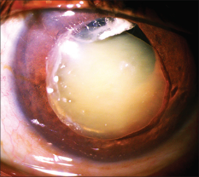
Spontaneous inverse couching.

Q3 Medicine
Oman Journal of Ophthalmology Pub Date : 2025-06-24 eCollection Date: 2025-05-01 DOI:10.4103/ojo.ojo_354_24
Lipi Mittal, Mayank Sharma, Sandeep Choudhary
{"title":"Spontaneous inverse couching.","authors":"Lipi Mittal, Mayank Sharma, Sandeep Choudhary","doi":"10.4103/ojo.ojo_354_24","DOIUrl":null,"url":null,"abstract":"","PeriodicalId":19461,"journal":{"name":"Oman Journal of Ophthalmology","volume":"18 2","pages":"255-256"},"PeriodicalIF":0.0000,"publicationDate":"2025-06-24","publicationTypes":"Journal Article","fieldsOfStudy":null,"isOpenAccess":false,"openAccessPdf":"https://www.ncbi.nlm.nih.gov/pmc/articles/PMC12258857/pdf/","citationCount":"0","resultStr":null,"platform":"Semanticscholar","paperid":null,"PeriodicalName":"Oman Journal of Ophthalmology","FirstCategoryId":"1085","ListUrlMain":"https://doi.org/10.4103/ojo.ojo_354_24","RegionNum":0,"RegionCategory":null,"ArticlePicture":[],"TitleCN":null,"AbstractTextCN":null,"PMCID":null,"EPubDate":"2025/5/1 0:00:00","PubModel":"eCollection","JCR":"Q3","JCRName":"Medicine","Score":null,"Total":0}
引用次数: 0

Abstract Image

自发逆电晕。
本文章由计算机程序翻译,如有差异,请以英文原文为准。
求助全文
约1分钟内获得全文 求助全文
来源期刊
Oman Journal of Ophthalmology
Oman Journal of Ophthalmology Medicine-Ophthalmology
CiteScore
0.50
自引率
0.00%
发文量
68
审稿时长
50 weeks
期刊介绍: To provide a platform for scientific expression of the Oman Ophthalmic Society and the international Ophthalmic community and to provide opportunities for free exchange of ideas and information. To serve as a valuable resource for ophthalmologists, eye-care providers including optometrists, orthoptists, other health care professionals and research workers in all aspects of the field of visual science.
×
引用
GB/T 7714-2015
复制
MLA
复制
APA
复制
导出至
BibTeX EndNote RefMan NoteFirst NoteExpress
×
提示
您的信息不完整,为了账户安全,请先补充。
现在去补充
×
提示
您因"违规操作"
具体请查看互助需知
我知道了
×
提示
确定
请完成安全验证×
copy
已复制链接
快去分享给好友吧!
我知道了
右上角分享
点击右上角分享
0
联系我们:info@booksci.cn Book学术提供免费学术资源搜索服务,方便国内外学者检索中英文文献。致力于提供最便捷和优质的服务体验。 Copyright © 2023 布克学术 All rights reserved.
京ICP备2023020795号-1
ghs 京公网安备 11010802042870号
Book学术文献互助
Book学术文献互助群
群 号:604180095
Book学术官方微信