Cardiac calcified amorphous tumor in the right atrium: a rare cardiac neoplasm.

IF 1.5 4区 医学 Q3 CARDIAC & CARDIOVASCULAR SYSTEMS
Wentao Fu, Kun Liu, Yan Zhang, Jing Wang, Wan Cai, Yaoyao Wu, Hao Chi, Wen Ge
{"title":"Cardiac calcified amorphous tumor in the right atrium: a rare cardiac neoplasm.","authors":"Wentao Fu, Kun Liu, Yan Zhang, Jing Wang, Wan Cai, Yaoyao Wu, Hao Chi, Wen Ge","doi":"10.1186/s13019-025-03501-y","DOIUrl":null,"url":null,"abstract":"<p><strong>Background: </strong>Cardiac calcified amorphous tumors (CATs) represent rare, nonneoplastic intraluminal heart masses, with limited case reports in existing literature. Asymptomatic cases localized in the right atrium are particularly unusual.</p><p><strong>Case presentation: </strong>An asymptomatic 46-year-old male was discovered to have a cardiac mass upon echocardiograph. Echocardiography revealed a 13.2 × 11.8 mm pedunculated mass in the right atrium, attached to the interatrial septum. Then we performed surgical treatment. Histopathology revealed some myocardial tissue, a powdery stained, calcified amorphous area, and a few localized lymphocytes and red blood cells. The final diagnosis confirmed a cardiac CAT.</p><p><strong>Conclusions: </strong>CATs, rarely occurring endocardium-based pseudotumors, comprise calcium nodules and amorphous fibrin material. Typically presenting as a calcified pedunculated mass, they may arise in any heart chamber, with a significant propensity for distal embolism. Differentiating CATs from calcified atrial myxomas, calcified thrombi, or other cardiac tumors is challenging. Histopathology remains a critical diagnostic cornerstone. Although complete surgical resection is the recommended treatment, anticoagulation and ongoing surveillance may serve as viable alternatives when primary treatment, surgical resection, is deemed excessively hazardous.</p>","PeriodicalId":15201,"journal":{"name":"Journal of Cardiothoracic Surgery","volume":"20 1","pages":"288"},"PeriodicalIF":1.5000,"publicationDate":"2025-07-09","publicationTypes":"Journal Article","fieldsOfStudy":null,"isOpenAccess":false,"openAccessPdf":"https://www.ncbi.nlm.nih.gov/pmc/articles/PMC12239440/pdf/","citationCount":"0","resultStr":null,"platform":"Semanticscholar","paperid":null,"PeriodicalName":"Journal of Cardiothoracic Surgery","FirstCategoryId":"3","ListUrlMain":"https://doi.org/10.1186/s13019-025-03501-y","RegionNum":4,"RegionCategory":"医学","ArticlePicture":[],"TitleCN":null,"AbstractTextCN":null,"PMCID":null,"EPubDate":"","PubModel":"","JCR":"Q3","JCRName":"CARDIAC & CARDIOVASCULAR SYSTEMS","Score":null,"Total":0}
引用次数: 0

Abstract

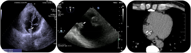
Background: Cardiac calcified amorphous tumors (CATs) represent rare, nonneoplastic intraluminal heart masses, with limited case reports in existing literature. Asymptomatic cases localized in the right atrium are particularly unusual.

Case presentation: An asymptomatic 46-year-old male was discovered to have a cardiac mass upon echocardiograph. Echocardiography revealed a 13.2 × 11.8 mm pedunculated mass in the right atrium, attached to the interatrial septum. Then we performed surgical treatment. Histopathology revealed some myocardial tissue, a powdery stained, calcified amorphous area, and a few localized lymphocytes and red blood cells. The final diagnosis confirmed a cardiac CAT.

Conclusions: CATs, rarely occurring endocardium-based pseudotumors, comprise calcium nodules and amorphous fibrin material. Typically presenting as a calcified pedunculated mass, they may arise in any heart chamber, with a significant propensity for distal embolism. Differentiating CATs from calcified atrial myxomas, calcified thrombi, or other cardiac tumors is challenging. Histopathology remains a critical diagnostic cornerstone. Although complete surgical resection is the recommended treatment, anticoagulation and ongoing surveillance may serve as viable alternatives when primary treatment, surgical resection, is deemed excessively hazardous.

Abstract Image

Abstract Image

右心房钙化无定形肿瘤:一种罕见的心脏肿瘤。
背景:心脏钙化无定形肿瘤(cat)是一种罕见的非肿瘤性腔内心脏肿块,现有文献中病例报道有限。局限于右心房的无症状病例尤其罕见。病例介绍:46岁男性,无症状,超声心动图发现心脏肿块。超声心动图显示右心房有13.2 × 11.8 mm带蒂肿块,与房间隔相连。然后我们进行了手术治疗。组织病理学显示心肌组织,粉状染色,钙化无定形区,少量局部淋巴细胞和红细胞。最终诊断为心脏CAT。结论:cat是一种罕见的心内膜假性肿瘤,由钙结节和无定形纤维蛋白物质组成。典型表现为钙化带梗肿块,可出现于任何心腔,并有明显的远端栓塞倾向。鉴别cat与钙化心房黏液瘤、钙化血栓或其他心脏肿瘤具有挑战性。组织病理学仍然是诊断的重要基础。虽然完全手术切除是推荐的治疗方法,但当主要治疗手术切除被认为过于危险时,抗凝和持续监测可以作为可行的替代方法。
本文章由计算机程序翻译,如有差异,请以英文原文为准。
求助全文
约1分钟内获得全文 求助全文
来源期刊
Journal of Cardiothoracic Surgery
Journal of Cardiothoracic Surgery 医学-心血管系统
CiteScore
2.50
自引率
6.20%
发文量
286
审稿时长
4-8 weeks
期刊介绍: Journal of Cardiothoracic Surgery is an open access journal that encompasses all aspects of research in the field of Cardiology, and Cardiothoracic and Vascular Surgery. The journal publishes original scientific research documenting clinical and experimental advances in cardiac, vascular and thoracic surgery, and related fields. Topics of interest include surgical techniques, survival rates, surgical complications and their outcomes; along with basic sciences, pediatric conditions, transplantations and clinical trials. Journal of Cardiothoracic Surgery is of interest to cardiothoracic and vascular surgeons, cardiothoracic anaesthesiologists, cardiologists, chest physicians, and allied health professionals.
×
引用
GB/T 7714-2015
复制
MLA
复制
APA
复制
导出至
BibTeX EndNote RefMan NoteFirst NoteExpress
×
提示
您的信息不完整,为了账户安全,请先补充。
现在去补充
×
提示
您因"违规操作"
具体请查看互助需知
我知道了
×
提示
确定
请完成安全验证×
copy
已复制链接
快去分享给好友吧!
我知道了
右上角分享
点击右上角分享
0
联系我们:info@booksci.cn Book学术提供免费学术资源搜索服务,方便国内外学者检索中英文文献。致力于提供最便捷和优质的服务体验。 Copyright © 2023 布克学术 All rights reserved.
京ICP备2023020795号-1
ghs 京公网安备 11010802042870号
Book学术文献互助
Book学术文献互助群
群 号:604180095
Book学术官方微信