POCUS-CRAFT: a novel integrated ultrasound trauma protocol.

IF 1.5 Q3 RADIOLOGY, NUCLEAR MEDICINE & MEDICAL IMAGING
Journal of Ultrasonography Pub Date : 2025-06-30 eCollection Date: 2025-04-01 DOI:10.15557/jou.2025.0018
Jakub Czerwiec, Dorota Sobczyk
{"title":"POCUS-CRAFT: a novel integrated ultrasound trauma protocol.","authors":"Jakub Czerwiec, Dorota Sobczyk","doi":"10.15557/jou.2025.0018","DOIUrl":null,"url":null,"abstract":"<p><strong>Aim: </strong>The purpose of the study was to create an ultrasound protocol dedicated to patients with multiorgan trauma.</p><p><strong>Material and methods: </strong>The authors aimed to develop an ultrasound protocol dedicated to patients with multiorgan trauma based on the following: Advanced Trauma Life Support management (ABCDE protocol), available ultrasound protocols for trauma patients, known point-of-care cardiac protocols, and the authors' experience. The indications for the test and the technical requirements necessary for its proper execution are also specified, and the technique of performing the CRAFT test is described.</p><p><strong>Results: </strong>POCUS-CRAFT represents five components of trauma patient evaluation. C (Cranium): Transcranial Doppler or transorbital ultrasound to assess for elevated intracranial pressure; R (Respiratory): Evaluation of the chest for pneumothorax and pleural hematoma; A (Abdomen): Evaluation of the peritoneal and pelvic cavity for free fluid; F (Cardiac Function): Diagnosis of pericardial tamponade and assessment of left ventricular systolic function; T (Trauma Integration): Integration of ultrasound findings with a complete physical examination of the trauma patient, with emphasis on the clinical context.</p><p><strong>Conclusions: </strong>POCUS CRAFT is an integrated ultrasound protocol designed for trauma patients. It expands upon the eFAST protocol by adding components for neurological and functional myocardial evaluation. Currently, CRAFT is the only point-of-care protocol that incorporates trauma-related sequelae that can be detected by ultrasound while highlighting the importance of clinical context.</p>","PeriodicalId":45612,"journal":{"name":"Journal of Ultrasonography","volume":"25 101","pages":"20250018"},"PeriodicalIF":1.5000,"publicationDate":"2025-06-30","publicationTypes":"Journal Article","fieldsOfStudy":null,"isOpenAccess":false,"openAccessPdf":"https://www.ncbi.nlm.nih.gov/pmc/articles/PMC12255479/pdf/","citationCount":"0","resultStr":null,"platform":"Semanticscholar","paperid":null,"PeriodicalName":"Journal of Ultrasonography","FirstCategoryId":"1085","ListUrlMain":"https://doi.org/10.15557/jou.2025.0018","RegionNum":0,"RegionCategory":null,"ArticlePicture":[],"TitleCN":null,"AbstractTextCN":null,"PMCID":null,"EPubDate":"2025/4/1 0:00:00","PubModel":"eCollection","JCR":"Q3","JCRName":"RADIOLOGY, NUCLEAR MEDICINE & MEDICAL IMAGING","Score":null,"Total":0}
引用次数: 0

Abstract

Aim: The purpose of the study was to create an ultrasound protocol dedicated to patients with multiorgan trauma.

Material and methods: The authors aimed to develop an ultrasound protocol dedicated to patients with multiorgan trauma based on the following: Advanced Trauma Life Support management (ABCDE protocol), available ultrasound protocols for trauma patients, known point-of-care cardiac protocols, and the authors' experience. The indications for the test and the technical requirements necessary for its proper execution are also specified, and the technique of performing the CRAFT test is described.

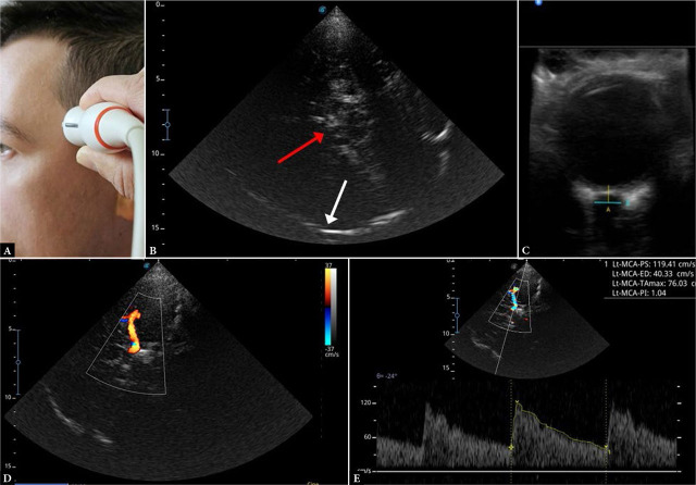
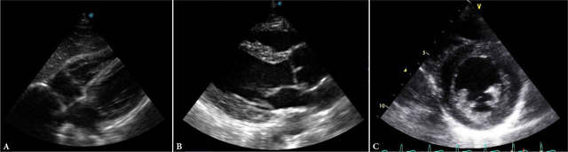
Results: POCUS-CRAFT represents five components of trauma patient evaluation. C (Cranium): Transcranial Doppler or transorbital ultrasound to assess for elevated intracranial pressure; R (Respiratory): Evaluation of the chest for pneumothorax and pleural hematoma; A (Abdomen): Evaluation of the peritoneal and pelvic cavity for free fluid; F (Cardiac Function): Diagnosis of pericardial tamponade and assessment of left ventricular systolic function; T (Trauma Integration): Integration of ultrasound findings with a complete physical examination of the trauma patient, with emphasis on the clinical context.

Conclusions: POCUS CRAFT is an integrated ultrasound protocol designed for trauma patients. It expands upon the eFAST protocol by adding components for neurological and functional myocardial evaluation. Currently, CRAFT is the only point-of-care protocol that incorporates trauma-related sequelae that can be detected by ultrasound while highlighting the importance of clinical context.

Abstract Image

Abstract Image

Abstract Image

POCUS-CRAFT:一种新的综合超声创伤方案。
目的:本研究的目的是为多器官创伤患者建立一种专用的超声治疗方案。材料和方法:作者的目标是根据以下内容制定一个专门针对多器官创伤患者的超声方案:高级创伤生命支持管理(ABCDE方案),创伤患者可用的超声方案,已知的护理点心脏方案,以及作者的经验。还规定了测试的指示和正确执行所必需的技术要求,并描述了进行CRAFT测试的技术。结果:POCUS-CRAFT代表了创伤患者评估的五个组成部分。C(颅骨):经颅多普勒或经眶超声评估颅内压升高;R(呼吸科):胸部气胸和胸膜血肿的评估;A(腹部):评估腹膜和盆腔的游离液;F(心功能):心包填塞诊断及左心室收缩功能评估;T(创伤整合):将超声结果与创伤患者的完整体格检查结合起来,强调临床背景。结论:POCUS CRAFT是一种为创伤患者设计的综合超声方案。它扩展了eFAST协议,增加了神经和功能心肌评估的组件。目前,CRAFT是唯一一种结合了创伤相关后遗症的护理点方案,可以通过超声检测,同时强调临床背景的重要性。
本文章由计算机程序翻译,如有差异,请以英文原文为准。
求助全文
约1分钟内获得全文 求助全文
来源期刊
Journal of Ultrasonography
Journal of Ultrasonography RADIOLOGY, NUCLEAR MEDICINE & MEDICAL IMAGING-
CiteScore
2.30
自引率
0.00%
发文量
58
审稿时长
20 weeks
×
引用
GB/T 7714-2015
复制
MLA
复制
APA
复制
导出至
BibTeX EndNote RefMan NoteFirst NoteExpress
×
提示
您的信息不完整,为了账户安全,请先补充。
现在去补充
×
提示
您因"违规操作"
具体请查看互助需知
我知道了
×
提示
确定
请完成安全验证×
copy
已复制链接
快去分享给好友吧!
我知道了
右上角分享
点击右上角分享
0
联系我们:info@booksci.cn Book学术提供免费学术资源搜索服务,方便国内外学者检索中英文文献。致力于提供最便捷和优质的服务体验。 Copyright © 2023 布克学术 All rights reserved.
京ICP备2023020795号-1
ghs 京公网安备 11010802042870号
Book学术文献互助
Book学术文献互助群
群 号:604180095
Book学术官方微信