A Rare Primary Pituitary Abscess Caused by Cutibacterium Acnes.

IF 0.7 Q4 CLINICAL NEUROLOGY
Journal of Neurological Surgery Reports Pub Date : 2025-07-12 eCollection Date: 2025-07-01 DOI:10.1055/a-2641-6415
Chi-Man Yip
{"title":"A Rare Primary Pituitary Abscess Caused by Cutibacterium Acnes.","authors":"Chi-Man Yip","doi":"10.1055/a-2641-6415","DOIUrl":null,"url":null,"abstract":"<p><strong>Introduction: </strong>Pituitary abscess is a rare but potentially life-threatening condition with an incidence of 0.2 to 1.1% of operative pituitary lesions. Preoperative diagnosis is difficult because it shares many similarities with other pituitary lesions in terms of signs and symptoms and radiographic findings. The author would like to share a case of primary pituitary abscess due to Cutibacterium acnes infection, which is probably the first case reported in an adult patient.</p><p><strong>Case presentation: </strong>A 60-year-old woman with having medical history of diabetes mellitus who suffered from severe headache, fever, chillness, and vomiting in January 2024. She had been admitted to the Infectious Diseases Department; however, no definite infection source was found, but hypopituitarism was detected. Her brain magnetic resonance imaging (MRI) showed a rim-like enhanced sellar lesion with suprasellar extension. She underwent an endoscopic endonasal transsphenoidal approach with the removal of the lesion and skull base reconstruction. During the surgery, pus-like material and some solid tissue, which was yellowish white in color, were found. The culture of the pus revealed the growth of Cutibacterium acnes, and the histological report of the solid tissue proved nonneoplastic pituitary gland tissue, admixed with fibrous tissue and marked chronic inflammation. She recovered well after surgery and completed antibiotic treatment.</p><p><strong>Conclusion: </strong>Preoperative diagnosis of pituitary abscess is difficult. The majority of pituitary abscesses are diagnosed during the operation or postoperatively. Prompt diagnosis and treatment of pituitary abscess yield a favorable prognosis. The mainstay of treatment is transsphenoidal surgical resection in combination with antibiotic therapy.</p>","PeriodicalId":44256,"journal":{"name":"Journal of Neurological Surgery Reports","volume":"86 3","pages":"e136-e139"},"PeriodicalIF":0.7000,"publicationDate":"2025-07-12","publicationTypes":"Journal Article","fieldsOfStudy":null,"isOpenAccess":false,"openAccessPdf":"https://www.ncbi.nlm.nih.gov/pmc/articles/PMC12255486/pdf/","citationCount":"0","resultStr":null,"platform":"Semanticscholar","paperid":null,"PeriodicalName":"Journal of Neurological Surgery Reports","FirstCategoryId":"1085","ListUrlMain":"https://doi.org/10.1055/a-2641-6415","RegionNum":0,"RegionCategory":null,"ArticlePicture":[],"TitleCN":null,"AbstractTextCN":null,"PMCID":null,"EPubDate":"2025/7/1 0:00:00","PubModel":"eCollection","JCR":"Q4","JCRName":"CLINICAL NEUROLOGY","Score":null,"Total":0}
引用次数: 0

Abstract

Introduction: Pituitary abscess is a rare but potentially life-threatening condition with an incidence of 0.2 to 1.1% of operative pituitary lesions. Preoperative diagnosis is difficult because it shares many similarities with other pituitary lesions in terms of signs and symptoms and radiographic findings. The author would like to share a case of primary pituitary abscess due to Cutibacterium acnes infection, which is probably the first case reported in an adult patient.

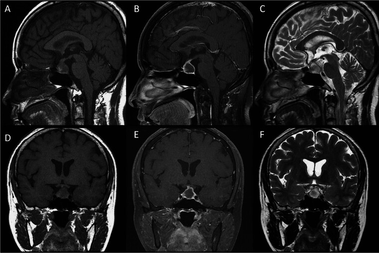
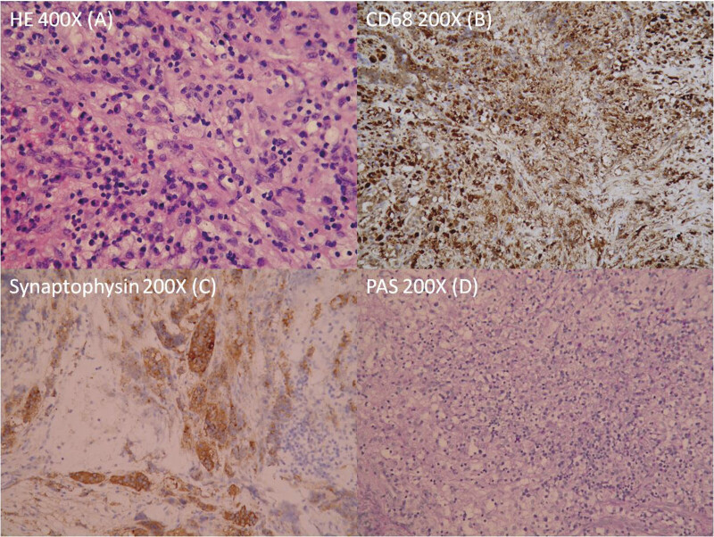
Case presentation: A 60-year-old woman with having medical history of diabetes mellitus who suffered from severe headache, fever, chillness, and vomiting in January 2024. She had been admitted to the Infectious Diseases Department; however, no definite infection source was found, but hypopituitarism was detected. Her brain magnetic resonance imaging (MRI) showed a rim-like enhanced sellar lesion with suprasellar extension. She underwent an endoscopic endonasal transsphenoidal approach with the removal of the lesion and skull base reconstruction. During the surgery, pus-like material and some solid tissue, which was yellowish white in color, were found. The culture of the pus revealed the growth of Cutibacterium acnes, and the histological report of the solid tissue proved nonneoplastic pituitary gland tissue, admixed with fibrous tissue and marked chronic inflammation. She recovered well after surgery and completed antibiotic treatment.

Conclusion: Preoperative diagnosis of pituitary abscess is difficult. The majority of pituitary abscesses are diagnosed during the operation or postoperatively. Prompt diagnosis and treatment of pituitary abscess yield a favorable prognosis. The mainstay of treatment is transsphenoidal surgical resection in combination with antibiotic therapy.

Abstract Image

Abstract Image

Abstract Image

一例罕见的由痤疮表皮杆菌引起的原发性垂体脓肿。
垂体脓肿是一种罕见但可能危及生命的疾病,发生率为0.2 - 1.1%的垂体手术病变。术前诊断是困难的,因为它在体征、症状和影像学表现方面与其他垂体病变有许多相似之处。作者在此报告一例因痤疮表皮杆菌感染而引起的原发性垂体脓肿,这可能是首例成人患者的病例报告。病例介绍:60岁女性,有糖尿病病史,2024年1月出现严重头痛、发热、寒战、呕吐。她住进了传染病科;未发现明确的传染源,但有垂体功能减退。她的脑磁共振成像(MRI)显示一个鞍上延伸的边缘样强化病变。她接受了鼻内经蝶窦入路切除病变和颅底重建。术中发现脓样物质及部分实心组织,颜色为黄白色。脓液培养显示痤疮角质杆菌生长,实体组织组织学报告证实垂体非肿瘤性组织,混有纤维组织和明显的慢性炎症。术后恢复良好,并完成抗生素治疗。结论:垂体脓肿术前诊断困难。大多数垂体脓肿是在术中或术后诊断出来的。及时诊断和治疗垂体脓肿预后良好。主要的治疗方法是经蝶窦手术切除联合抗生素治疗。
本文章由计算机程序翻译,如有差异,请以英文原文为准。
求助全文
约1分钟内获得全文 求助全文
来源期刊
自引率
0.00%
发文量
31
审稿时长
12 weeks
×
引用
GB/T 7714-2015
复制
MLA
复制
APA
复制
导出至
BibTeX EndNote RefMan NoteFirst NoteExpress
×
提示
您的信息不完整,为了账户安全,请先补充。
现在去补充
×
提示
您因"违规操作"
具体请查看互助需知
我知道了
×
提示
确定
请完成安全验证×
copy
已复制链接
快去分享给好友吧!
我知道了
右上角分享
点击右上角分享
0
联系我们:info@booksci.cn Book学术提供免费学术资源搜索服务,方便国内外学者检索中英文文献。致力于提供最便捷和优质的服务体验。 Copyright © 2023 布克学术 All rights reserved.
京ICP备2023020795号-1
ghs 京公网安备 11010802042870号
Book学术文献互助
Book学术文献互助群
群 号:604180095
Book学术官方微信