Subacute herpes simplex virus type 1 encephalitis: a case report.

Encephalitis (Seoul, Korea) Pub Date : 2025-07-01 Epub Date: 2025-07-10 DOI:10.47936/encephalitis.2025.00024
Maria Lypiridou, Konstantinos Kalafatakis, Kyriaki Astara, Anna Margoni, Eleftheria Karakatsani, Georgios Stouraitis
{"title":"Subacute herpes simplex virus type 1 encephalitis: a case report.","authors":"Maria Lypiridou, Konstantinos Kalafatakis, Kyriaki Astara, Anna Margoni, Eleftheria Karakatsani, Georgios Stouraitis","doi":"10.47936/encephalitis.2025.00024","DOIUrl":null,"url":null,"abstract":"<p><p>Herpes simplex encephalitis (HSE) is a potentially fatal infection of the brain parenchyma with high mortality rates when left untreated. It typically affects the medial temporal lobe, and patients commonly present with headache, fever, and altered mental status. The combination of clinical findings and brain imaging should raise suspicion, whereas cerebrospinal fluid (CSF) analysis should establish the diagnosis. In a few cases, HSE presents with subacute progression, making diagnosis more challenging. Treatment with acyclovir should begin immediately after HSE is suspected; otherwise, the mortality rate is high. Herein, we present a rare case of HSE with a subacute course admitted to the emergency department because of an episode of syncope with concomitant bradycardia. HSE symptoms developed gradually during the first week after hospitalization. Typical imaging findings, CSF analysis, and polymerase chain reaction results positive for herpes simplex virus-1 confirmed a diagnosis of HSE. The insidious symptomatology of this case led to delayed acyclovir administration and the patient unfortunately died 4 days after diagnosis.</p>","PeriodicalId":72904,"journal":{"name":"Encephalitis (Seoul, Korea)","volume":"5 3","pages":"77-81"},"PeriodicalIF":0.0000,"publicationDate":"2025-07-01","publicationTypes":"Journal Article","fieldsOfStudy":null,"isOpenAccess":false,"openAccessPdf":"https://www.ncbi.nlm.nih.gov/pmc/articles/PMC12268046/pdf/","citationCount":"0","resultStr":null,"platform":"Semanticscholar","paperid":null,"PeriodicalName":"Encephalitis (Seoul, Korea)","FirstCategoryId":"1085","ListUrlMain":"https://doi.org/10.47936/encephalitis.2025.00024","RegionNum":0,"RegionCategory":null,"ArticlePicture":[],"TitleCN":null,"AbstractTextCN":null,"PMCID":null,"EPubDate":"2025/7/10 0:00:00","PubModel":"Epub","JCR":"","JCRName":"","Score":null,"Total":0}
引用次数: 0

Abstract

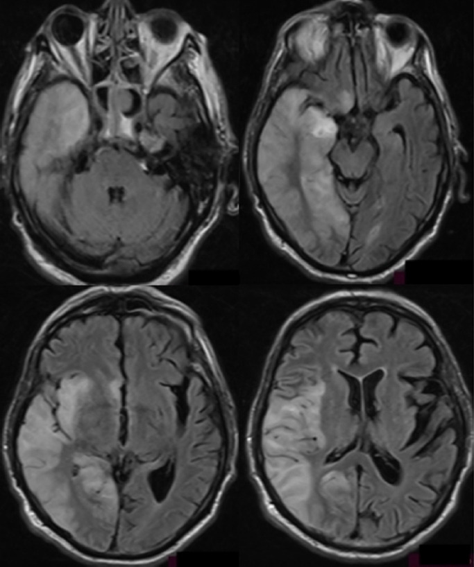
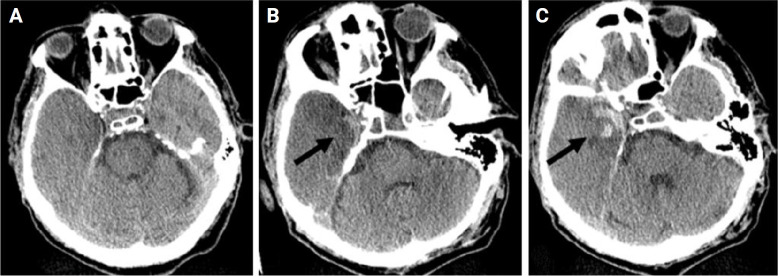
Herpes simplex encephalitis (HSE) is a potentially fatal infection of the brain parenchyma with high mortality rates when left untreated. It typically affects the medial temporal lobe, and patients commonly present with headache, fever, and altered mental status. The combination of clinical findings and brain imaging should raise suspicion, whereas cerebrospinal fluid (CSF) analysis should establish the diagnosis. In a few cases, HSE presents with subacute progression, making diagnosis more challenging. Treatment with acyclovir should begin immediately after HSE is suspected; otherwise, the mortality rate is high. Herein, we present a rare case of HSE with a subacute course admitted to the emergency department because of an episode of syncope with concomitant bradycardia. HSE symptoms developed gradually during the first week after hospitalization. Typical imaging findings, CSF analysis, and polymerase chain reaction results positive for herpes simplex virus-1 confirmed a diagnosis of HSE. The insidious symptomatology of this case led to delayed acyclovir administration and the patient unfortunately died 4 days after diagnosis.

Abstract Image

Abstract Image

Abstract Image

亚急性单纯疱疹病毒1型脑炎1例报告。
单纯疱疹性脑炎(HSE)是一种潜在的致命的脑实质感染,如果不及时治疗,死亡率很高。它通常影响内侧颞叶,患者通常表现为头痛、发烧和精神状态改变。临床表现和脑成像相结合应引起怀疑,而脑脊液(CSF)分析应建立诊断。在少数病例中,HSE表现为亚急性进展,这使得诊断更具挑战性。在怀疑HSE后应立即开始用阿昔洛韦治疗;否则,死亡率很高。在此,我们提出了一个罕见的病例HSE与亚急性病程入院的急诊科,因为晕厥发作伴有心动过缓。入院后1周,HSE症状逐渐出现。典型的影像学表现、脑脊液分析和聚合酶链反应结果均为单纯疱疹病毒-1阳性,确诊为HSE。该病例隐匿的症状导致阿昔洛韦给药延迟,患者不幸在诊断后4天死亡。
本文章由计算机程序翻译,如有差异,请以英文原文为准。
求助全文
约1分钟内获得全文 求助全文
来源期刊
自引率
0.00%
发文量
0
×
引用
GB/T 7714-2015
复制
MLA
复制
APA
复制
导出至
BibTeX EndNote RefMan NoteFirst NoteExpress
×
提示
您的信息不完整,为了账户安全,请先补充。
现在去补充
×
提示
您因"违规操作"
具体请查看互助需知
我知道了
×
提示
确定
请完成安全验证×
copy
已复制链接
快去分享给好友吧!
我知道了
右上角分享
点击右上角分享
0
联系我们:info@booksci.cn Book学术提供免费学术资源搜索服务,方便国内外学者检索中英文文献。致力于提供最便捷和优质的服务体验。 Copyright © 2023 布克学术 All rights reserved.
京ICP备2023020795号-1
ghs 京公网安备 11010802042870号
Book学术文献互助
Book学术文献互助群
群 号:604180095
Book学术官方微信