Anterior segment optical coherence tomography: A monitoring tool in anterior scleritis.

Q3 Medicine
Oman Journal of Ophthalmology Pub Date : 2025-06-24 eCollection Date: 2025-05-01 DOI:10.4103/ojo.ojo_376_24
Saloni Desai, Jyotirmay Biswas, Sudha K Ganesh, Darshan Bhatt
{"title":"Anterior segment optical coherence tomography: A monitoring tool in anterior scleritis.","authors":"Saloni Desai, Jyotirmay Biswas, Sudha K Ganesh, Darshan Bhatt","doi":"10.4103/ojo.ojo_376_24","DOIUrl":null,"url":null,"abstract":"<p><strong>Purpose: </strong>The purpose of this study was to evaluate the role of anterior segment optical coherence tomography (ASOCT) in the diagnosis and management of anterior scleritis.</p><p><strong>Patients and methods: </strong>In this retrospective study, we examined 58 eyes of 44 patients with anterior scleritis. The unaffected eye served as a control. In bilateral cases, the less affected eye was taken as the control. ASOCT image over the inflamed area and over the corresponding same area in the control eye was taken. The images were analysed for the presence or absence of hyporeflective areas, and the mean total scleral thickness (MTST) was measured. Both the images were then compared.</p><p><strong>Results: </strong>The mean age of our cohort was 51 ± 14.57 years. There were 14 males and 30 females. 68.18% (<i>n</i> = 30) were unilateral cases. The mean duration of anterior scleritis was 55.3 months, with 50% (<i>n</i> = 22) of patients having diffuse anterior scleritis. The majority of patients were treated with oral steroids (97.7%, <i>n</i> = 43) with or without the combination of immunosuppressant and biologics. The MTST during active disease (922.17 μm ± 252.03 μm) was statistically higher than the control group (798.05 μm ± 150.61 μm) (<i>P</i> = 0.005). The MTST in unilateral cases during active disease was 929.88 μm, which was significantly higher than in the control eyes (801.65 μm) (<i>P</i> = 0.02). There were 31 recurrent cases, of which 41.9% (<i>n</i> = 13) showed scleral thinning, and the mean scleral thinning in recurrent cases after treatment was 86.71 μm.</p><p><strong>Conclusion: </strong>ASOCT serves as a useful qualitative and quantitative tool for monitoring of patients with anterior scleritis under treatment.</p>","PeriodicalId":19461,"journal":{"name":"Oman Journal of Ophthalmology","volume":"18 2","pages":"155-161"},"PeriodicalIF":0.0000,"publicationDate":"2025-06-24","publicationTypes":"Journal Article","fieldsOfStudy":null,"isOpenAccess":false,"openAccessPdf":"https://www.ncbi.nlm.nih.gov/pmc/articles/PMC12258829/pdf/","citationCount":"0","resultStr":null,"platform":"Semanticscholar","paperid":null,"PeriodicalName":"Oman Journal of Ophthalmology","FirstCategoryId":"1085","ListUrlMain":"https://doi.org/10.4103/ojo.ojo_376_24","RegionNum":0,"RegionCategory":null,"ArticlePicture":[],"TitleCN":null,"AbstractTextCN":null,"PMCID":null,"EPubDate":"2025/5/1 0:00:00","PubModel":"eCollection","JCR":"Q3","JCRName":"Medicine","Score":null,"Total":0}
引用次数: 0

Abstract

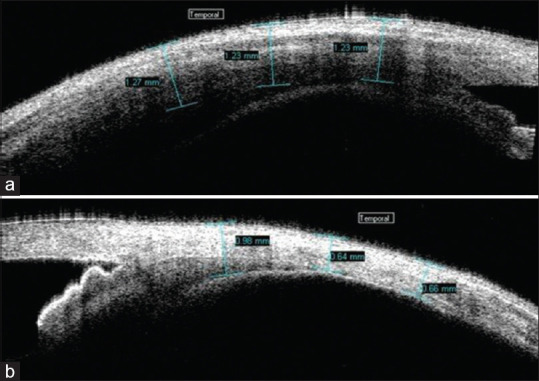
Purpose: The purpose of this study was to evaluate the role of anterior segment optical coherence tomography (ASOCT) in the diagnosis and management of anterior scleritis.

Patients and methods: In this retrospective study, we examined 58 eyes of 44 patients with anterior scleritis. The unaffected eye served as a control. In bilateral cases, the less affected eye was taken as the control. ASOCT image over the inflamed area and over the corresponding same area in the control eye was taken. The images were analysed for the presence or absence of hyporeflective areas, and the mean total scleral thickness (MTST) was measured. Both the images were then compared.

Results: The mean age of our cohort was 51 ± 14.57 years. There were 14 males and 30 females. 68.18% (n = 30) were unilateral cases. The mean duration of anterior scleritis was 55.3 months, with 50% (n = 22) of patients having diffuse anterior scleritis. The majority of patients were treated with oral steroids (97.7%, n = 43) with or without the combination of immunosuppressant and biologics. The MTST during active disease (922.17 μm ± 252.03 μm) was statistically higher than the control group (798.05 μm ± 150.61 μm) (P = 0.005). The MTST in unilateral cases during active disease was 929.88 μm, which was significantly higher than in the control eyes (801.65 μm) (P = 0.02). There were 31 recurrent cases, of which 41.9% (n = 13) showed scleral thinning, and the mean scleral thinning in recurrent cases after treatment was 86.71 μm.

Conclusion: ASOCT serves as a useful qualitative and quantitative tool for monitoring of patients with anterior scleritis under treatment.

Abstract Image

Abstract Image

Abstract Image

前段光学相干断层扫描:前巩膜炎的监测工具。
目的:本研究的目的是评估前段光学相干断层扫描(ASOCT)在前巩膜炎的诊断和治疗中的作用。患者和方法:在本回顾性研究中,我们检查了44例58只眼的前巩膜炎。未受影响的眼睛作为对照。双侧病例以受影响较小的眼为对照。在炎症区域和对照眼相应的相同区域上拍摄ASOCT图像。分析图像是否存在低反射区,并测量平均总巩膜厚度(MTST)。然后对两幅图像进行比较。结果:我们队列的平均年龄为51±14.57岁。其中男性14人,女性30人。68.18% (n = 30)为单侧病例。前巩膜炎的平均持续时间为55.3个月,其中50% (n = 22)的患者为弥漫性前巩膜炎。大多数患者接受口服类固醇治疗(97.7%,n = 43),联合或不联合免疫抑制剂和生物制剂。活动期MTST (922.17 μm±252.03 μm)高于对照组(798.05 μm±150.61 μm) (P = 0.005)。单侧患者活动性眼MTST为929.88 μm,显著高于对照组(801.65 μm) (P = 0.02)。复发31例,其中41.9% (n = 13)表现为巩膜变薄,治疗后复发患者巩膜变薄平均为86.71 μm。结论:ASOCT是一种有效的前巩膜炎治疗患者的定性和定量监测工具。
本文章由计算机程序翻译,如有差异,请以英文原文为准。
求助全文
约1分钟内获得全文 求助全文
来源期刊
Oman Journal of Ophthalmology
Oman Journal of Ophthalmology Medicine-Ophthalmology
CiteScore
0.50
自引率
0.00%
发文量
68
审稿时长
50 weeks
期刊介绍: To provide a platform for scientific expression of the Oman Ophthalmic Society and the international Ophthalmic community and to provide opportunities for free exchange of ideas and information. To serve as a valuable resource for ophthalmologists, eye-care providers including optometrists, orthoptists, other health care professionals and research workers in all aspects of the field of visual science.
×
引用
GB/T 7714-2015
复制
MLA
复制
APA
复制
导出至
BibTeX EndNote RefMan NoteFirst NoteExpress
×
提示
您的信息不完整,为了账户安全,请先补充。
现在去补充
×
提示
您因"违规操作"
具体请查看互助需知
我知道了
×
提示
确定
请完成安全验证×
copy
已复制链接
快去分享给好友吧!
我知道了
右上角分享
点击右上角分享
0
联系我们:info@booksci.cn Book学术提供免费学术资源搜索服务,方便国内外学者检索中英文文献。致力于提供最便捷和优质的服务体验。 Copyright © 2023 布克学术 All rights reserved.
京ICP备2023020795号-1
ghs 京公网安备 11010802042870号
Book学术文献互助
Book学术文献互助群
群 号:604180095
Book学术官方微信