Haemothorax as an Unusual Presentation of Osteochondroma: A case report and brief literature review.

Q3 Medicine
Jawahar H Al Noumani, Shathra S Al Rawahi, Abdullah G Alshaharli, Hatem Al Farhan, Adil H Al Kindi, Abdullah M Al Alawi
{"title":"Haemothorax as an Unusual Presentation of Osteochondroma: <i>A case report and brief literature review</i>.","authors":"Jawahar H Al Noumani, Shathra S Al Rawahi, Abdullah G Alshaharli, Hatem Al Farhan, Adil H Al Kindi, Abdullah M Al Alawi","doi":"10.18295/2075-0528.2823","DOIUrl":null,"url":null,"abstract":"<p><p>Exostosis, or osteochondroma, is an irregular bone growth commonly occurring near the femur, scapula, humerus and ribs. It can be a single isolated lesion or multiple lesions as in hereditary multiple exostoses (HME) which is a genetic autosomal dominant disorder. Although often asymptomatic, complications such as haemothorax are rare and have serious implications if not promptly recognised. We report a 15-year-old male patient who presented to a tertiary care hospital in Muscat, Oman, in 2023 who presented with progressive chest pain and dyspnoea. The patient had a family history of HME. Video-assisted thoracoscopic surgery (VATS) confirmed the osteochondromatous lesions on the 8th rib, which was causing the haemothorax. The lesion was resected and post-surgery, the symptoms resolved. No recurrence was documented up to the time of writing this report.</p>","PeriodicalId":22083,"journal":{"name":"Sultan Qaboos University Medical Journal","volume":"25 1","pages":"288-292"},"PeriodicalIF":0.0000,"publicationDate":"2025-05-02","publicationTypes":"Journal Article","fieldsOfStudy":null,"isOpenAccess":false,"openAccessPdf":"https://www.ncbi.nlm.nih.gov/pmc/articles/PMC12240124/pdf/","citationCount":"0","resultStr":null,"platform":"Semanticscholar","paperid":null,"PeriodicalName":"Sultan Qaboos University Medical Journal","FirstCategoryId":"1085","ListUrlMain":"https://doi.org/10.18295/2075-0528.2823","RegionNum":0,"RegionCategory":null,"ArticlePicture":[],"TitleCN":null,"AbstractTextCN":null,"PMCID":null,"EPubDate":"","PubModel":"","JCR":"Q3","JCRName":"Medicine","Score":null,"Total":0}
引用次数: 0

Abstract

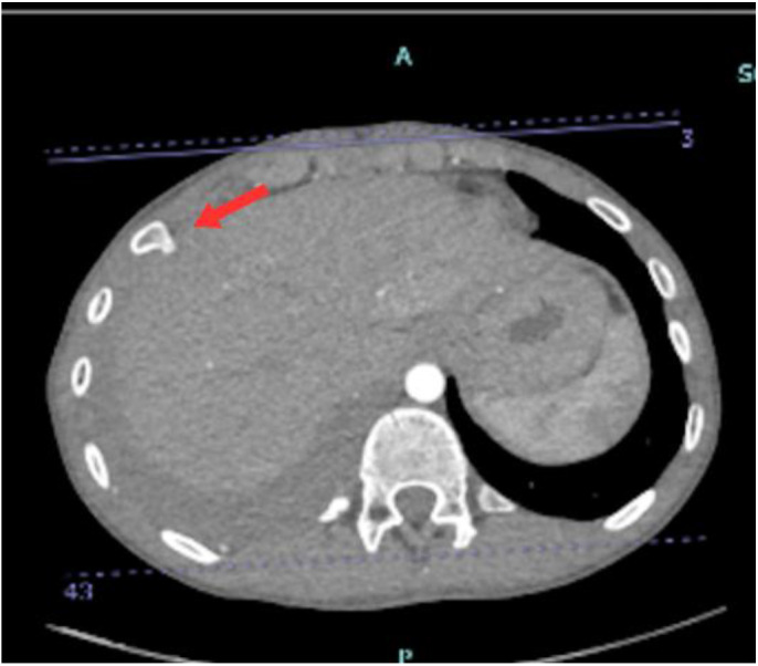
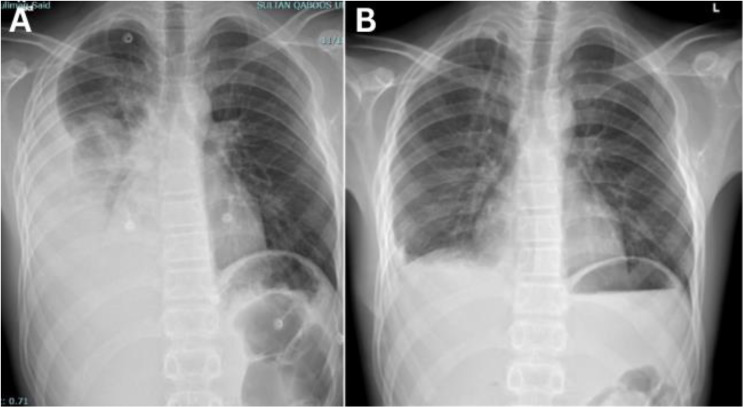
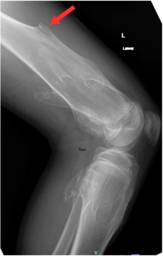
Exostosis, or osteochondroma, is an irregular bone growth commonly occurring near the femur, scapula, humerus and ribs. It can be a single isolated lesion or multiple lesions as in hereditary multiple exostoses (HME) which is a genetic autosomal dominant disorder. Although often asymptomatic, complications such as haemothorax are rare and have serious implications if not promptly recognised. We report a 15-year-old male patient who presented to a tertiary care hospital in Muscat, Oman, in 2023 who presented with progressive chest pain and dyspnoea. The patient had a family history of HME. Video-assisted thoracoscopic surgery (VATS) confirmed the osteochondromatous lesions on the 8th rib, which was causing the haemothorax. The lesion was resected and post-surgery, the symptoms resolved. No recurrence was documented up to the time of writing this report.

Abstract Image

Abstract Image

Abstract Image

血胸是骨软骨瘤的一种不寻常的表现:1例报告和简短的文献复习。
骨软骨瘤是一种不规则的骨生长,常见于股骨、肩胛骨、肱骨和肋骨附近。它可以是一个单独的病变或多个病变,如遗传性多发性外生骨病(HME),这是一种遗传常染色体显性遗传病。虽然通常无症状,但并发症如血胸是罕见的,如果不及时发现会有严重的影响。我们报告了一名15岁的男性患者,他于2023年在阿曼马斯喀特的一家三级保健医院就诊,表现为进行性胸痛和呼吸困难。患者有HME家族史。视频胸腔镜手术(VATS)证实了第八肋骨的骨软骨瘤病变,这是导致血胸的原因。病变被切除,术后症状消失。在撰写本报告时,没有复发的记录。
本文章由计算机程序翻译,如有差异,请以英文原文为准。
求助全文
约1分钟内获得全文 求助全文
来源期刊
CiteScore
2.00
自引率
0.00%
发文量
86
审稿时长
7 weeks
×
引用
GB/T 7714-2015
复制
MLA
复制
APA
复制
导出至
BibTeX EndNote RefMan NoteFirst NoteExpress
×
提示
您的信息不完整,为了账户安全,请先补充。
现在去补充
×
提示
您因"违规操作"
具体请查看互助需知
我知道了
×
提示
确定
请完成安全验证×
copy
已复制链接
快去分享给好友吧!
我知道了
右上角分享
点击右上角分享
0
联系我们:info@booksci.cn Book学术提供免费学术资源搜索服务,方便国内外学者检索中英文文献。致力于提供最便捷和优质的服务体验。 Copyright © 2023 布克学术 All rights reserved.
京ICP备2023020795号-1
ghs 京公网安备 11010802042870号
Book学术文献互助
Book学术文献互助群
群 号:604180095
Book学术官方微信