A rare case of precursor B-cell lymphoblastic lymphoma of the orbit in a child.

Q3 Medicine
Oman Journal of Ophthalmology Pub Date : 2025-06-24 eCollection Date: 2025-05-01 DOI:10.4103/ojo.ojo_346_24
Ruhi Girish Jange, Kirthi Koka, Subramanian Krishnakumar, Dhaarani Jayaraman, Julius Xavier Scott, Bipasha Mukherjee
{"title":"A rare case of precursor B-cell lymphoblastic lymphoma of the orbit in a child.","authors":"Ruhi Girish Jange, Kirthi Koka, Subramanian Krishnakumar, Dhaarani Jayaraman, Julius Xavier Scott, Bipasha Mukherjee","doi":"10.4103/ojo.ojo_346_24","DOIUrl":null,"url":null,"abstract":"<p><p>A 5-year-old boy presented with gradually progressive painful proptosis of the left eye for 5 months. He had an incidental testicular swelling for which he underwent high inguinal orchidectomy and histopathology showed atypical lymphoid cells. His vision was 6/6, N6 in the right eye, and no perception of light in the left eye. Left eye examination revealed an inferior dystopia and total ophthalmoplegia with corneal exposure changes. A computerized tomography scan showed an isodense mass molding around the globe. An incision biopsy from the subconjunctival mass showed atypical large lymphocytes on histopathology which on immunohistochemistry confirmed a diagnosis of precursor B-cell lymphoblastic lymphoma (B-LBL). Bone marrow aspiration and biopsy were normal. The patient was started on oral steroids and high-risk acute LBL chemotherapy protocol to which he showed excellent response. Precursor B-LBL is a rare neoplasm of the pediatric and adolescent age group. A total of 22 cases involving the orbit have been reported to date of which 17 belonged to the pediatric age group. Early detection and prompt initiation of multiagent chemotherapy have shown good survival rates in these patients.</p>","PeriodicalId":19461,"journal":{"name":"Oman Journal of Ophthalmology","volume":"18 2","pages":"212-215"},"PeriodicalIF":0.0000,"publicationDate":"2025-06-24","publicationTypes":"Journal Article","fieldsOfStudy":null,"isOpenAccess":false,"openAccessPdf":"https://www.ncbi.nlm.nih.gov/pmc/articles/PMC12258821/pdf/","citationCount":"0","resultStr":null,"platform":"Semanticscholar","paperid":null,"PeriodicalName":"Oman Journal of Ophthalmology","FirstCategoryId":"1085","ListUrlMain":"https://doi.org/10.4103/ojo.ojo_346_24","RegionNum":0,"RegionCategory":null,"ArticlePicture":[],"TitleCN":null,"AbstractTextCN":null,"PMCID":null,"EPubDate":"2025/5/1 0:00:00","PubModel":"eCollection","JCR":"Q3","JCRName":"Medicine","Score":null,"Total":0}
引用次数: 0

Abstract

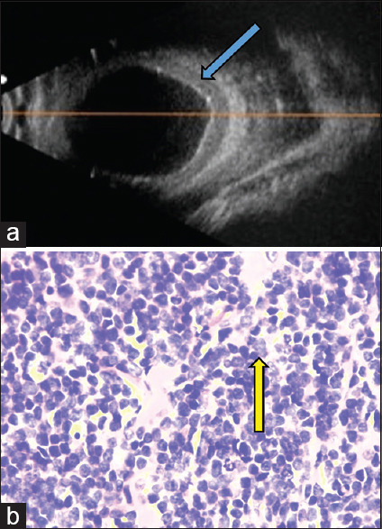
A 5-year-old boy presented with gradually progressive painful proptosis of the left eye for 5 months. He had an incidental testicular swelling for which he underwent high inguinal orchidectomy and histopathology showed atypical lymphoid cells. His vision was 6/6, N6 in the right eye, and no perception of light in the left eye. Left eye examination revealed an inferior dystopia and total ophthalmoplegia with corneal exposure changes. A computerized tomography scan showed an isodense mass molding around the globe. An incision biopsy from the subconjunctival mass showed atypical large lymphocytes on histopathology which on immunohistochemistry confirmed a diagnosis of precursor B-cell lymphoblastic lymphoma (B-LBL). Bone marrow aspiration and biopsy were normal. The patient was started on oral steroids and high-risk acute LBL chemotherapy protocol to which he showed excellent response. Precursor B-LBL is a rare neoplasm of the pediatric and adolescent age group. A total of 22 cases involving the orbit have been reported to date of which 17 belonged to the pediatric age group. Early detection and prompt initiation of multiagent chemotherapy have shown good survival rates in these patients.

Abstract Image

Abstract Image

Abstract Image

一例罕见的儿童眼眶前体b细胞淋巴母细胞淋巴瘤。
一个5岁的男孩表现为逐渐进行性左眼突出疼痛5个月。他有偶发性睾丸肿胀,他接受了高腹股沟睾丸切除术,组织病理学显示非典型淋巴样细胞。他的视力为6/6,右眼为N6,左眼没有光的感觉。左眼检查发现下斜视和全眼麻痹,角膜暴露改变。计算机断层扫描显示,一个等密度的物质在全球范围内形成。结膜下肿块的切口活检在组织病理学上显示非典型的大淋巴细胞,免疫组织化学证实了前体b细胞淋巴母细胞淋巴瘤(B-LBL)的诊断。骨髓穿刺和活检正常。患者开始口服类固醇和高风险急性LBL化疗方案,他表现出良好的反应。前体B-LBL是一种罕见的肿瘤在儿童和青少年年龄组。迄今为止,共报告了22例涉及眼眶的病例,其中17例属于儿科年龄组。早期发现和及时开始多药化疗在这些患者中显示出良好的生存率。
本文章由计算机程序翻译,如有差异,请以英文原文为准。
求助全文
约1分钟内获得全文 求助全文
来源期刊
Oman Journal of Ophthalmology
Oman Journal of Ophthalmology Medicine-Ophthalmology
CiteScore
0.50
自引率
0.00%
发文量
68
审稿时长
50 weeks
期刊介绍: To provide a platform for scientific expression of the Oman Ophthalmic Society and the international Ophthalmic community and to provide opportunities for free exchange of ideas and information. To serve as a valuable resource for ophthalmologists, eye-care providers including optometrists, orthoptists, other health care professionals and research workers in all aspects of the field of visual science.
×
引用
GB/T 7714-2015
复制
MLA
复制
APA
复制
导出至
BibTeX EndNote RefMan NoteFirst NoteExpress
×
提示
您的信息不完整,为了账户安全,请先补充。
现在去补充
×
提示
您因"违规操作"
具体请查看互助需知
我知道了
×
提示
确定
请完成安全验证×
copy
已复制链接
快去分享给好友吧!
我知道了
右上角分享
点击右上角分享
0
联系我们:info@booksci.cn Book学术提供免费学术资源搜索服务,方便国内外学者检索中英文文献。致力于提供最便捷和优质的服务体验。 Copyright © 2023 布克学术 All rights reserved.
京ICP备2023020795号-1
ghs 京公网安备 11010802042870号
Book学术文献互助
Book学术文献互助群
群 号:604180095
Book学术官方微信