Hyphaema, heterochromia and hyperpigmented cutaneous nodules.

Q3 Medicine
Oman Journal of Ophthalmology Pub Date : 2025-06-24 eCollection Date: 2025-05-01 DOI:10.4103/ojo.ojo_296_24
Nidhi Mamtani, Sagarika Snehi, Puja Hingorani Bang, Kanishk Singh, Rajesh Pattebahadur, Meghana Kandi, Sachin Chaudhari, Pankaj Dwivedi
{"title":"Hyphaema, heterochromia and hyperpigmented cutaneous nodules.","authors":"Nidhi Mamtani, Sagarika Snehi, Puja Hingorani Bang, Kanishk Singh, Rajesh Pattebahadur, Meghana Kandi, Sachin Chaudhari, Pankaj Dwivedi","doi":"10.4103/ojo.ojo_296_24","DOIUrl":null,"url":null,"abstract":"<p><p>Juvenile xanthogranuloma (JXG) is a rare, benign granulomatous disorder predominantly affecting young children, characterized by the presence of Touton giant cells. While typically presenting as cutaneous lesions, JXG can also involve the eyes, potentially leading to severe complications such as hyphema and glaucoma. Here, we present the case of an 11-month-old girl with multifaceted systemic and ocular manifestations of JXG. She presented with unilateral redness, watering, photophobia, and hyperpigmented nodules distributed across her body. Ocular examination revealed hyphema, heterochromia iridis, fibrinous reaction, and elevated IOP with signs of glaucomatous optic neuropathy. Despite initial treatment with topical steroids and antiglaucoma medications, the patient experienced recurrent hyphema. Further evaluation identified peripheral anterior synechiae and delicate vessels spanning the trabecular meshwork. Histopathological analysis of the skin nodules confirmed the diagnosis of JXG, with systemic involvement noted in the spleen and other organs. Multidisciplinary management, including chemotherapy, resulted in the regression of hyphema and the fibrinous reaction. This case underscores the importance of comprehensive evaluation and a multidisciplinary approach in managing JXG, highlighting the challenges faced by ophthalmologists in preventing complications such as rebleeding and refractory glaucoma.</p>","PeriodicalId":19461,"journal":{"name":"Oman Journal of Ophthalmology","volume":"18 2","pages":"235-238"},"PeriodicalIF":0.0000,"publicationDate":"2025-06-24","publicationTypes":"Journal Article","fieldsOfStudy":null,"isOpenAccess":false,"openAccessPdf":"https://www.ncbi.nlm.nih.gov/pmc/articles/PMC12258831/pdf/","citationCount":"0","resultStr":null,"platform":"Semanticscholar","paperid":null,"PeriodicalName":"Oman Journal of Ophthalmology","FirstCategoryId":"1085","ListUrlMain":"https://doi.org/10.4103/ojo.ojo_296_24","RegionNum":0,"RegionCategory":null,"ArticlePicture":[],"TitleCN":null,"AbstractTextCN":null,"PMCID":null,"EPubDate":"2025/5/1 0:00:00","PubModel":"eCollection","JCR":"Q3","JCRName":"Medicine","Score":null,"Total":0}
引用次数: 0

Abstract

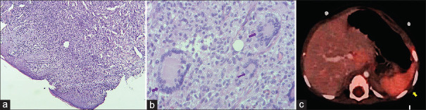
Juvenile xanthogranuloma (JXG) is a rare, benign granulomatous disorder predominantly affecting young children, characterized by the presence of Touton giant cells. While typically presenting as cutaneous lesions, JXG can also involve the eyes, potentially leading to severe complications such as hyphema and glaucoma. Here, we present the case of an 11-month-old girl with multifaceted systemic and ocular manifestations of JXG. She presented with unilateral redness, watering, photophobia, and hyperpigmented nodules distributed across her body. Ocular examination revealed hyphema, heterochromia iridis, fibrinous reaction, and elevated IOP with signs of glaucomatous optic neuropathy. Despite initial treatment with topical steroids and antiglaucoma medications, the patient experienced recurrent hyphema. Further evaluation identified peripheral anterior synechiae and delicate vessels spanning the trabecular meshwork. Histopathological analysis of the skin nodules confirmed the diagnosis of JXG, with systemic involvement noted in the spleen and other organs. Multidisciplinary management, including chemotherapy, resulted in the regression of hyphema and the fibrinous reaction. This case underscores the importance of comprehensive evaluation and a multidisciplinary approach in managing JXG, highlighting the challenges faced by ophthalmologists in preventing complications such as rebleeding and refractory glaucoma.

Abstract Image

Abstract Image

Abstract Image

水肿、异色和色素沉着的皮肤结节。
青少年黄色肉芽肿(JXG)是一种罕见的良性肉芽肿疾病,主要影响幼儿,其特征是存在图顿巨细胞。虽然通常表现为皮肤病变,但JXG也可能涉及眼睛,可能导致严重的并发症,如前房积血和青光眼。在这里,我们提出一个11个月大的女孩的情况下,多面系统性和眼部表现的JXG。她表现为单侧发红、流泪、畏光,全身分布着色素沉着的结节。眼部检查显示前房积血,虹膜异色,纤维反应,IOP升高,伴有青光眼视神经病变的征象。尽管最初使用局部类固醇和抗青光眼药物治疗,患者仍出现反复的前房积血。进一步的评估确定了周围前突触和跨越小梁网的精细血管。皮肤结节的组织病理学分析证实了JXG的诊断,并注意到脾脏和其他器官的全身累及。多学科治疗,包括化疗,导致前房积血消退和纤维性反应。该病例强调了综合评估和多学科方法治疗JXG的重要性,突出了眼科医生在预防并发症(如再出血和难治性青光眼)方面面临的挑战。
本文章由计算机程序翻译,如有差异,请以英文原文为准。
求助全文
约1分钟内获得全文 求助全文
来源期刊
Oman Journal of Ophthalmology
Oman Journal of Ophthalmology Medicine-Ophthalmology
CiteScore
0.50
自引率
0.00%
发文量
68
审稿时长
50 weeks
期刊介绍: To provide a platform for scientific expression of the Oman Ophthalmic Society and the international Ophthalmic community and to provide opportunities for free exchange of ideas and information. To serve as a valuable resource for ophthalmologists, eye-care providers including optometrists, orthoptists, other health care professionals and research workers in all aspects of the field of visual science.
×
引用
GB/T 7714-2015
复制
MLA
复制
APA
复制
导出至
BibTeX EndNote RefMan NoteFirst NoteExpress
×
提示
您的信息不完整,为了账户安全,请先补充。
现在去补充
×
提示
您因"违规操作"
具体请查看互助需知
我知道了
×
提示
确定
请完成安全验证×
copy
已复制链接
快去分享给好友吧!
我知道了
右上角分享
点击右上角分享
0
联系我们:info@booksci.cn Book学术提供免费学术资源搜索服务,方便国内外学者检索中英文文献。致力于提供最便捷和优质的服务体验。 Copyright © 2023 布克学术 All rights reserved.
京ICP备2023020795号-1
ghs 京公网安备 11010802042870号
Book学术文献互助
Book学术文献互助群
群 号:604180095
Book学术官方微信