Clinical characterization, natural history, and neuroimaging of cerebellar ataxia after abdominal surgery.

IF 1.6 4区 医学 Q4 NEUROSCIENCES
Arquivos de neuro-psiquiatria Pub Date : 2025-07-01 Epub Date: 2025-07-15 DOI:10.1055/s-0045-1809934
Victor Rebelo Procaci, Thiago Yoshinaga Tonholo Silva, Raphael Pinheiro Camurugy da Hora, Orlando Graziani Povoas Barsottini, José Luiz Pedroso
{"title":"Clinical characterization, natural history, and neuroimaging of cerebellar ataxia after abdominal surgery.","authors":"Victor Rebelo Procaci, Thiago Yoshinaga Tonholo Silva, Raphael Pinheiro Camurugy da Hora, Orlando Graziani Povoas Barsottini, José Luiz Pedroso","doi":"10.1055/s-0045-1809934","DOIUrl":null,"url":null,"abstract":"<p><p>The rates of complications after major abdominal surgeries remain high, despite the advances in pre- and postoperative care and surgical techniques. In these cases, neurological disorders mainly include stroke and delirium, with a high increase of morbidity. Ataxia is rarely a consequence of abdominal procedures like, more often being related to long-term complications of bariatric surgery due to chronic vitamin deficiency.To describe seven cases of ataxia following major abdominal surgeries and propose a prophylactic approach.A retrospective case series in which medical records of patients from the Ataxia Unit of Universidade Federal de São Paulo were evaluated from January 2007 to August 2024. We identified seven patients who developed acute cerebellar ataxia after gastrointestinal surgery. Demographic, clinical, laboratory, neuroimaging, and treatment data were extracted. Descriptive statistics was used to summarize findings.There were two cases that evolved with neurological improvement, and five remained with severe cerebellar ataxia. Brain imaging showed cerebellar atrophy in three patients and signs of Wernicke encephalopathy in two.This case series describes an unusual form of acute ataxia with poor outcomes, possibly related to complications from major abdominal surgery. Early intervention and prophylactic supplementation with vitamins B1 and B12 in patients receiving TPN should be considered to avoid such severe neurological complications.</p>","PeriodicalId":8694,"journal":{"name":"Arquivos de neuro-psiquiatria","volume":"83 7","pages":"1-6"},"PeriodicalIF":1.6000,"publicationDate":"2025-07-01","publicationTypes":"Journal Article","fieldsOfStudy":null,"isOpenAccess":false,"openAccessPdf":"https://www.ncbi.nlm.nih.gov/pmc/articles/PMC12263291/pdf/","citationCount":"0","resultStr":null,"platform":"Semanticscholar","paperid":null,"PeriodicalName":"Arquivos de neuro-psiquiatria","FirstCategoryId":"3","ListUrlMain":"https://doi.org/10.1055/s-0045-1809934","RegionNum":4,"RegionCategory":"医学","ArticlePicture":[],"TitleCN":null,"AbstractTextCN":null,"PMCID":null,"EPubDate":"2025/7/15 0:00:00","PubModel":"Epub","JCR":"Q4","JCRName":"NEUROSCIENCES","Score":null,"Total":0}
引用次数: 0

Abstract

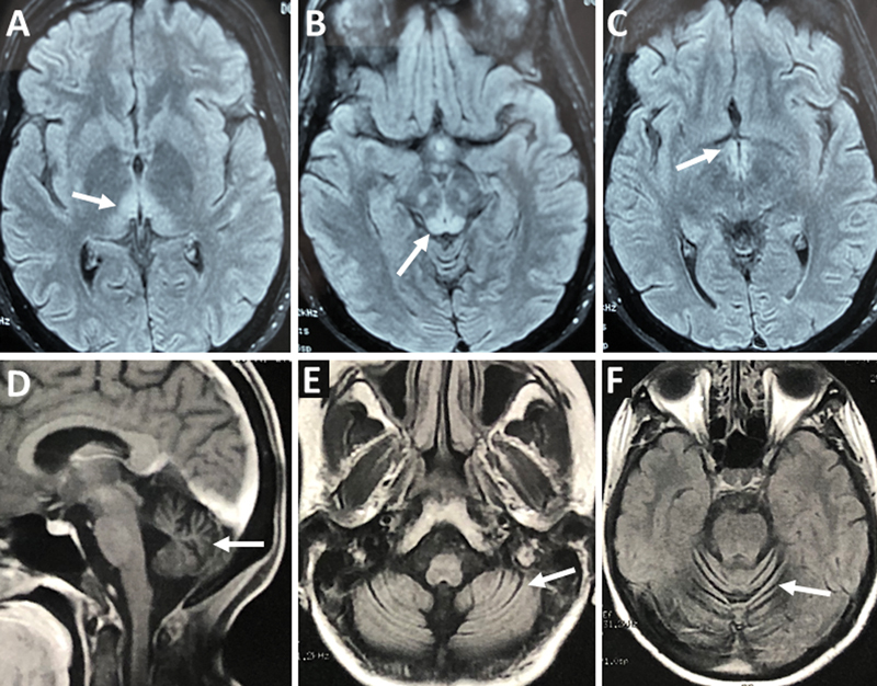
The rates of complications after major abdominal surgeries remain high, despite the advances in pre- and postoperative care and surgical techniques. In these cases, neurological disorders mainly include stroke and delirium, with a high increase of morbidity. Ataxia is rarely a consequence of abdominal procedures like, more often being related to long-term complications of bariatric surgery due to chronic vitamin deficiency.To describe seven cases of ataxia following major abdominal surgeries and propose a prophylactic approach.A retrospective case series in which medical records of patients from the Ataxia Unit of Universidade Federal de São Paulo were evaluated from January 2007 to August 2024. We identified seven patients who developed acute cerebellar ataxia after gastrointestinal surgery. Demographic, clinical, laboratory, neuroimaging, and treatment data were extracted. Descriptive statistics was used to summarize findings.There were two cases that evolved with neurological improvement, and five remained with severe cerebellar ataxia. Brain imaging showed cerebellar atrophy in three patients and signs of Wernicke encephalopathy in two.This case series describes an unusual form of acute ataxia with poor outcomes, possibly related to complications from major abdominal surgery. Early intervention and prophylactic supplementation with vitamins B1 and B12 in patients receiving TPN should be considered to avoid such severe neurological complications.

Abstract Image

腹部手术后小脑性共济失调的临床特征、自然病史和神经影像学。
尽管在术前和术后护理和手术技术方面取得了进展,但腹部大手术后并发症的发生率仍然很高。在这些病例中,神经系统疾病主要包括中风和谵妄,发病率高。共济失调很少是腹部手术的结果,更多的是由于慢性维生素缺乏引起的减肥手术的长期并发症。描述7例腹部大手术后共济失调的病例,并提出预防措施。回顾性分析了2007年1月至2024年8月期间圣保罗联邦大学共济失调科患者的病历。我们确定了7例胃肠道手术后发生急性小脑性共济失调的患者。提取了人口统计学、临床、实验室、神经影像学和治疗数据。描述性统计用于总结研究结果。2例神经系统改善,5例伴有严重小脑性共济失调。脑成像显示3例患者小脑萎缩,2例患者有韦尼克脑病征象。本病例系列描述了一种不寻常的急性共济失调,预后不良,可能与腹部大手术的并发症有关。接受TPN的患者应考虑早期干预和预防性补充维生素B1和B12,以避免此类严重的神经系统并发症。
本文章由计算机程序翻译,如有差异,请以英文原文为准。
求助全文
约1分钟内获得全文 求助全文
来源期刊
Arquivos de neuro-psiquiatria
Arquivos de neuro-psiquiatria 医学-精神病学
CiteScore
2.10
自引率
7.10%
发文量
262
审稿时长
4-8 weeks
期刊介绍: Arquivos de Neuro-Psiquiatria is the official journal of the Brazilian Academy of Neurology. The mission of the journal is to provide neurologists, specialists and researchers in Neurology and related fields with open access to original articles (clinical and translational research), editorials, reviews, historical papers, neuroimages and letters about published manuscripts. It also publishes the consensus and guidelines on Neurology, as well as educational and scientific material from the different scientific departments of the Brazilian Academy of Neurology. The ultimate goals of the journal are to contribute to advance knowledge in the areas of Neurology and Neuroscience, and to provide valuable material for training and continuing education for neurologists and other health professionals working in the area. These goals might contribute to improving care for patients with neurological diseases. We aim to be the best Neuroscience journal in Latin America within the peer review system.
×
引用
GB/T 7714-2015
复制
MLA
复制
APA
复制
导出至
BibTeX EndNote RefMan NoteFirst NoteExpress
×
提示
您的信息不完整,为了账户安全,请先补充。
现在去补充
×
提示
您因"违规操作"
具体请查看互助需知
我知道了
×
提示
确定
请完成安全验证×
copy
已复制链接
快去分享给好友吧!
我知道了
右上角分享
点击右上角分享
0
联系我们:info@booksci.cn Book学术提供免费学术资源搜索服务,方便国内外学者检索中英文文献。致力于提供最便捷和优质的服务体验。 Copyright © 2023 布克学术 All rights reserved.
京ICP备2023020795号-1
ghs 京公网安备 11010802042870号
Book学术文献互助
Book学术文献互助群
群 号:604180095
Book学术官方微信