Rituximab and Pirfenidone in the Treatment of Steroid-Refractory Bleomycin Lung Injury.

IF 0.8 Q4 RESPIRATORY SYSTEM
Respirology Case Reports Pub Date : 2025-07-14 eCollection Date: 2025-07-01 DOI:10.1002/rcr2.70228
Aasir M Suliman, Irfan Ul Haq, Khalid Albsheer, Mohamed Elgara
{"title":"Rituximab and Pirfenidone in the Treatment of Steroid-Refractory Bleomycin Lung Injury.","authors":"Aasir M Suliman, Irfan Ul Haq, Khalid Albsheer, Mohamed Elgara","doi":"10.1002/rcr2.70228","DOIUrl":null,"url":null,"abstract":"<p><p>Bleomycin-induced lung injury (BILI) is a well-recognised but potentially life-threatening complication of ABVD chemotherapy (adriamycin, bleomycin, vinblastine and dacarbazine), often requiring prompt diagnosis and intervention. We present a case of a 43-year-old female with Hodgkin's lymphoma who developed progressive respiratory symptoms following her fourth cycle of ABVD. A broad infectious and autoimmune workup was unremarkable, and chest imaging was consistent with interstitial lung disease. Her condition deteriorated despite empirical antibiotics and high-dose corticosteroids. The addition of rituximab and pirfenidone led to significant clinical and radiological improvement, highlighting the potential role of these agents in managing steroid-refractory BILI.</p>","PeriodicalId":45846,"journal":{"name":"Respirology Case Reports","volume":"13 7","pages":"e70228"},"PeriodicalIF":0.8000,"publicationDate":"2025-07-14","publicationTypes":"Journal Article","fieldsOfStudy":null,"isOpenAccess":false,"openAccessPdf":"https://www.ncbi.nlm.nih.gov/pmc/articles/PMC12256979/pdf/","citationCount":"0","resultStr":null,"platform":"Semanticscholar","paperid":null,"PeriodicalName":"Respirology Case Reports","FirstCategoryId":"1085","ListUrlMain":"https://doi.org/10.1002/rcr2.70228","RegionNum":0,"RegionCategory":null,"ArticlePicture":[],"TitleCN":null,"AbstractTextCN":null,"PMCID":null,"EPubDate":"2025/7/1 0:00:00","PubModel":"eCollection","JCR":"Q4","JCRName":"RESPIRATORY SYSTEM","Score":null,"Total":0}
引用次数: 0

Abstract

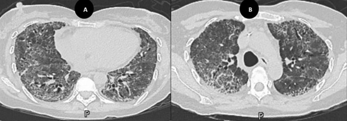
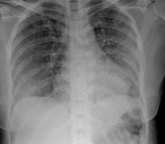
Bleomycin-induced lung injury (BILI) is a well-recognised but potentially life-threatening complication of ABVD chemotherapy (adriamycin, bleomycin, vinblastine and dacarbazine), often requiring prompt diagnosis and intervention. We present a case of a 43-year-old female with Hodgkin's lymphoma who developed progressive respiratory symptoms following her fourth cycle of ABVD. A broad infectious and autoimmune workup was unremarkable, and chest imaging was consistent with interstitial lung disease. Her condition deteriorated despite empirical antibiotics and high-dose corticosteroids. The addition of rituximab and pirfenidone led to significant clinical and radiological improvement, highlighting the potential role of these agents in managing steroid-refractory BILI.

Abstract Image

Abstract Image

Abstract Image

利妥昔单抗与吡非尼酮治疗类固醇难治性博来霉素肺损伤。
博莱霉素诱导的肺损伤(BILI)是ABVD化疗(阿霉素、博莱霉素、长春碱和达卡巴嗪)的一种公认但可能危及生命的并发症,通常需要及时诊断和干预。我们报告了一例43岁女性霍奇金淋巴瘤患者,她在ABVD的第四个周期后出现了进行性呼吸道症状。广泛的感染和自身免疫检查无显著差异,胸部影像学与间质性肺疾病一致。尽管使用了经验性抗生素和大剂量皮质类固醇,她的病情仍在恶化。利妥昔单抗和吡非尼酮的加入导致了显著的临床和放射学改善,突出了这些药物在治疗类固醇难治性胆管炎中的潜在作用。
本文章由计算机程序翻译,如有差异,请以英文原文为准。
求助全文
约1分钟内获得全文 求助全文
来源期刊
Respirology Case Reports
Respirology Case Reports RESPIRATORY SYSTEM-
CiteScore
1.40
自引率
0.00%
发文量
178
审稿时长
8 weeks
期刊介绍: Respirology Case Reports is an open-access online journal dedicated to the publication of original clinical case reports, case series, clinical images and clinical videos in all fields of respiratory medicine. The Journal encourages the international exchange between clinicians and researchers of experiences in diagnosing and treating uncommon diseases or diseases with unusual presentations. All manuscripts are peer-reviewed through a streamlined process that aims at providing a rapid turnaround time from submission to publication.
×
引用
GB/T 7714-2015
复制
MLA
复制
APA
复制
导出至
BibTeX EndNote RefMan NoteFirst NoteExpress
×
提示
您的信息不完整,为了账户安全,请先补充。
现在去补充
×
提示
您因"违规操作"
具体请查看互助需知
我知道了
×
提示
确定
请完成安全验证×
copy
已复制链接
快去分享给好友吧!
我知道了
右上角分享
点击右上角分享
0
联系我们:info@booksci.cn Book学术提供免费学术资源搜索服务,方便国内外学者检索中英文文献。致力于提供最便捷和优质的服务体验。 Copyright © 2023 布克学术 All rights reserved.
京ICP备2023020795号-1
ghs 京公网安备 11010802042870号
Book学术文献互助
Book学术文献互助群
群 号:604180095
Book学术官方微信