Endobronchial Metastasis with Extension to the Left Atrium from Adenocarcinoma of Gastric 3 Years after Total Gastrectomy.

Q3 Medicine
Behnam Shakerian, Mohammad H Mandegar
{"title":"Endobronchial Metastasis with Extension to the Left Atrium from Adenocarcinoma of Gastric 3 Years after Total Gastrectomy.","authors":"Behnam Shakerian, Mohammad H Mandegar","doi":"10.18295/squmj.10.2024.066","DOIUrl":null,"url":null,"abstract":"<p><p>Endobronchial metastases extending to the heart from gastric cancer are rare. This case report describes a 69-year-old man who presented to a tertiary care hospital in Shahrekord, Iran, in 2022 with a history of cough and haemoptysis. He had previously undergone total gastrectomy and adjuvant chemotherapy for gastric adenocarcinoma three years earlier. Imaging and pathological evaluation confirmed endobronchial metastasis with extension to the left atrium. The patient responded well to chemoradiotherapy, maintaining a good quality of life.</p>","PeriodicalId":22083,"journal":{"name":"Sultan Qaboos University Medical Journal","volume":"25 1","pages":"150-153"},"PeriodicalIF":0.0000,"publicationDate":"2025-05-02","publicationTypes":"Journal Article","fieldsOfStudy":null,"isOpenAccess":false,"openAccessPdf":"https://www.ncbi.nlm.nih.gov/pmc/articles/PMC12244285/pdf/","citationCount":"0","resultStr":null,"platform":"Semanticscholar","paperid":null,"PeriodicalName":"Sultan Qaboos University Medical Journal","FirstCategoryId":"1085","ListUrlMain":"https://doi.org/10.18295/squmj.10.2024.066","RegionNum":0,"RegionCategory":null,"ArticlePicture":[],"TitleCN":null,"AbstractTextCN":null,"PMCID":null,"EPubDate":"","PubModel":"","JCR":"Q3","JCRName":"Medicine","Score":null,"Total":0}
引用次数: 0

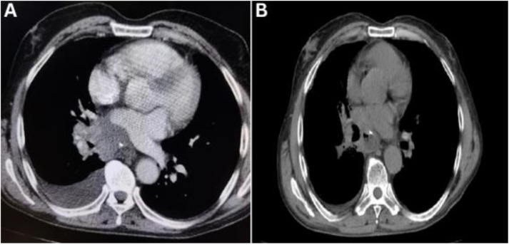
Abstract

Endobronchial metastases extending to the heart from gastric cancer are rare. This case report describes a 69-year-old man who presented to a tertiary care hospital in Shahrekord, Iran, in 2022 with a history of cough and haemoptysis. He had previously undergone total gastrectomy and adjuvant chemotherapy for gastric adenocarcinoma three years earlier. Imaging and pathological evaluation confirmed endobronchial metastasis with extension to the left atrium. The patient responded well to chemoradiotherapy, maintaining a good quality of life.

Abstract Image

Abstract Image

Abstract Image

全胃切除术后3年胃腺癌支气管内转移并向左心房转移。
胃癌支气管内转移到心脏是罕见的。本病例报告描述了一名69岁男子,他于2022年因咳嗽和咯血病史到伊朗Shahrekord的一家三级保健医院就诊。三年前,他曾因胃腺癌接受全胃切除术和辅助化疗。影像学和病理检查证实支气管内转移并延伸至左心房。患者对放化疗反应良好,维持了良好的生活质量。
本文章由计算机程序翻译,如有差异,请以英文原文为准。
求助全文
约1分钟内获得全文 求助全文
来源期刊
CiteScore
2.00
自引率
0.00%
发文量
86
审稿时长
7 weeks
×
引用
GB/T 7714-2015
复制
MLA
复制
APA
复制
导出至
BibTeX EndNote RefMan NoteFirst NoteExpress
×
提示
您的信息不完整,为了账户安全,请先补充。
现在去补充
×
提示
您因"违规操作"
具体请查看互助需知
我知道了
×
提示
确定
请完成安全验证×
copy
已复制链接
快去分享给好友吧!
我知道了
右上角分享
点击右上角分享
0
联系我们:info@booksci.cn Book学术提供免费学术资源搜索服务,方便国内外学者检索中英文文献。致力于提供最便捷和优质的服务体验。 Copyright © 2023 布克学术 All rights reserved.
京ICP备2023020795号-1
ghs 京公网安备 11010802042870号
Book学术文献互助
Book学术文献互助群
群 号:604180095
Book学术官方微信