由2名独立技术人员完成的OARSI组织学评分显示,添加HA后关节完整性没有改善。结论:与单独的间充质干细胞相比,市售的HA不能增强关节再生。
本文章由计算机程序翻译,如有差异,请以英文原文为准。
求助全文
约1分钟内获得全文 求助全文
来源期刊
Orthopedic Research and Reviews
Orthopedic Research and Reviews Medicine-Orthopedics and Sports Medicine
CiteScore
2.80
自引率
0.00%
发文量
51
审稿时长
16 weeks
期刊介绍: Orthopedic Research and Reviews is an international, peer-reviewed, open-access journal focusing on the patho-physiology of the musculoskeletal system, trauma, surgery and other corrective interventions to restore mobility and function. Advances in new technologies, materials, techniques and pharmacological agents will be particularly welcome. Specific topics covered in the journal include: Patho-physiology and bioengineering, Technologies and materials science, Surgical techniques, including robotics, Trauma management and care, Treatment including pharmacological and non-pharmacological, Rehabilitation and Multidisciplinarian care approaches, Patient quality of life, satisfaction and preference, Health economic evaluations. The journal welcomes submitted papers covering original research, basic science and technology, clinical studies, reviews and evaluations, guidelines, expert opinion and commentary, case reports and extended reports.
×
引用
GB/T 7714-2015
复制
MLA
复制
APA
复制
导出至
BibTeX EndNote RefMan NoteFirst NoteExpress
×
提示
您的信息不完整,为了账户安全,请先补充。
现在去补充
×
提示
您因"违规操作"
具体请查看互助需知
我知道了
×
提示
确定
请完成安全验证×
copy
已复制链接
快去分享给好友吧!
我知道了
右上角分享
点击右上角分享
0
联系我们:info@booksci.cn Book学术提供免费学术资源搜索服务,方便国内外学者检索中英文文献。致力于提供最便捷和优质的服务体验。 Copyright © 2023 布克学术 All rights reserved.
京ICP备2023020795号-1
ghs 京公网安备 11010802042870号
Book学术文献互助
Book学术文献互助群
群 号:604180095
Book学术官方微信