Progressive Deterioration of the Right Ventricular Function in a Patient with Non-Obstructive HCM Complicated by Atrial Fibrillation: A Case Presentation.

IF 0.7 Q3 MEDICINE, GENERAL & INTERNAL
International Medical Case Reports Journal Pub Date : 2025-07-07 eCollection Date: 2025-01-01 DOI:10.2147/IMCRJ.S529591
Jiamin Xu, Changshou Tan, Jianzhou Chen, Jiaxin Hu
{"title":"Progressive Deterioration of the Right Ventricular Function in a Patient with Non-Obstructive HCM Complicated by Atrial Fibrillation: A Case Presentation.","authors":"Jiamin Xu, Changshou Tan, Jianzhou Chen, Jiaxin Hu","doi":"10.2147/IMCRJ.S529591","DOIUrl":null,"url":null,"abstract":"<p><strong>Background: </strong>Hypertrophic cardiomyopathy (HCM) is a prevalent monogenic hereditary cardiovascular disorder caused by a mutation in one of the several sarcomere genes encoding components of the cardiac contractile system, distinguished by varied phenotypic presentation and fluctuating clinical advancement. HCM typically affects the left ventricle, resulting in impaired left ventricular function, instances of impaired right ventricular function are uncommon. This case study presents a rare occurrence of HCM accompanied by deteriorating right ventricular function, providing valuable insights for clinicians.</p><p><strong>Case presentation: </strong>Herein, we present a case study of an individual diagnosed with HCM utilizing next-generation sequencing (NGS). Over the disease course, the patient with hypertrophic cardiomyopathy also presented with sustained atrial fibrillation, characterized by progressive right ventricular dysfunction, resulting in the development of peripheral edema and ascites.</p><p><strong>Conclusion: </strong>We report the case of a patient with non-obstructive HCM exhibiting progressive decline in right heart function, confirmed to have the c.470C>T (p.Ala157Val) mutation in exon 7 of the TNNI3 gene.</p>","PeriodicalId":14337,"journal":{"name":"International Medical Case Reports Journal","volume":"18 ","pages":"837-843"},"PeriodicalIF":0.7000,"publicationDate":"2025-07-07","publicationTypes":"Journal Article","fieldsOfStudy":null,"isOpenAccess":false,"openAccessPdf":"https://www.ncbi.nlm.nih.gov/pmc/articles/PMC12254914/pdf/","citationCount":"0","resultStr":null,"platform":"Semanticscholar","paperid":null,"PeriodicalName":"International Medical Case Reports Journal","FirstCategoryId":"1085","ListUrlMain":"https://doi.org/10.2147/IMCRJ.S529591","RegionNum":0,"RegionCategory":null,"ArticlePicture":[],"TitleCN":null,"AbstractTextCN":null,"PMCID":null,"EPubDate":"2025/1/1 0:00:00","PubModel":"eCollection","JCR":"Q3","JCRName":"MEDICINE, GENERAL & INTERNAL","Score":null,"Total":0}
引用次数: 0

Abstract

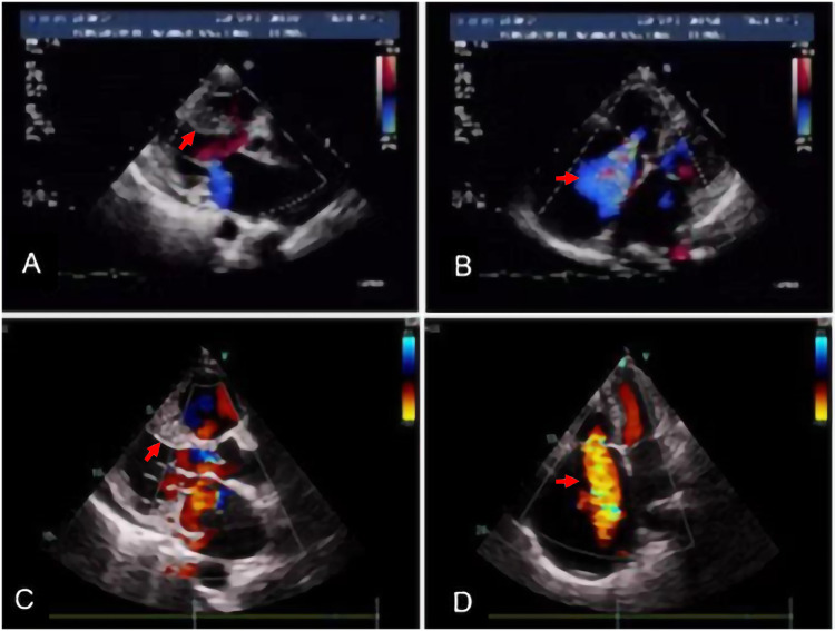
Background: Hypertrophic cardiomyopathy (HCM) is a prevalent monogenic hereditary cardiovascular disorder caused by a mutation in one of the several sarcomere genes encoding components of the cardiac contractile system, distinguished by varied phenotypic presentation and fluctuating clinical advancement. HCM typically affects the left ventricle, resulting in impaired left ventricular function, instances of impaired right ventricular function are uncommon. This case study presents a rare occurrence of HCM accompanied by deteriorating right ventricular function, providing valuable insights for clinicians.

Case presentation: Herein, we present a case study of an individual diagnosed with HCM utilizing next-generation sequencing (NGS). Over the disease course, the patient with hypertrophic cardiomyopathy also presented with sustained atrial fibrillation, characterized by progressive right ventricular dysfunction, resulting in the development of peripheral edema and ascites.

Conclusion: We report the case of a patient with non-obstructive HCM exhibiting progressive decline in right heart function, confirmed to have the c.470C>T (p.Ala157Val) mutation in exon 7 of the TNNI3 gene.

Abstract Image

Abstract Image

非阻塞性HCM合并心房颤动患者右心室功能进行性恶化1例。
背景:肥厚性心肌病(HCM)是一种常见的单基因遗传性心血管疾病,由编码心脏收缩系统成分的几个肌节基因之一的突变引起,以不同的表型表现和波动的临床进展为特征。HCM通常影响左心室,导致左心室功能受损,右心室功能受损的情况并不常见。本病例研究呈现罕见的HCM伴右心室功能恶化,为临床医生提供有价值的见解。病例报告:在这里,我们提出了一个病例研究的个人诊断为HCM利用下一代测序(NGS)。在病程中,肥厚性心肌病患者还表现为持续性心房颤动,以进行性右心室功能障碍为特征,导致周围水肿和腹水的发展。结论:我们报告了一例非阻塞性HCM患者,右心功能进行性下降,证实TNNI3基因7外显子c.470C>T (p.Ala157Val)突变。
本文章由计算机程序翻译,如有差异,请以英文原文为准。
求助全文
约1分钟内获得全文 求助全文
来源期刊
International Medical Case Reports Journal
International Medical Case Reports Journal MEDICINE, GENERAL & INTERNAL-
CiteScore
1.40
自引率
0.00%
发文量
135
审稿时长
16 weeks
期刊介绍: International Medical Case Reports Journal is an international, peer-reviewed, open access, online journal publishing original case reports from all medical specialties. Submissions should not normally exceed 3,000 words or 4 published pages including figures, diagrams and references. As of 1st April 2019, the International Medical Case Reports Journal will no longer consider meta-analyses for publication.
×
引用
GB/T 7714-2015
复制
MLA
复制
APA
复制
导出至
BibTeX EndNote RefMan NoteFirst NoteExpress
×
提示
您的信息不完整,为了账户安全,请先补充。
现在去补充
×
提示
您因"违规操作"
具体请查看互助需知
我知道了
×
提示
确定
请完成安全验证×
copy
已复制链接
快去分享给好友吧!
我知道了
右上角分享
点击右上角分享
0
联系我们:info@booksci.cn Book学术提供免费学术资源搜索服务,方便国内外学者检索中英文文献。致力于提供最便捷和优质的服务体验。 Copyright © 2023 布克学术 All rights reserved.
京ICP备2023020795号-1
ghs 京公网安备 11010802042870号
Book学术文献互助
Book学术文献互助群
群 号:604180095
Book学术官方微信