Isolated Central Nervous System Presentation of Early T-Cell Precursor Acute Lymphoblastic Leukemia/Lymphoma: A Rare Case of Exclusive Brain Involvement.

IF 0.7 Q4 HEMATOLOGY
Case Reports in Hematology Pub Date : 2025-07-03 eCollection Date: 2025-01-01 DOI:10.1155/crh/7634316
Violet O Swart, Behyar Zoghi
{"title":"Isolated Central Nervous System Presentation of Early T-Cell Precursor Acute Lymphoblastic Leukemia/Lymphoma: A Rare Case of Exclusive Brain Involvement.","authors":"Violet O Swart, Behyar Zoghi","doi":"10.1155/crh/7634316","DOIUrl":null,"url":null,"abstract":"<p><p>Early T-cell precursor acute lymphoblastic leukemia/lymphoma (ETP-ALL/LBL) is a high-risk and biologically distinct subset of T-cell acute lymphoblastic leukemia, typically characterized by leukemic involvement of bone marrow, peripheral blood, and mediastinal structures. Central nervous system (CNS) involvement is typically a secondary manifestation [1, 2, 3]. We report a rare case of isolated CNS presentation of ETP-ALL/LBL in a 73-year-old woman who presented with progressive neurological symptoms. Imaging revealed a large right frontal extra-axial mass. Systemic evaluation, including peripheral blood flow cytometry and CT imaging of chest, abdomen, and pelvis, showed no evidence ofsystemic disease. Surgical resection and subsequent histopathology confirmed the diagnosis of ETP-ALL/LBL. A bone marrow biopsy was deffered to the patient's preference and rapid clinical deterioration. This case underscores the diagnostic and therapeutic challenges of CNS-restricted leukemic presentations and highlights the need for early recognition and CNS-directed diagnostic evaluation.</p>","PeriodicalId":46307,"journal":{"name":"Case Reports in Hematology","volume":"2025 ","pages":"7634316"},"PeriodicalIF":0.7000,"publicationDate":"2025-07-03","publicationTypes":"Journal Article","fieldsOfStudy":null,"isOpenAccess":false,"openAccessPdf":"https://www.ncbi.nlm.nih.gov/pmc/articles/PMC12245486/pdf/","citationCount":"0","resultStr":null,"platform":"Semanticscholar","paperid":null,"PeriodicalName":"Case Reports in Hematology","FirstCategoryId":"1085","ListUrlMain":"https://doi.org/10.1155/crh/7634316","RegionNum":0,"RegionCategory":null,"ArticlePicture":[],"TitleCN":null,"AbstractTextCN":null,"PMCID":null,"EPubDate":"2025/1/1 0:00:00","PubModel":"eCollection","JCR":"Q4","JCRName":"HEMATOLOGY","Score":null,"Total":0}
引用次数: 0

Abstract

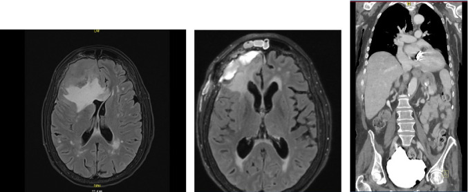
Early T-cell precursor acute lymphoblastic leukemia/lymphoma (ETP-ALL/LBL) is a high-risk and biologically distinct subset of T-cell acute lymphoblastic leukemia, typically characterized by leukemic involvement of bone marrow, peripheral blood, and mediastinal structures. Central nervous system (CNS) involvement is typically a secondary manifestation [1, 2, 3]. We report a rare case of isolated CNS presentation of ETP-ALL/LBL in a 73-year-old woman who presented with progressive neurological symptoms. Imaging revealed a large right frontal extra-axial mass. Systemic evaluation, including peripheral blood flow cytometry and CT imaging of chest, abdomen, and pelvis, showed no evidence ofsystemic disease. Surgical resection and subsequent histopathology confirmed the diagnosis of ETP-ALL/LBL. A bone marrow biopsy was deffered to the patient's preference and rapid clinical deterioration. This case underscores the diagnostic and therapeutic challenges of CNS-restricted leukemic presentations and highlights the need for early recognition and CNS-directed diagnostic evaluation.

Abstract Image

Abstract Image

早期t细胞前体急性淋巴母细胞白血病/淋巴瘤的分离中枢神经系统表现:一个罕见的脑部受累病例。
早期t细胞前体急性淋巴母细胞白血病/淋巴瘤(ETP-ALL/LBL)是t细胞急性淋巴母细胞白血病的一种高风险和生物学上独特的亚群,典型特征是白血病累及骨髓、外周血和纵隔结构。中枢神经系统(CNS)受累通常是继发表现[1,2,3]。我们报告一例罕见的孤立中枢神经系统表现为ETP-ALL/LBL的73岁妇女,她表现为进行性神经系统症状。影像学显示右侧额叶轴外大肿块。全身检查,包括外周血流式细胞术和胸部、腹部和骨盆的CT成像,没有发现全身性疾病的证据。手术切除和随后的组织病理学证实了ETP-ALL/LBL的诊断。骨髓活检取决于患者的偏好和快速的临床恶化。该病例强调了中枢神经系统限制性白血病的诊断和治疗挑战,并强调了早期识别和中枢神经系统定向诊断评估的必要性。
本文章由计算机程序翻译,如有差异,请以英文原文为准。
求助全文
约1分钟内获得全文 求助全文
来源期刊
自引率
0.00%
发文量
51
审稿时长
13 weeks
×
引用
GB/T 7714-2015
复制
MLA
复制
APA
复制
导出至
BibTeX EndNote RefMan NoteFirst NoteExpress
×
提示
您的信息不完整,为了账户安全,请先补充。
现在去补充
×
提示
您因"违规操作"
具体请查看互助需知
我知道了
×
提示
确定
请完成安全验证×
copy
已复制链接
快去分享给好友吧!
我知道了
右上角分享
点击右上角分享
0
联系我们:info@booksci.cn Book学术提供免费学术资源搜索服务,方便国内外学者检索中英文文献。致力于提供最便捷和优质的服务体验。 Copyright © 2023 布克学术 All rights reserved.
京ICP备2023020795号-1
ghs 京公网安备 11010802042870号
Book学术文献互助
Book学术文献互助群
群 号:604180095
Book学术官方微信