Comparative evaluation of immediately loaded implants in both immediate and delayed implant placement with cone-beam computed tomography analysis.

Q2 Dentistry
Vedhavani Muthaiyan, Malathi Krishnamurthi, Muthukumaraswamy Arunachalam, Shabbir Ahamed Mujeeb, Chagnoor Hima Bindu Reddy
{"title":"Comparative evaluation of immediately loaded implants in both immediate and delayed implant placement with cone-beam computed tomography analysis.","authors":"Vedhavani Muthaiyan, Malathi Krishnamurthi, Muthukumaraswamy Arunachalam, Shabbir Ahamed Mujeeb, Chagnoor Hima Bindu Reddy","doi":"10.4103/jisp.jisp_445_23","DOIUrl":null,"url":null,"abstract":"<p><strong>Background: </strong>Conventionally, dental implants were placed several months after tooth extraction. Immediate implants were placed on the same day of extraction along with the conservation of the crestal bone. Immediate loading of implant facilitates immediate prosthetic reconstruction within 48 h of implant placement. In this study, both immediate and delayed implants were loaded immediately and their peri-implant bone loss, implant stability, and the soft-tissue outcomes around the implant were evaluated.</p><p><strong>Materials and methods: </strong>Fourteen patients were included in this study, of which seven patients were under Group A (delayed) and seven patients were under Group B (immediate). The clinical evaluation was done at baseline, 3 months, and 6 months which includes plaque scores, bleeding on probing, and probing depth. Implant stability was tested by resonance frequency analyzer (implant stability quotient), and radiological evaluation of crestal bone loss was done by cone-beam computed tomography preoperatively and after 6 months.</p><p><strong>Results: </strong>In this study, there was no statistically significant difference (<i>P</i> > 0.05) in the clinical parameters (plaque index, bleeding on probing, and probing depth) and radiological outcomes within the groups at baseline, 3 months, and 6 months. The implant stability quotient and crestal bone loss between Groups A and B showed a statistically significant difference at baseline and 6 months, wherein there were higher implant stability and decreased crestal bone loss in Group A when compared to Group B.</p><p><strong>Conclusion: </strong>Delayed implants with immediate loading were superior to immediate implants with immediate loading.</p>","PeriodicalId":15890,"journal":{"name":"Journal of Indian Society of Periodontology","volume":"29 1","pages":"14-19"},"PeriodicalIF":0.0000,"publicationDate":"2025-01-01","publicationTypes":"Journal Article","fieldsOfStudy":null,"isOpenAccess":false,"openAccessPdf":"https://www.ncbi.nlm.nih.gov/pmc/articles/PMC12237164/pdf/","citationCount":"0","resultStr":null,"platform":"Semanticscholar","paperid":null,"PeriodicalName":"Journal of Indian Society of Periodontology","FirstCategoryId":"1085","ListUrlMain":"https://doi.org/10.4103/jisp.jisp_445_23","RegionNum":0,"RegionCategory":null,"ArticlePicture":[],"TitleCN":null,"AbstractTextCN":null,"PMCID":null,"EPubDate":"2025/6/10 0:00:00","PubModel":"Epub","JCR":"Q2","JCRName":"Dentistry","Score":null,"Total":0}
引用次数: 0

Abstract

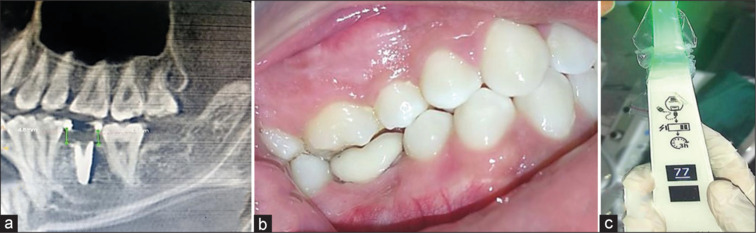
Background: Conventionally, dental implants were placed several months after tooth extraction. Immediate implants were placed on the same day of extraction along with the conservation of the crestal bone. Immediate loading of implant facilitates immediate prosthetic reconstruction within 48 h of implant placement. In this study, both immediate and delayed implants were loaded immediately and their peri-implant bone loss, implant stability, and the soft-tissue outcomes around the implant were evaluated.

Materials and methods: Fourteen patients were included in this study, of which seven patients were under Group A (delayed) and seven patients were under Group B (immediate). The clinical evaluation was done at baseline, 3 months, and 6 months which includes plaque scores, bleeding on probing, and probing depth. Implant stability was tested by resonance frequency analyzer (implant stability quotient), and radiological evaluation of crestal bone loss was done by cone-beam computed tomography preoperatively and after 6 months.

Results: In this study, there was no statistically significant difference (P > 0.05) in the clinical parameters (plaque index, bleeding on probing, and probing depth) and radiological outcomes within the groups at baseline, 3 months, and 6 months. The implant stability quotient and crestal bone loss between Groups A and B showed a statistically significant difference at baseline and 6 months, wherein there were higher implant stability and decreased crestal bone loss in Group A when compared to Group B.

Conclusion: Delayed implants with immediate loading were superior to immediate implants with immediate loading.

Abstract Image

Abstract Image

Abstract Image

用锥形束计算机断层分析对即刻和延迟植入即刻加载的种植体进行比较评价。
背景:传统上,种植体是在拔牙后几个月放置的。即刻种植体在拔牙当天放置,同时保留冠骨。即刻加载种植体有助于在种植体放置后48小时内立即重建假体。在本研究中,即刻种植体和延迟种植体均立即加载,并评估其种植体周围骨损失、种植体稳定性和种植体周围软组织结果。材料与方法:本研究共纳入14例患者,其中A组(延迟)7例,B组(立即)7例。在基线、3个月和6个月进行临床评估,包括斑块评分、探诊时出血和探诊深度。采用共振频率分析仪(种植体稳定性商)检测种植体稳定性,术前和术后6个月采用锥形束计算机断层扫描评估冠骨丢失情况。结果:在本研究中,两组患者在基线、3个月、6个月时的临床参数(斑块指数、探诊时出血、探诊深度)和影像学结果比较,差异均无统计学意义(P < 0.05)。A组和B组的种植体稳定性商和牙冠骨损失在基线和6个月时差异有统计学意义,其中A组种植体稳定性高于B组,牙冠骨损失减少。结论:延迟即刻加载种植体优于即刻加载种植体。
本文章由计算机程序翻译,如有差异,请以英文原文为准。
求助全文
约1分钟内获得全文 求助全文
来源期刊
CiteScore
1.70
自引率
0.00%
发文量
87
审稿时长
44 weeks
期刊介绍: The Journal of Indian Society of Periodontology publishes original scientific articles to support practice , education and research in the dental specialty of periodontology and oral implantology. Journal of Indian Society of Periodontology (JISP), is the official publication of the Society and is managed and brought out by the Editor of the society. The journal is published Bimonthly with special issues being brought out for specific occasions. The ISP had a bulletin as its publication for a large number of years and was enhanced as a Journal a few years ago
×
引用
GB/T 7714-2015
复制
MLA
复制
APA
复制
导出至
BibTeX EndNote RefMan NoteFirst NoteExpress
×
提示
您的信息不完整,为了账户安全,请先补充。
现在去补充
×
提示
您因"违规操作"
具体请查看互助需知
我知道了
×
提示
确定
请完成安全验证×
copy
已复制链接
快去分享给好友吧!
我知道了
右上角分享
点击右上角分享
0
联系我们:info@booksci.cn Book学术提供免费学术资源搜索服务,方便国内外学者检索中英文文献。致力于提供最便捷和优质的服务体验。 Copyright © 2023 布克学术 All rights reserved.
京ICP备2023020795号-1
ghs 京公网安备 11010802042870号
Book学术文献互助
Book学术文献互助群
群 号:604180095
Book学术官方微信