Cerebral Abscess and epidural empyema in a young immunocompetent patient caused by Streptococcus constellatus.

IF 2.3 4区 医学 Q2 PARASITOLOGY
Matheus Felipe Dantas Krause, Mariângela Ribeiro Resende, Gabriela Romantini Salioni, Vinicius de Menezes Jarry, Fabiano Reis
{"title":"Cerebral Abscess and epidural empyema in a young immunocompetent patient caused by Streptococcus constellatus.","authors":"Matheus Felipe Dantas Krause, Mariângela Ribeiro Resende, Gabriela Romantini Salioni, Vinicius de Menezes Jarry, Fabiano Reis","doi":"10.1590/0037-8682-0031-2025","DOIUrl":null,"url":null,"abstract":"<p><p>Streptococcus constellatus, a member of the Streptococcus anginosus group, is a commensal bacterium that causes pyogenic infections, particularly abscesses. This report describes the case of a 28-year-old immunocompetent man who developed a brain abscess and epidural empyema after pneumonia. MRI suggested an abscess, which was confirmed by culture, revealing S. constellatus. Treatment included abscess drainage and ceftriaxone administration, which led to a full recovery. Diagnosis is challenging because of overlapping features with other bacteria. Imaging and culturing are crucial for identification. This case highlights the importance of considering S. constellatus in central nervous system infections, even in immunocompetent individuals.</p>","PeriodicalId":21199,"journal":{"name":"Revista da Sociedade Brasileira de Medicina Tropical","volume":"58 ","pages":"e00312025"},"PeriodicalIF":2.3000,"publicationDate":"2025-07-07","publicationTypes":"Journal Article","fieldsOfStudy":null,"isOpenAccess":false,"openAccessPdf":"https://www.ncbi.nlm.nih.gov/pmc/articles/PMC12233747/pdf/","citationCount":"0","resultStr":null,"platform":"Semanticscholar","paperid":null,"PeriodicalName":"Revista da Sociedade Brasileira de Medicina Tropical","FirstCategoryId":"3","ListUrlMain":"https://doi.org/10.1590/0037-8682-0031-2025","RegionNum":4,"RegionCategory":"医学","ArticlePicture":[],"TitleCN":null,"AbstractTextCN":null,"PMCID":null,"EPubDate":"2025/1/1 0:00:00","PubModel":"eCollection","JCR":"Q2","JCRName":"PARASITOLOGY","Score":null,"Total":0}
引用次数: 0

Abstract

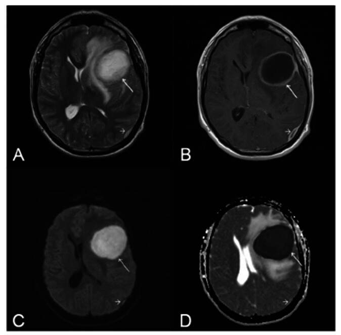
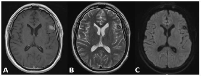
Streptococcus constellatus, a member of the Streptococcus anginosus group, is a commensal bacterium that causes pyogenic infections, particularly abscesses. This report describes the case of a 28-year-old immunocompetent man who developed a brain abscess and epidural empyema after pneumonia. MRI suggested an abscess, which was confirmed by culture, revealing S. constellatus. Treatment included abscess drainage and ceftriaxone administration, which led to a full recovery. Diagnosis is challenging because of overlapping features with other bacteria. Imaging and culturing are crucial for identification. This case highlights the importance of considering S. constellatus in central nervous system infections, even in immunocompetent individuals.

Abstract Image

Abstract Image

年轻免疫正常患者由星座链球菌引起的脑脓肿和硬膜外脓肿。
星座链球菌属血管链球菌属,是一种共生细菌,可引起化脓性感染,尤其是脓肿。这个报告描述了一个28岁的免疫能力的人谁发展脑脓肿和硬膜外脓肿肺炎后。MRI提示脓肿,经培养证实为星状棘球蚴。治疗包括脓肿引流和头孢曲松给予,导致完全恢复。诊断是具有挑战性的,因为与其他细菌重叠的特征。成像和培养是鉴定的关键。本病例强调了在中枢神经系统感染中考虑星状球菌的重要性,即使是在免疫正常的个体中。
本文章由计算机程序翻译,如有差异,请以英文原文为准。
求助全文
约1分钟内获得全文 求助全文
来源期刊
CiteScore
3.40
自引率
10.00%
发文量
195
审稿时长
3-8 weeks
期刊介绍: The Journal of the Brazilian Society of Tropical Medicine (JBSTM) isan official journal of the Brazilian Society of Tropical Medicine) with open access. It is amultidisciplinary journal that publishes original researches related totropical diseases, preventive medicine, public health, infectious diseasesand related matters. Preference for publication will be given to articlesreporting original observations or researches. The journal has a peer-reviewsystem for articles acceptance and its periodicity is bimonthly. The Journalof the Brazilian Society of Tropical Medicine is published in English.The journal invites to publication Major Articles, Editorials, Reviewand Mini-Review Articles, Short Communications, Case Reports, TechnicalReports, Images in Infectious Diseases, Letters, Supplements and Obituaries.
×
引用
GB/T 7714-2015
复制
MLA
复制
APA
复制
导出至
BibTeX EndNote RefMan NoteFirst NoteExpress
×
提示
您的信息不完整,为了账户安全,请先补充。
现在去补充
×
提示
您因"违规操作"
具体请查看互助需知
我知道了
×
提示
确定
请完成安全验证×
copy
已复制链接
快去分享给好友吧!
我知道了
右上角分享
点击右上角分享
0
联系我们:info@booksci.cn Book学术提供免费学术资源搜索服务,方便国内外学者检索中英文文献。致力于提供最便捷和优质的服务体验。 Copyright © 2023 布克学术 All rights reserved.
京ICP备2023020795号-1
ghs 京公网安备 11010802042870号
Book学术文献互助
Book学术文献互助群
群 号:604180095
Book学术官方微信