Cerebrospinal fluid estradiol fluctuations during the estrous cycle and their association with intraocular pressure and optic nerve sheath diameter in dogs: a first report.

IF 2 3区 农林科学 Q2 VETERINARY SCIENCES
Candemir Özcan, Serkan Bozacı, Berrak Işık Soytürk, Kenan Çağrı Tümer, Ömer Deniz, Tarık Şafak, Ayşe Başak Dellalbaşı, Özgür Kaynar, Elif Dogan
{"title":"Cerebrospinal fluid estradiol fluctuations during the estrous cycle and their association with intraocular pressure and optic nerve sheath diameter in dogs: a first report.","authors":"Candemir Özcan, Serkan Bozacı, Berrak Işık Soytürk, Kenan Çağrı Tümer, Ömer Deniz, Tarık Şafak, Ayşe Başak Dellalbaşı, Özgür Kaynar, Elif Dogan","doi":"10.1007/s11259-025-10820-x","DOIUrl":null,"url":null,"abstract":"<p><strong>Objective: </strong>The relationship between optic nerve sheath diameter (ONSD), an indicator of intracranial pressure (ICP), and intraocular pressure (IOP) is controversial. The two aims of this study were; first, to investigate the effect of cerebrospinal fluid (CSF) estradiol (E2) and progesterone (P4) levels on ONSD and second, to investigate the relationship between ONSD and IOP in female dogs.</p><p><strong>Methods: </strong>IOP measurements were performed using rebound tonometer, and transpalpebral ultrasonographic assessment of the ONSD was conducted. CSF samples were collected, and E2 and P4 levels were quantified using enzyme-linked immunosorbent assay (ELISA). Multiple regression analysis was conducted to assess the relationships among the variables.</p><p><strong>Results: </strong>Multiple regression analyses on dogs found that the level of cerebrospinal fluid estradiol level (CSF-E2) significantly influenced left (L) ONSD (p = 0.0421, R² = 0.1551) and right (R) ONSD (p = 0.0216, R² = 0.1938). Systolic blood pressure (SBP) was a significant independent variable for left intraocular pressure (LIOP) (p = 0.0122, R² = 0.2261), while body weight was a significant predictor for right intraocular pressure (RIOP) (p = 0.0008, R² = 0.3679).</p><p><strong>Conclusions: </strong>This study revealed that CSF-E2 levels exert a significant influence on ONSD in dogs, whereas no direct association was observed between IOP and ONSD. These findings underscore the notion that ONSD is modulated not only by hemodynamic mechanisms but also by hormonal regulation.</p>","PeriodicalId":23690,"journal":{"name":"Veterinary Research Communications","volume":"49 5","pages":"255"},"PeriodicalIF":2.0000,"publicationDate":"2025-07-11","publicationTypes":"Journal Article","fieldsOfStudy":null,"isOpenAccess":false,"openAccessPdf":"https://www.ncbi.nlm.nih.gov/pmc/articles/PMC12254181/pdf/","citationCount":"0","resultStr":null,"platform":"Semanticscholar","paperid":null,"PeriodicalName":"Veterinary Research Communications","FirstCategoryId":"97","ListUrlMain":"https://doi.org/10.1007/s11259-025-10820-x","RegionNum":3,"RegionCategory":"农林科学","ArticlePicture":[],"TitleCN":null,"AbstractTextCN":null,"PMCID":null,"EPubDate":"","PubModel":"","JCR":"Q2","JCRName":"VETERINARY SCIENCES","Score":null,"Total":0}
引用次数: 0

Abstract

Objective: The relationship between optic nerve sheath diameter (ONSD), an indicator of intracranial pressure (ICP), and intraocular pressure (IOP) is controversial. The two aims of this study were; first, to investigate the effect of cerebrospinal fluid (CSF) estradiol (E2) and progesterone (P4) levels on ONSD and second, to investigate the relationship between ONSD and IOP in female dogs.

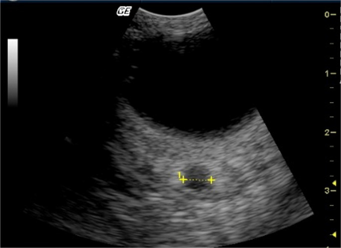
Methods: IOP measurements were performed using rebound tonometer, and transpalpebral ultrasonographic assessment of the ONSD was conducted. CSF samples were collected, and E2 and P4 levels were quantified using enzyme-linked immunosorbent assay (ELISA). Multiple regression analysis was conducted to assess the relationships among the variables.

Results: Multiple regression analyses on dogs found that the level of cerebrospinal fluid estradiol level (CSF-E2) significantly influenced left (L) ONSD (p = 0.0421, R² = 0.1551) and right (R) ONSD (p = 0.0216, R² = 0.1938). Systolic blood pressure (SBP) was a significant independent variable for left intraocular pressure (LIOP) (p = 0.0122, R² = 0.2261), while body weight was a significant predictor for right intraocular pressure (RIOP) (p = 0.0008, R² = 0.3679).

Conclusions: This study revealed that CSF-E2 levels exert a significant influence on ONSD in dogs, whereas no direct association was observed between IOP and ONSD. These findings underscore the notion that ONSD is modulated not only by hemodynamic mechanisms but also by hormonal regulation.

Abstract Image

Abstract Image

Abstract Image

犬发情周期中脑脊液雌二醇波动及其与眼压和视神经鞘直径的关系:第一篇报告
目的:作为颅内压(ICP)指标的视神经鞘直径(ONSD)与眼内压(IOP)之间的关系存在争议。这项研究的两个目的是;首先,研究脑脊液雌二醇(E2)和孕酮(P4)水平对雌性犬ONSD的影响;其次,研究雌性犬ONSD与IOP的关系。方法:采用回弹眼压仪测量眼压,经椎体超声检查ONSD。采集脑脊液样本,采用酶联免疫吸附法(ELISA)测定E2和P4水平。采用多元回归分析评价各变量之间的关系。结果:脑脊液雌二醇水平(CSF-E2)显著影响左(L) ONSD (p = 0.0421, R²= 0.1551)和右(R) ONSD (p = 0.0216, R²= 0.1938)。收缩压(SBP)是左眼压(LIOP)的显著自变量(p = 0.0122, R²= 0.2261),体重是右眼压(RIOP)的显著预测因子(p = 0.0008, R²= 0.3679)。结论:本研究显示CSF-E2水平对狗的ONSD有显著影响,而IOP与ONSD之间没有直接关联。这些发现强调了ONSD不仅受血流动力学机制调节,还受激素调节的概念。
本文章由计算机程序翻译,如有差异,请以英文原文为准。
求助全文
约1分钟内获得全文 求助全文
来源期刊
Veterinary Research Communications
Veterinary Research Communications 农林科学-兽医学
CiteScore
2.50
自引率
0.00%
发文量
173
审稿时长
3 months
期刊介绍: Veterinary Research Communications publishes fully refereed research articles and topical reviews on all aspects of the veterinary sciences. Interdisciplinary articles are particularly encouraged, as are well argued reviews, even if they are somewhat controversial. The journal is an appropriate medium in which to publish new methods, newly described diseases and new pathological findings, as these are applied to animals. The material should be of international rather than local interest. As it deliberately seeks a wide coverage, Veterinary Research Communications provides its readers with a means of keeping abreast of current developments in the entire field of veterinary science.
×
引用
GB/T 7714-2015
复制
MLA
复制
APA
复制
导出至
BibTeX EndNote RefMan NoteFirst NoteExpress
×
提示
您的信息不完整,为了账户安全,请先补充。
现在去补充
×
提示
您因"违规操作"
具体请查看互助需知
我知道了
×
提示
确定
请完成安全验证×
copy
已复制链接
快去分享给好友吧!
我知道了
右上角分享
点击右上角分享
0
联系我们:info@booksci.cn Book学术提供免费学术资源搜索服务,方便国内外学者检索中英文文献。致力于提供最便捷和优质的服务体验。 Copyright © 2023 布克学术 All rights reserved.
京ICP备2023020795号-1
ghs 京公网安备 11010802042870号
Book学术文献互助
Book学术文献互助群
群 号:604180095
Book学术官方微信