Long-Term Survival in Pancreatic Adenocarcinoma with Metachronous Hepatic Metastases Using Multimodality Treatment Including Pegylated Liposomal Irinotecan and Capecitabine: A Case Report.

IF 0.7 Q4 ONCOLOGY
Case Reports in Oncology Pub Date : 2025-06-12 eCollection Date: 2025-01-01 DOI:10.1159/000546328
Maroš Fremal, Mária Chedia
{"title":"Long-Term Survival in Pancreatic Adenocarcinoma with Metachronous Hepatic Metastases Using Multimodality Treatment Including Pegylated Liposomal Irinotecan and Capecitabine: A Case Report.","authors":"Maroš Fremal, Mária Chedia","doi":"10.1159/000546328","DOIUrl":null,"url":null,"abstract":"<p><strong>Introduction: </strong>Pegylated liposomal irinotecan (nal-IRI) in combination with fluorouracil (5-FU) and leucovorin (LV) has achieved a median overall survival of 6.1 months in patients with metastatic pancreatic ductal adenocarcinoma who progressed on gemcitabine-based chemotherapy. The case of a patient with considerable long-term survival on second-line nal-IRI-based therapy is presented.</p><p><strong>Case presentation: </strong>A 70-year-old male presented with weight loss and abdominal pain in July 2018, was diagnosed with stage IB PDAC (pT2, pN0, M0), and underwent successful R0 resection. Adjuvant chemotherapy with FOLFIRINOX (5-FU, LV, irinotecan, and oxaliplatin) was given for 9 cycles between September 2018 and January 2019, and the patient remained recurrence-free until a computed tomography scan revealed soft tissue mesenteric infiltrations in July 2020. First-line palliative chemotherapy with nab-paclitaxel + gemcitabine was initiated and continued until January 2022 when disease progression in the form of two metastatic hepatic lesions was observed. Second-line palliative chemotherapy with nal-IRI 129 mg on day 1 + capecitabine (CAP) 4,000 mg daily for the first 7 days of each 14-day cycle was initiated (due to previous 5-FU intolerance). Response (reduced oncomarkers) was observed, and treatment with nal-IRI + CAP continued, with liver-directed treatment in September 2023, until February 2024. During second-line therapy, side effects (mild diarrhoea) were infrequent and manageable.</p><p><strong>Conclusion: </strong>This patient achieved an extraordinary survival of 25 months with second-line treatment with nal-IRI + CAP. Nal-IRI-based therapy has the potential to provide long-term survival in the presence of favourable prognostic factors such as moderately elevated carbohydrate antigen 19-9 levels.</p>","PeriodicalId":9625,"journal":{"name":"Case Reports in Oncology","volume":"18 1","pages":"920-928"},"PeriodicalIF":0.7000,"publicationDate":"2025-06-12","publicationTypes":"Journal Article","fieldsOfStudy":null,"isOpenAccess":false,"openAccessPdf":"https://www.ncbi.nlm.nih.gov/pmc/articles/PMC12252375/pdf/","citationCount":"0","resultStr":null,"platform":"Semanticscholar","paperid":null,"PeriodicalName":"Case Reports in Oncology","FirstCategoryId":"1085","ListUrlMain":"https://doi.org/10.1159/000546328","RegionNum":0,"RegionCategory":null,"ArticlePicture":[],"TitleCN":null,"AbstractTextCN":null,"PMCID":null,"EPubDate":"2025/1/1 0:00:00","PubModel":"eCollection","JCR":"Q4","JCRName":"ONCOLOGY","Score":null,"Total":0}
引用次数: 0

Abstract

Introduction: Pegylated liposomal irinotecan (nal-IRI) in combination with fluorouracil (5-FU) and leucovorin (LV) has achieved a median overall survival of 6.1 months in patients with metastatic pancreatic ductal adenocarcinoma who progressed on gemcitabine-based chemotherapy. The case of a patient with considerable long-term survival on second-line nal-IRI-based therapy is presented.

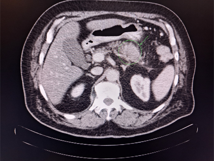
Case presentation: A 70-year-old male presented with weight loss and abdominal pain in July 2018, was diagnosed with stage IB PDAC (pT2, pN0, M0), and underwent successful R0 resection. Adjuvant chemotherapy with FOLFIRINOX (5-FU, LV, irinotecan, and oxaliplatin) was given for 9 cycles between September 2018 and January 2019, and the patient remained recurrence-free until a computed tomography scan revealed soft tissue mesenteric infiltrations in July 2020. First-line palliative chemotherapy with nab-paclitaxel + gemcitabine was initiated and continued until January 2022 when disease progression in the form of two metastatic hepatic lesions was observed. Second-line palliative chemotherapy with nal-IRI 129 mg on day 1 + capecitabine (CAP) 4,000 mg daily for the first 7 days of each 14-day cycle was initiated (due to previous 5-FU intolerance). Response (reduced oncomarkers) was observed, and treatment with nal-IRI + CAP continued, with liver-directed treatment in September 2023, until February 2024. During second-line therapy, side effects (mild diarrhoea) were infrequent and manageable.

Conclusion: This patient achieved an extraordinary survival of 25 months with second-line treatment with nal-IRI + CAP. Nal-IRI-based therapy has the potential to provide long-term survival in the presence of favourable prognostic factors such as moderately elevated carbohydrate antigen 19-9 levels.

Abstract Image

Abstract Image

Abstract Image

采用聚乙二醇化脂质体伊立替康和卡培他滨的多模式治疗胰腺癌伴异时性肝转移的长期生存:1例报告。
聚乙二醇化伊立替康脂质体(nal-IRI)联合氟尿嘧啶(5-FU)和亚叶酸蛋白(LV)在转移性胰腺导管腺癌患者中取得了6.1个月的中位总生存期,这些患者在吉西他滨化疗中进展。病例的病人相当长期生存的二线nal- iri为基础的治疗是提出。病例介绍:一名70岁男性于2018年7月出现体重减轻和腹痛,被诊断为IB期PDAC (pT2, pN0, M0),并成功进行了R0切除术。在2018年9月至2019年1月期间,患者接受了FOLFIRINOX (5-FU、LV、伊立替康和奥沙利铂)的9个周期的辅助化疗,直到2020年7月计算机断层扫描显示软组织肠系膜浸润,患者一直没有复发。开始了nab-紫杉醇+吉西他滨的一线姑息性化疗,并持续到2022年1月,当时观察到两例转移性肝脏病变的疾病进展。在每14天周期的前7天,开始使用nal-IRI第1天129 mg的二线姑息性化疗+卡培他滨(CAP)每天4,000 mg(由于先前的5-FU不耐受)。观察到反应(肿瘤标志物降低),并继续进行nal-IRI + CAP治疗,并于2023年9月至2024年2月进行肝脏定向治疗。在二线治疗期间,副作用(轻度腹泻)不常见且可控。结论:该患者通过nal-IRI + CAP的二线治疗获得了25个月的超长生存期。在有利的预后因素(如中度升高的碳水化合物抗原19-9水平)存在的情况下,nal-IRI为基础的治疗有可能提供长期生存。
本文章由计算机程序翻译,如有差异,请以英文原文为准。
求助全文
约1分钟内获得全文 求助全文
来源期刊
CiteScore
1.40
自引率
12.50%
发文量
151
审稿时长
7 weeks
×
引用
GB/T 7714-2015
复制
MLA
复制
APA
复制
导出至
BibTeX EndNote RefMan NoteFirst NoteExpress
×
提示
您的信息不完整,为了账户安全,请先补充。
现在去补充
×
提示
您因"违规操作"
具体请查看互助需知
我知道了
×
提示
确定
请完成安全验证×
copy
已复制链接
快去分享给好友吧!
我知道了
右上角分享
点击右上角分享
0
联系我们:info@booksci.cn Book学术提供免费学术资源搜索服务,方便国内外学者检索中英文文献。致力于提供最便捷和优质的服务体验。 Copyright © 2023 布克学术 All rights reserved.
京ICP备2023020795号-1
ghs 京公网安备 11010802042870号
Book学术文献互助
Book学术文献互助群
群 号:604180095
Book学术官方微信