Concurrent Mpox and HSV-1 Proctitis in a Young Male With AIDS: A Case Report of Treatment Failure.

IF 0.8 Q4 INFECTIOUS DISEASES
Case Reports in Infectious Diseases Pub Date : 2025-07-04 eCollection Date: 2025-01-01 DOI:10.1155/crdi/6338218
Mikhail Sukhoroslov, Fouad Kaddour-Hocine, Muhammad Hammad Ashraf, Navya Mandalapu, Shivani Bansal, Matthew Peachey
{"title":"Concurrent Mpox and HSV-1 Proctitis in a Young Male With AIDS: A Case Report of Treatment Failure.","authors":"Mikhail Sukhoroslov, Fouad Kaddour-Hocine, Muhammad Hammad Ashraf, Navya Mandalapu, Shivani Bansal, Matthew Peachey","doi":"10.1155/crdi/6338218","DOIUrl":null,"url":null,"abstract":"<p><p>Managing the mpox in patients with advanced HIV infection and coinfections poses significant challenges. This report discusses a young male with advanced HIV (CD4 count 28) and severe concurrent mpox and HSV-1 proctitis. Despite initial treatment with oral tecovirimat, acyclovir, and antiretrovirals, the patient's condition worsened, requiring readmission. The patient received intravenous tecovirimat, vaccinia immune globulin, and brincidofovir. Sigmoidoscopy revealed extensive rectal and sigmoid lesions that necessitated prolonged hospitalization and pain management. This case emphasizes the complexity of treating severe coinfections in immunocompromised patients, highlighting the need for a multidisciplinary approach and consideration of alternative therapies when standard treatment fails.</p>","PeriodicalId":9608,"journal":{"name":"Case Reports in Infectious Diseases","volume":"2025 ","pages":"6338218"},"PeriodicalIF":0.8000,"publicationDate":"2025-07-04","publicationTypes":"Journal Article","fieldsOfStudy":null,"isOpenAccess":false,"openAccessPdf":"https://www.ncbi.nlm.nih.gov/pmc/articles/PMC12253983/pdf/","citationCount":"0","resultStr":null,"platform":"Semanticscholar","paperid":null,"PeriodicalName":"Case Reports in Infectious Diseases","FirstCategoryId":"1085","ListUrlMain":"https://doi.org/10.1155/crdi/6338218","RegionNum":0,"RegionCategory":null,"ArticlePicture":[],"TitleCN":null,"AbstractTextCN":null,"PMCID":null,"EPubDate":"2025/1/1 0:00:00","PubModel":"eCollection","JCR":"Q4","JCRName":"INFECTIOUS DISEASES","Score":null,"Total":0}
引用次数: 0

Abstract

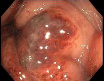
Managing the mpox in patients with advanced HIV infection and coinfections poses significant challenges. This report discusses a young male with advanced HIV (CD4 count 28) and severe concurrent mpox and HSV-1 proctitis. Despite initial treatment with oral tecovirimat, acyclovir, and antiretrovirals, the patient's condition worsened, requiring readmission. The patient received intravenous tecovirimat, vaccinia immune globulin, and brincidofovir. Sigmoidoscopy revealed extensive rectal and sigmoid lesions that necessitated prolonged hospitalization and pain management. This case emphasizes the complexity of treating severe coinfections in immunocompromised patients, highlighting the need for a multidisciplinary approach and consideration of alternative therapies when standard treatment fails.

Abstract Image

Abstract Image

Abstract Image

年轻男性艾滋病并发Mpox和HSV-1直肠炎:一例治疗失败报告。
管理晚期艾滋病毒感染和合并感染患者的m痘是一项重大挑战。这个报告讨论了一个年轻的男性HIV晚期(CD4计数28)和严重并发mpox和HSV-1直肠炎。尽管最初使用口服替可韦麦、阿昔洛韦和抗逆转录病毒药物治疗,但患者病情恶化,需要再次入院。患者静脉注射特可韦、牛痘免疫球蛋白和布尼多福韦。乙状结肠镜检查发现广泛的直肠和乙状结肠病变,需要长期住院治疗和疼痛管理。该病例强调了治疗免疫功能低下患者严重合并感染的复杂性,强调了多学科方法的必要性,并在标准治疗失败时考虑替代疗法。
本文章由计算机程序翻译,如有差异,请以英文原文为准。
求助全文
约1分钟内获得全文 求助全文
来源期刊
自引率
0.00%
发文量
64
审稿时长
13 weeks
×
引用
GB/T 7714-2015
复制
MLA
复制
APA
复制
导出至
BibTeX EndNote RefMan NoteFirst NoteExpress
×
提示
您的信息不完整,为了账户安全,请先补充。
现在去补充
×
提示
您因"违规操作"
具体请查看互助需知
我知道了
×
提示
确定
请完成安全验证×
copy
已复制链接
快去分享给好友吧!
我知道了
右上角分享
点击右上角分享
0
联系我们:info@booksci.cn Book学术提供免费学术资源搜索服务,方便国内外学者检索中英文文献。致力于提供最便捷和优质的服务体验。 Copyright © 2023 布克学术 All rights reserved.
京ICP备2023020795号-1
ghs 京公网安备 11010802042870号
Book学术文献互助
Book学术文献互助群
群 号:604180095
Book学术官方微信