Three Challenges in an Infant: Neuroblastoma Mimicking Infantile Hepatic Hemangioma, With Chylothorax and Rosettes in Pleural Fluid.

IF 0.7 Q4 HEMATOLOGY
Case Reports in Hematology Pub Date : 2025-07-03 eCollection Date: 2025-01-01 DOI:10.1155/crh/9948246
Samin Alavi, Mitra Khalili, Maryam Kazemi Aghdam, Alireza Zamani, Tahereh Madani
{"title":"Three Challenges in an Infant: Neuroblastoma Mimicking Infantile Hepatic Hemangioma, With Chylothorax and Rosettes in Pleural Fluid.","authors":"Samin Alavi, Mitra Khalili, Maryam Kazemi Aghdam, Alireza Zamani, Tahereh Madani","doi":"10.1155/crh/9948246","DOIUrl":null,"url":null,"abstract":"<p><p>Infantile hepatic hemangioma (IHH) is rare, but the most common benign hepatic tumor in the first year of life. It has a characteristic course with perinatal presentation, increasing growth during the first year of life, and subsequent shrinkage of the vascular lesions. The authors report a 12-month-old male infant who presented with severe abdominal distension and respiratory distress while under workup for diffuse IHH since 2 months of age. In addition, the child's situation was complicated by two uncommon occurrences: bilateral chylothorax and the presence of neuroblasts and rosette cells in the pleural fluid. The detection of such cells in pleural fluid is extremely rare in pediatric neuroblastoma cases. This complex medical scenario highlights the challenges faced in diagnosing and managing rare pediatric conditions, emphasizing the need for careful monitoring and comprehensive diagnostic approaches in similar cases.</p>","PeriodicalId":46307,"journal":{"name":"Case Reports in Hematology","volume":"2025 ","pages":"9948246"},"PeriodicalIF":0.7000,"publicationDate":"2025-07-03","publicationTypes":"Journal Article","fieldsOfStudy":null,"isOpenAccess":false,"openAccessPdf":"https://www.ncbi.nlm.nih.gov/pmc/articles/PMC12245509/pdf/","citationCount":"0","resultStr":null,"platform":"Semanticscholar","paperid":null,"PeriodicalName":"Case Reports in Hematology","FirstCategoryId":"1085","ListUrlMain":"https://doi.org/10.1155/crh/9948246","RegionNum":0,"RegionCategory":null,"ArticlePicture":[],"TitleCN":null,"AbstractTextCN":null,"PMCID":null,"EPubDate":"2025/1/1 0:00:00","PubModel":"eCollection","JCR":"Q4","JCRName":"HEMATOLOGY","Score":null,"Total":0}
引用次数: 0

Abstract

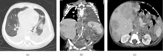
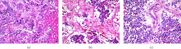
Infantile hepatic hemangioma (IHH) is rare, but the most common benign hepatic tumor in the first year of life. It has a characteristic course with perinatal presentation, increasing growth during the first year of life, and subsequent shrinkage of the vascular lesions. The authors report a 12-month-old male infant who presented with severe abdominal distension and respiratory distress while under workup for diffuse IHH since 2 months of age. In addition, the child's situation was complicated by two uncommon occurrences: bilateral chylothorax and the presence of neuroblasts and rosette cells in the pleural fluid. The detection of such cells in pleural fluid is extremely rare in pediatric neuroblastoma cases. This complex medical scenario highlights the challenges faced in diagnosing and managing rare pediatric conditions, emphasizing the need for careful monitoring and comprehensive diagnostic approaches in similar cases.

Abstract Image

Abstract Image

Abstract Image

婴儿的三个挑战:神经母细胞瘤模拟婴儿肝血管瘤,胸膜液中有乳糜胸和莲座。
婴儿肝血管瘤(IHH)是罕见的,但最常见的良性肝脏肿瘤在第一年的生活。它具有围产期表现的特征性病程,在生命的第一年增加生长,随后血管病变缩小。作者报告了一个12个月大的男婴,他在2个月大的弥漫性IHH检查中出现严重的腹胀和呼吸窘迫。此外,这名儿童的情况因两种罕见的情况而复杂化:双侧乳糜胸和胸膜液中存在神经母细胞和玫瑰花状细胞。在小儿神经母细胞瘤病例中,胸膜液中检测到此类细胞极为罕见。这一复杂的医疗情况突出了诊断和管理罕见儿科疾病所面临的挑战,强调了对类似病例进行仔细监测和综合诊断方法的必要性。
本文章由计算机程序翻译,如有差异,请以英文原文为准。
求助全文
约1分钟内获得全文 求助全文
来源期刊
自引率
0.00%
发文量
51
审稿时长
13 weeks
×
引用
GB/T 7714-2015
复制
MLA
复制
APA
复制
导出至
BibTeX EndNote RefMan NoteFirst NoteExpress
×
提示
您的信息不完整,为了账户安全,请先补充。
现在去补充
×
提示
您因"违规操作"
具体请查看互助需知
我知道了
×
提示
确定
请完成安全验证×
copy
已复制链接
快去分享给好友吧!
我知道了
右上角分享
点击右上角分享
0
联系我们:info@booksci.cn Book学术提供免费学术资源搜索服务,方便国内外学者检索中英文文献。致力于提供最便捷和优质的服务体验。 Copyright © 2023 布克学术 All rights reserved.
京ICP备2023020795号-1
ghs 京公网安备 11010802042870号
Book学术文献互助
Book学术文献互助群
群 号:604180095
Book学术官方微信