[Case Report and Literature Review of Severe Anemia Secondary to Chemotherapy 
Combined with PD-1 Monoclonal Antibody Immunotherapy for Lung Adenocarcinoma].

Q4 Medicine
Yaowen Hu, Jing Zhao, Xiaoxing Gao, Yan Xu, Mengzhao Wang
{"title":"[Case Report and Literature Review of Severe Anemia Secondary to Chemotherapy \u2029Combined with PD-1 Monoclonal Antibody Immunotherapy for Lung Adenocarcinoma].","authors":"Yaowen Hu, Jing Zhao, Xiaoxing Gao, Yan Xu, Mengzhao Wang","doi":"10.3779/j.issn.1009-3419.2025.102.25","DOIUrl":null,"url":null,"abstract":"<p><p>Programmed cell death 1 (PD-1) inhibitor therapy for lung adenocarcinoma may induce rare but severe hematologic adverse events, including severe anemia. Although glucocorticoids are recommended for managing immune-related adverse events, therapeutic experience with PD-1 inhibitor-induced severe anemia remains limited, and its efficacy and safety have not been fully validated. This article reports a case of advanced lung adenocarcinoma in which severe anemia developed following combination therapy with chemotherapy and PD-1 inhibitor. After comprehensive evaluation, the patient was diagnosed with anemia of inflammation (AI) and achieved significant hemoglobin recovery following high-dose glucocorticoid treatment. These findings may provide new insights into the recognition and management of this rare hematologic toxicity in clinical practice.\u2029.</p>","PeriodicalId":39317,"journal":{"name":"中国肺癌杂志","volume":"28 6","pages":"472-476"},"PeriodicalIF":0.0000,"publicationDate":"2025-06-20","publicationTypes":"Journal Article","fieldsOfStudy":null,"isOpenAccess":false,"openAccessPdf":"https://www.ncbi.nlm.nih.gov/pmc/articles/PMC12257171/pdf/","citationCount":"0","resultStr":null,"platform":"Semanticscholar","paperid":null,"PeriodicalName":"中国肺癌杂志","FirstCategoryId":"3","ListUrlMain":"https://doi.org/10.3779/j.issn.1009-3419.2025.102.25","RegionNum":0,"RegionCategory":null,"ArticlePicture":[],"TitleCN":null,"AbstractTextCN":null,"PMCID":null,"EPubDate":"","PubModel":"","JCR":"Q4","JCRName":"Medicine","Score":null,"Total":0}
引用次数: 0

Abstract

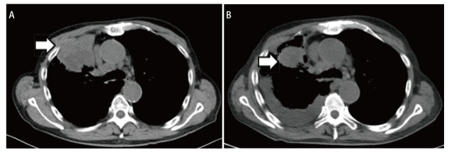
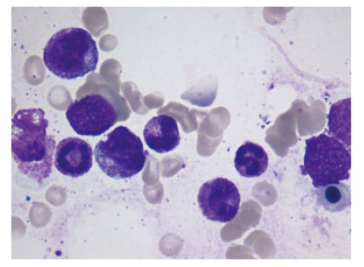
Programmed cell death 1 (PD-1) inhibitor therapy for lung adenocarcinoma may induce rare but severe hematologic adverse events, including severe anemia. Although glucocorticoids are recommended for managing immune-related adverse events, therapeutic experience with PD-1 inhibitor-induced severe anemia remains limited, and its efficacy and safety have not been fully validated. This article reports a case of advanced lung adenocarcinoma in which severe anemia developed following combination therapy with chemotherapy and PD-1 inhibitor. After comprehensive evaluation, the patient was diagnosed with anemia of inflammation (AI) and achieved significant hemoglobin recovery following high-dose glucocorticoid treatment. These findings may provide new insights into the recognition and management of this rare hematologic toxicity in clinical practice.
.

Abstract Image

Abstract Image

[化疗继发严重贫血病例报告及文献复习
联合PD-1单克隆抗体免疫治疗肺腺癌]。
程序性细胞死亡1 (PD-1)抑制剂治疗肺腺癌可能引起罕见但严重的血液学不良事件,包括严重贫血。尽管糖皮质激素被推荐用于治疗免疫相关不良事件,但PD-1抑制剂诱导的严重贫血的治疗经验仍然有限,其有效性和安全性尚未得到充分验证。本文报道一例晚期肺腺癌患者在化疗和PD-1抑制剂联合治疗后发生严重贫血。经综合评价,诊断为炎症性贫血(AI),经大剂量糖皮质激素治疗后,患者血红蛋白恢复明显。这些发现可能为在临床实践中认识和管理这种罕见的血液毒性提供新的见解。
。
本文章由计算机程序翻译,如有差异,请以英文原文为准。
求助全文
约1分钟内获得全文 求助全文
来源期刊
中国肺癌杂志
中国肺癌杂志 Medicine-Pulmonary and Respiratory Medicine
CiteScore
1.40
自引率
0.00%
发文量
5131
审稿时长
14 weeks
期刊介绍: Chinese Journal of Lung Cancer(CJLC, pISSN 1009-3419, eISSN 1999-6187), a monthly Open Access journal, is hosted by Chinese Anti-Cancer Association, Chinese Antituberculosis Association, Tianjin Medical University General Hospital. CJLC was indexed in DOAJ, EMBASE/SCOPUS, Chemical Abstract(CA), CSA-Biological Science, HINARI, EBSCO-CINAHL,CABI Abstract, Global Health, CNKI, etc. Editor-in-Chief: Professor Qinghua ZHOU.
×
引用
GB/T 7714-2015
复制
MLA
复制
APA
复制
导出至
BibTeX EndNote RefMan NoteFirst NoteExpress
×
提示
您的信息不完整,为了账户安全,请先补充。
现在去补充
×
提示
您因"违规操作"
具体请查看互助需知
我知道了
×
提示
确定
请完成安全验证×
copy
已复制链接
快去分享给好友吧!
我知道了
右上角分享
点击右上角分享
0
联系我们:info@booksci.cn Book学术提供免费学术资源搜索服务,方便国内外学者检索中英文文献。致力于提供最便捷和优质的服务体验。 Copyright © 2023 布克学术 All rights reserved.
京ICP备2023020795号-1
ghs 京公网安备 11010802042870号
Book学术文献互助
Book学术文献互助群
群 号:604180095
Book学术官方微信