Cutaneous Granular Cell Tumor in a Middle-aged Woman: Clinicopathological Insights from a Rare Schwannian Neoplasm.

IF 1 Q3 OBSTETRICS & GYNECOLOGY
Journal of Mid-life Health Pub Date : 2025-04-01 Epub Date: 2025-06-23 DOI:10.4103/jmh.jmh_62_25
Seetu Palo, Monica Mishra, Kailas Anteshwar Mulsange
{"title":"Cutaneous Granular Cell Tumor in a Middle-aged Woman: Clinicopathological Insights from a Rare Schwannian Neoplasm.","authors":"Seetu Palo, Monica Mishra, Kailas Anteshwar Mulsange","doi":"10.4103/jmh.jmh_62_25","DOIUrl":null,"url":null,"abstract":"<p><p>We report the case of a 51-year-old female with an unusual presentation of a cutaneous granular cell tumor (GCT) on the lower back. The lesion was asymptomatic, well-defined, and firm, with an initial clinical differential of dermatofibroma, pilomatricoma, or leiomyoma. Histopathological examination revealed a dermal tumor composed of large polygonal cells with granular eosinophilic cytoplasm and uniform nuclei, without atypia or necrosis. Immunohistochemistry confirmed the diagnosis with strong S100 and CD68 positivity. Due to tumor extension tumor extension to the deep resection margin, close follow-up was advised. Accurate diagnosis of cutaneous GCTs relies on histopathology and immunohistochemistry, as clinical and dermoscopic findings are often nonspecific. Complete surgical excision is the primary treatment, with a generally favorable prognosis. Awareness of malignant potential and proper surgical management is crucial for optimal outcomes.</p>","PeriodicalId":37717,"journal":{"name":"Journal of Mid-life Health","volume":"16 2","pages":"218-220"},"PeriodicalIF":1.0000,"publicationDate":"2025-04-01","publicationTypes":"Journal Article","fieldsOfStudy":null,"isOpenAccess":false,"openAccessPdf":"https://www.ncbi.nlm.nih.gov/pmc/articles/PMC12237188/pdf/","citationCount":"0","resultStr":null,"platform":"Semanticscholar","paperid":null,"PeriodicalName":"Journal of Mid-life Health","FirstCategoryId":"1085","ListUrlMain":"https://doi.org/10.4103/jmh.jmh_62_25","RegionNum":0,"RegionCategory":null,"ArticlePicture":[],"TitleCN":null,"AbstractTextCN":null,"PMCID":null,"EPubDate":"2025/6/23 0:00:00","PubModel":"Epub","JCR":"Q3","JCRName":"OBSTETRICS & GYNECOLOGY","Score":null,"Total":0}
引用次数: 0

Abstract

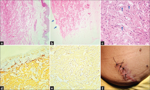
We report the case of a 51-year-old female with an unusual presentation of a cutaneous granular cell tumor (GCT) on the lower back. The lesion was asymptomatic, well-defined, and firm, with an initial clinical differential of dermatofibroma, pilomatricoma, or leiomyoma. Histopathological examination revealed a dermal tumor composed of large polygonal cells with granular eosinophilic cytoplasm and uniform nuclei, without atypia or necrosis. Immunohistochemistry confirmed the diagnosis with strong S100 and CD68 positivity. Due to tumor extension tumor extension to the deep resection margin, close follow-up was advised. Accurate diagnosis of cutaneous GCTs relies on histopathology and immunohistochemistry, as clinical and dermoscopic findings are often nonspecific. Complete surgical excision is the primary treatment, with a generally favorable prognosis. Awareness of malignant potential and proper surgical management is crucial for optimal outcomes.

Abstract Image

中年妇女皮肤颗粒细胞瘤:罕见许旺氏肿瘤的临床病理观察。
我们报告一例51岁的女性与一个不寻常的皮肤颗粒细胞瘤(GCT)的表现下背部。病变无症状,界限分明,且坚固,初步临床鉴别为皮肤纤维瘤、毛瘤或平滑肌瘤。组织病理学检查显示真皮肿瘤,由大的多边形细胞组成,颗粒状嗜酸性细胞质和均匀的细胞核,无异型性或坏死。免疫组化证实S100和CD68阳性。由于肿瘤延伸至深切缘,建议密切随访。皮肤gct的准确诊断依赖于组织病理学和免疫组织化学,因为临床和皮肤镜检查的结果往往是非特异性的。完全手术切除是主要的治疗方法,通常预后良好。意识到潜在的恶性肿瘤和适当的手术治疗是获得最佳结果的关键。
本文章由计算机程序翻译,如有差异,请以英文原文为准。
求助全文
约1分钟内获得全文 求助全文
来源期刊
Journal of Mid-life Health
Journal of Mid-life Health Social Sciences-Health (social science)
CiteScore
1.70
自引率
9.10%
发文量
39
审稿时长
43 weeks
期刊介绍: Journal of mid-life health is the official journal of the Indian Menopause society published Quarterly in January, April, July and October. It is peer reviewed, scientific journal of mid-life health and its problems. It includes all aspects of mid-life health, preventive as well as curative. The journal publishes on subjects such as gynecology, neurology, geriatrics, psychiatry, endocrinology, urology, andrology, psychology, healthy ageing, cardiovascular health, bone health, quality of life etc. as relevant of men and women in their midlife. The Journal provides a visible platform to the researchers as well as clinicians to publish their experiences in this area thereby helping in the promotion of mid-life health leading to healthy ageing, growing need due to increasing life expectancy. The Editorial team has maintained high standards and published original research papers, case reports and review articles from the best of the best contributors both national & international, consistently so that now, it has become a great tool in the hands of menopause practitioners.
×
引用
GB/T 7714-2015
复制
MLA
复制
APA
复制
导出至
BibTeX EndNote RefMan NoteFirst NoteExpress
×
提示
您的信息不完整,为了账户安全,请先补充。
现在去补充
×
提示
您因"违规操作"
具体请查看互助需知
我知道了
×
提示
确定
请完成安全验证×
copy
已复制链接
快去分享给好友吧!
我知道了
右上角分享
点击右上角分享
0
联系我们:info@booksci.cn Book学术提供免费学术资源搜索服务,方便国内外学者检索中英文文献。致力于提供最便捷和优质的服务体验。 Copyright © 2023 布克学术 All rights reserved.
京ICP备2023020795号-1
ghs 京公网安备 11010802042870号
Book学术文献互助
Book学术文献互助群
群 号:604180095
Book学术官方微信