Gyrate atrophy of the choroid and retina with vitreous hemorrhage complication in a Vietnamese child.

Q3 Medicine
Oman Journal of Ophthalmology Pub Date : 2025-06-24 eCollection Date: 2025-05-01 DOI:10.4103/ojo.ojo_247_24
Nguyen Minh-Phu, Nguyen Hanh Giang, Nguyen Ngan-Ha, Nguyen Huu Hong Thu, Nguyen Hai Ha
{"title":"Gyrate atrophy of the choroid and retina with vitreous hemorrhage complication in a Vietnamese child.","authors":"Nguyen Minh-Phu, Nguyen Hanh Giang, Nguyen Ngan-Ha, Nguyen Huu Hong Thu, Nguyen Hai Ha","doi":"10.4103/ojo.ojo_247_24","DOIUrl":null,"url":null,"abstract":"<p><p>Gyrate atrophy (GA) of the choroid and retina is a rare autosomal recessive inherited disease characterized by elevation of plasma ornithine levels due to deficiency of the mitochondrial enzyme <i>ornithine aminotransferase</i> resulting in progressive chorioretinal atrophy, nyctalopia, and possibly blindness. This report presents the case of a 7-year-old Vietnamese boy with no history of trauma and a complaint of sudden visual loss over the past 6 weeks. Fundus examination showed vitreous hemorrhage in the right eye and chorioretinal atrophy with hyperpigmented margins in the periphery retina of the left eye. Based on the high serum ornithine level and compound heterozygous mutations detected in the <i>ornithine aminotransferase</i> (<i>OAT</i>) gene of the patient, he was diagnosed with GA. The patient underwent a right eye vitrectomy and was supplemented with Vitamin B6 and an arginine-restricted diet. Four months after surgery, the patient's visual acuity was significantly improved, and there was no progression of chorioretinal atrophy or recurrent vitreous hemorrhage. GA is an extremely rare disease and difficult to diagnose, especially when accompanied by vitreous hemorrhage. Combining genetic tests with clinical examinations helped diagnose accurately, and prompt treatment could restore the patient's visual function.</p>","PeriodicalId":19461,"journal":{"name":"Oman Journal of Ophthalmology","volume":"18 2","pages":"208-211"},"PeriodicalIF":0.0000,"publicationDate":"2025-06-24","publicationTypes":"Journal Article","fieldsOfStudy":null,"isOpenAccess":false,"openAccessPdf":"https://www.ncbi.nlm.nih.gov/pmc/articles/PMC12258844/pdf/","citationCount":"0","resultStr":null,"platform":"Semanticscholar","paperid":null,"PeriodicalName":"Oman Journal of Ophthalmology","FirstCategoryId":"1085","ListUrlMain":"https://doi.org/10.4103/ojo.ojo_247_24","RegionNum":0,"RegionCategory":null,"ArticlePicture":[],"TitleCN":null,"AbstractTextCN":null,"PMCID":null,"EPubDate":"2025/5/1 0:00:00","PubModel":"eCollection","JCR":"Q3","JCRName":"Medicine","Score":null,"Total":0}
引用次数: 0

Abstract

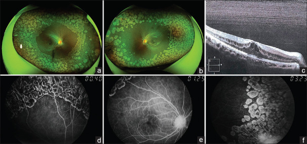
Gyrate atrophy (GA) of the choroid and retina is a rare autosomal recessive inherited disease characterized by elevation of plasma ornithine levels due to deficiency of the mitochondrial enzyme ornithine aminotransferase resulting in progressive chorioretinal atrophy, nyctalopia, and possibly blindness. This report presents the case of a 7-year-old Vietnamese boy with no history of trauma and a complaint of sudden visual loss over the past 6 weeks. Fundus examination showed vitreous hemorrhage in the right eye and chorioretinal atrophy with hyperpigmented margins in the periphery retina of the left eye. Based on the high serum ornithine level and compound heterozygous mutations detected in the ornithine aminotransferase (OAT) gene of the patient, he was diagnosed with GA. The patient underwent a right eye vitrectomy and was supplemented with Vitamin B6 and an arginine-restricted diet. Four months after surgery, the patient's visual acuity was significantly improved, and there was no progression of chorioretinal atrophy or recurrent vitreous hemorrhage. GA is an extremely rare disease and difficult to diagnose, especially when accompanied by vitreous hemorrhage. Combining genetic tests with clinical examinations helped diagnose accurately, and prompt treatment could restore the patient's visual function.

Abstract Image

Abstract Image

Abstract Image

越南儿童脉络膜及视网膜旋转萎缩伴玻璃体出血并发症。
脉络膜和视网膜的回转性萎缩(GA)是一种罕见的常染色体隐性遗传疾病,其特征是由于线粒体酶鸟氨酸转氨酶缺乏导致血浆鸟氨酸水平升高,导致进行性脉络膜视网膜萎缩、夜盲症和可能的失明。本报告报告了一名7岁的越南男孩,无外伤史,在过去6周内突然丧失视力。眼底检查显示右眼玻璃体出血,左眼周围视网膜绒毛视网膜萎缩伴色素沉着。根据患者血清鸟氨酸水平高及鸟氨酸转氨酶(OAT)基因检测到复合杂合突变,诊断为GA。患者接受了右眼玻璃体切除术,并补充了维生素B6和精氨酸限制饮食。术后4个月,患者视力明显改善,无绒毛膜视网膜萎缩进展,无玻璃体出血复发。GA是一种极其罕见且难以诊断的疾病,特别是当伴有玻璃体出血时。将基因检测与临床检查相结合有助于准确诊断,及时治疗可以恢复患者的视觉功能。
本文章由计算机程序翻译,如有差异,请以英文原文为准。
求助全文
约1分钟内获得全文 求助全文
来源期刊
Oman Journal of Ophthalmology
Oman Journal of Ophthalmology Medicine-Ophthalmology
CiteScore
0.50
自引率
0.00%
发文量
68
审稿时长
50 weeks
期刊介绍: To provide a platform for scientific expression of the Oman Ophthalmic Society and the international Ophthalmic community and to provide opportunities for free exchange of ideas and information. To serve as a valuable resource for ophthalmologists, eye-care providers including optometrists, orthoptists, other health care professionals and research workers in all aspects of the field of visual science.
×
引用
GB/T 7714-2015
复制
MLA
复制
APA
复制
导出至
BibTeX EndNote RefMan NoteFirst NoteExpress
×
提示
您的信息不完整,为了账户安全,请先补充。
现在去补充
×
提示
您因"违规操作"
具体请查看互助需知
我知道了
×
提示
确定
请完成安全验证×
copy
已复制链接
快去分享给好友吧!
我知道了
右上角分享
点击右上角分享
0
联系我们:info@booksci.cn Book学术提供免费学术资源搜索服务,方便国内外学者检索中英文文献。致力于提供最便捷和优质的服务体验。 Copyright © 2023 布克学术 All rights reserved.
京ICP备2023020795号-1
ghs 京公网安备 11010802042870号
Book学术文献互助
Book学术文献互助群
群 号:604180095
Book学术官方微信