Migration Pattern and Tissue Tropism of Toxascaris leonina (Linstow, 1902) Larvae: An in vivo Evaluation.

Q2 Biochemistry, Genetics and Molecular Biology
Mohammad Sardari, Alireza Nourian, Farzad Parsa, Salman Zafari, Heshmatollah Taherkhani, Amir Hossein Maghsood, Mohammad Matini, Seyed Mousa Motevali Haghi, Mohammad Fallah
{"title":"Migration Pattern and Tissue Tropism of Toxascaris leonina (Linstow, 1902) Larvae: An in vivo Evaluation.","authors":"Mohammad Sardari, Alireza Nourian, Farzad Parsa, Salman Zafari, Heshmatollah Taherkhani, Amir Hossein Maghsood, Mohammad Matini, Seyed Mousa Motevali Haghi, Mohammad Fallah","doi":"10.61186/ibj.4998","DOIUrl":null,"url":null,"abstract":"<p><strong>Background: </strong>: The role of Toxascaris leonina in visceral larva migrans is controversial. This study aimed to investigate the migratory behavior of T. leonina larvae across different organs in mice.</p><p><strong>Methods: </strong>Six-week-old Swiss albino mice (n = 26) were randomly allocated into six experimental groups and one control group. Each mouse in the experimental groups was orally inoculated with 1,000 embryonated T. leonina eggs. The animals were euthanized at 2, 5, 10, 15, 20 and 30 dpi (days post-infection). Tissue samples were examined for larval presence and associated pathological changes using digestive and histopathological methods. The squash method was used for brain tissue analysis.</p><p><strong>Results: </strong>T. leonina larvae were recovered from the small intestinal wall, lungs, liver, and striated muscles. No larvae were detected in the kidneys, heart, spleen, and brain using digestive or squash methods. Histological examination revealed granulomatous reactions, inflammatory cell accumulation, and larval presence in the isolated tissues. Larval concentration in the striated muscles increased over time, demonstrating the potential of Swiss albino mice to serve as paratenic hosts in toxocariasis.</p><p><strong>Conclusion: </strong>Our study exhibits that Swiss albino mice are susceptible to T. leonina infection, with larvae localizing primarily in the small intestinal wall, liver, lungs, and striated muscles.</p>","PeriodicalId":14500,"journal":{"name":"Iranian Biomedical Journal","volume":"29 3","pages":"167-172"},"PeriodicalIF":0.0000,"publicationDate":"2025-05-01","publicationTypes":"Journal Article","fieldsOfStudy":null,"isOpenAccess":false,"openAccessPdf":"https://www.ncbi.nlm.nih.gov/pmc/articles/PMC12396119/pdf/","citationCount":"0","resultStr":null,"platform":"Semanticscholar","paperid":null,"PeriodicalName":"Iranian Biomedical Journal","FirstCategoryId":"1085","ListUrlMain":"https://doi.org/10.61186/ibj.4998","RegionNum":0,"RegionCategory":null,"ArticlePicture":[],"TitleCN":null,"AbstractTextCN":null,"PMCID":null,"EPubDate":"","PubModel":"","JCR":"Q2","JCRName":"Biochemistry, Genetics and Molecular Biology","Score":null,"Total":0}
引用次数: 0

Abstract

Background: : The role of Toxascaris leonina in visceral larva migrans is controversial. This study aimed to investigate the migratory behavior of T. leonina larvae across different organs in mice.

Methods: Six-week-old Swiss albino mice (n = 26) were randomly allocated into six experimental groups and one control group. Each mouse in the experimental groups was orally inoculated with 1,000 embryonated T. leonina eggs. The animals were euthanized at 2, 5, 10, 15, 20 and 30 dpi (days post-infection). Tissue samples were examined for larval presence and associated pathological changes using digestive and histopathological methods. The squash method was used for brain tissue analysis.

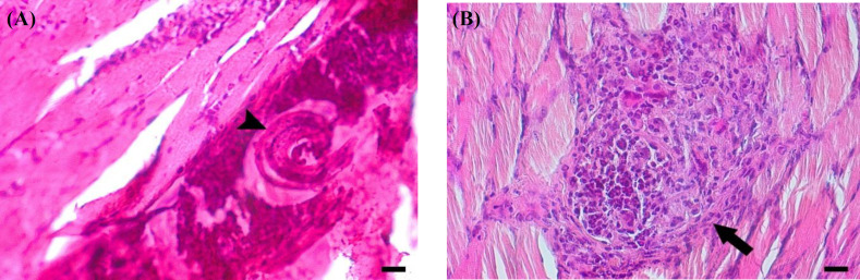
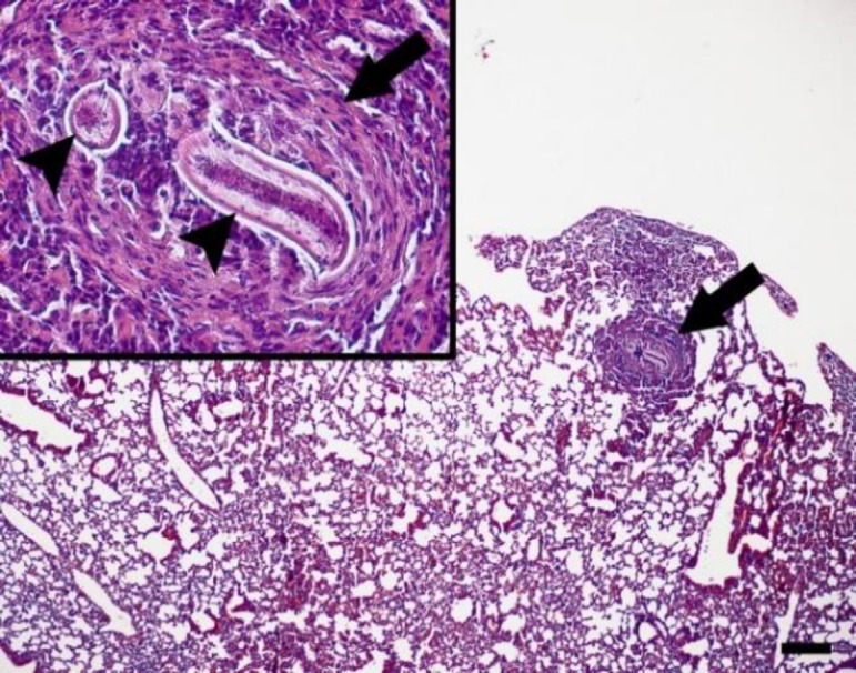
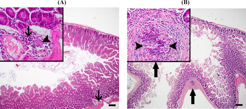
Results: T. leonina larvae were recovered from the small intestinal wall, lungs, liver, and striated muscles. No larvae were detected in the kidneys, heart, spleen, and brain using digestive or squash methods. Histological examination revealed granulomatous reactions, inflammatory cell accumulation, and larval presence in the isolated tissues. Larval concentration in the striated muscles increased over time, demonstrating the potential of Swiss albino mice to serve as paratenic hosts in toxocariasis.

Conclusion: Our study exhibits that Swiss albino mice are susceptible to T. leonina infection, with larvae localizing primarily in the small intestinal wall, liver, lungs, and striated muscles.

Abstract Image

Abstract Image

Abstract Image

里昂弓形虫(Linstow, 1902)幼虫的迁移模式和组织趋向性:体内评价。
背景:leonascaris Toxascaris leonina在内脏幼虫迁徙中的作用存在争议。本研究旨在探讨狮子绦虫幼虫在小鼠体内不同器官间的迁徙行为。方法:6周龄瑞士白化病小鼠26只,随机分为6个实验组和1个对照组。实验组每只小鼠口服1000枚卵细胞。分别在2、5、10、15、20和30 dpi处实施安乐死。使用消化和组织病理学方法检查组织样本的幼虫存在和相关病理变化。脑组织分析采用挤压法。结果:小肠壁、肺、肝、横纹肌均检出leonina幼虫。消化法和挤压法均未在肾、心、脾和脑内检出幼虫。组织学检查显示肉芽肿反应,炎性细胞积聚和幼虫存在于分离组织中。横纹肌中的幼虫浓度随着时间的推移而增加,表明瑞士白化小鼠有可能作为弓形虫病的辅助宿主。结论:我们的研究表明瑞士白化小鼠易感染狮子绦虫,其幼虫主要分布在小肠壁、肝脏、肺和横纹肌。
本文章由计算机程序翻译,如有差异,请以英文原文为准。
求助全文
约1分钟内获得全文 求助全文
来源期刊
Iranian Biomedical Journal
Iranian Biomedical Journal Biochemistry, Genetics and Molecular Biology-Biochemistry, Genetics and Molecular Biology (all)
CiteScore
3.20
自引率
0.00%
发文量
42
审稿时长
8 weeks
×
引用
GB/T 7714-2015
复制
MLA
复制
APA
复制
导出至
BibTeX EndNote RefMan NoteFirst NoteExpress
×
提示
您的信息不完整,为了账户安全,请先补充。
现在去补充
×
提示
您因"违规操作"
具体请查看互助需知
我知道了
×
提示
确定
请完成安全验证×
copy
已复制链接
快去分享给好友吧!
我知道了
右上角分享
点击右上角分享
0
联系我们:info@booksci.cn Book学术提供免费学术资源搜索服务,方便国内外学者检索中英文文献。致力于提供最便捷和优质的服务体验。 Copyright © 2023 布克学术 All rights reserved.
京ICP备2023020795号-1
ghs 京公网安备 11010802042870号
Book学术文献互助
Book学术文献互助群
群 号:604180095
Book学术官方微信