Occurrence and outcomes of retrobulbar haematoma in 2149 orbital fracture patients.

IF 1.8
Matilda Narjus-Sterba, Tero Puolakkainen, Linda Kokko, Hanna Thorén, Johanna Snäll
{"title":"Occurrence and outcomes of retrobulbar haematoma in 2149 orbital fracture patients.","authors":"Matilda Narjus-Sterba, Tero Puolakkainen, Linda Kokko, Hanna Thorén, Johanna Snäll","doi":"10.1007/s10006-025-01427-2","DOIUrl":null,"url":null,"abstract":"<p><strong>Purpose: </strong>We identified the occurrence of acute retrobulbar haematoma (RBH) across a complete range of orbital fractures and determined clinical and radiological findings that could predict permanent vision loss associated with RBH.</p><p><strong>Methods: </strong>A retrospective analysis was conducted on data from facial trauma patients, encompassing a comprehensive range of orbital fractures. The primary outcome variable was the presence of acute RBH that required surgical or medical treatment. The main predictor variables were the types of orbital fractures. We collected data on symptoms, clinical and radiological findings, treatment, and instances of vision loss to assess the relationship between these factors and vision impairment.</p><p><strong>Results: </strong>Of the 2149 patients with orbital fractures, 28 (1.3%) presented with acute RBH, including two bilateral haematomas, bringing the total number of RBHs to 30. Specific injury mechanisms were statistically associated with RBH (p = 0.005), with high-energy injuries being the most frequent cause. The prevalence of RBH was higher in bilateral than unilateral fractures (3.1% vs. 1.1%) (p = 0.023). Among unilateral fractures, RBH was most strongly linked to orbital roof and rim fractures. Tenting or tuliped-like appearance on computed tomography and absence of pupillary light reflex were more common in patients with permanent vision loss. Type of surgical approach did not affect visual outcome.</p><p><strong>Conclusion: </strong>Acute RBH appears to occur more frequently in patients with orbital fractures than previously reported. Clinicians managing facial fractures need to be trained to diagnose RBH promptly and identify indicators of potential vision loss, particularly tenting on radiological images and changes in pupillary reflex.</p>","PeriodicalId":520733,"journal":{"name":"Oral and maxillofacial surgery","volume":"29 1","pages":"134"},"PeriodicalIF":1.8000,"publicationDate":"2025-07-10","publicationTypes":"Journal Article","fieldsOfStudy":null,"isOpenAccess":false,"openAccessPdf":"https://www.ncbi.nlm.nih.gov/pmc/articles/PMC12245962/pdf/","citationCount":"0","resultStr":null,"platform":"Semanticscholar","paperid":null,"PeriodicalName":"Oral and maxillofacial surgery","FirstCategoryId":"1085","ListUrlMain":"https://doi.org/10.1007/s10006-025-01427-2","RegionNum":0,"RegionCategory":null,"ArticlePicture":[],"TitleCN":null,"AbstractTextCN":null,"PMCID":null,"EPubDate":"","PubModel":"","JCR":"","JCRName":"","Score":null,"Total":0}
引用次数: 0

Abstract

Purpose: We identified the occurrence of acute retrobulbar haematoma (RBH) across a complete range of orbital fractures and determined clinical and radiological findings that could predict permanent vision loss associated with RBH.

Methods: A retrospective analysis was conducted on data from facial trauma patients, encompassing a comprehensive range of orbital fractures. The primary outcome variable was the presence of acute RBH that required surgical or medical treatment. The main predictor variables were the types of orbital fractures. We collected data on symptoms, clinical and radiological findings, treatment, and instances of vision loss to assess the relationship between these factors and vision impairment.

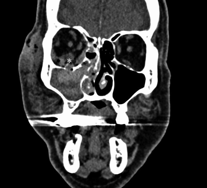
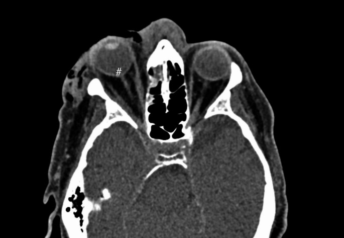
Results: Of the 2149 patients with orbital fractures, 28 (1.3%) presented with acute RBH, including two bilateral haematomas, bringing the total number of RBHs to 30. Specific injury mechanisms were statistically associated with RBH (p = 0.005), with high-energy injuries being the most frequent cause. The prevalence of RBH was higher in bilateral than unilateral fractures (3.1% vs. 1.1%) (p = 0.023). Among unilateral fractures, RBH was most strongly linked to orbital roof and rim fractures. Tenting or tuliped-like appearance on computed tomography and absence of pupillary light reflex were more common in patients with permanent vision loss. Type of surgical approach did not affect visual outcome.

Conclusion: Acute RBH appears to occur more frequently in patients with orbital fractures than previously reported. Clinicians managing facial fractures need to be trained to diagnose RBH promptly and identify indicators of potential vision loss, particularly tenting on radiological images and changes in pupillary reflex.

Abstract Image

Abstract Image

2149例眼眶骨折患者球后血肿的发生及预后。
目的:我们确定了急性球后血肿(RBH)在全范围眶骨折中的发生,并确定了临床和放射学表现,可以预测RBH相关的永久性视力丧失。方法:对颜面外伤患者的资料进行回顾性分析,包括眼眶骨折。主要结局变量是是否存在需要手术或药物治疗的急性RBH。主要预测变量为眼眶骨折类型。我们收集了症状、临床和放射学表现、治疗和视力丧失实例的数据,以评估这些因素与视力损害之间的关系。结果:2149例眼眶骨折患者中,28例(1.3%)出现急性眼眶出血,包括2例双侧血肿,使眼眶出血总数达到30例。特殊损伤机制与RBH有统计学关联(p = 0.005),高能损伤是最常见的原因。双侧骨折的RBH发生率高于单侧骨折(3.1%比1.1%)(p = 0.023)。在单侧骨折中,RBH与眶顶和眶缘骨折的关系最为密切。在永久性视力丧失的患者中,计算机断层扫描显示帐篷状或郁金香状外观以及瞳孔光反射缺失更为常见。手术方式对视力无影响。结论:急性RBH在眼眶骨折患者中发生的频率比以前报道的要高。处理面部骨折的临床医生需要接受培训,以及时诊断RBH并识别潜在视力丧失的指标,特别是放射图像和瞳孔反射的变化。
本文章由计算机程序翻译,如有差异,请以英文原文为准。
求助全文
约1分钟内获得全文 求助全文
来源期刊
自引率
0.00%
发文量
0
×
引用
GB/T 7714-2015
复制
MLA
复制
APA
复制
导出至
BibTeX EndNote RefMan NoteFirst NoteExpress
×
提示
您的信息不完整,为了账户安全,请先补充。
现在去补充
×
提示
您因"违规操作"
具体请查看互助需知
我知道了
×
提示
确定
请完成安全验证×
copy
已复制链接
快去分享给好友吧!
我知道了
右上角分享
点击右上角分享
0
联系我们:info@booksci.cn Book学术提供免费学术资源搜索服务,方便国内外学者检索中英文文献。致力于提供最便捷和优质的服务体验。 Copyright © 2023 布克学术 All rights reserved.
京ICP备2023020795号-1
ghs 京公网安备 11010802042870号
Book学术文献互助
Book学术文献互助群
群 号:604180095
Book学术官方微信