Superior vena cava and right pulmonary artery junction - An intraoperative transesophageal echocardiographic landmark for central venous catheter tip position: A prospective observational study.

IF 1.1 Q3 PHARMACOLOGY & PHARMACY
A Jagadish, Saravana Babu, Subin Sukesan, Prasanta K Dash, Shrinivas V Gadhinglajkar, Bineesh K Radhakrishnan
{"title":"Superior vena cava and right pulmonary artery junction - An intraoperative transesophageal echocardiographic landmark for central venous catheter tip position: A prospective observational study.","authors":"A Jagadish, Saravana Babu, Subin Sukesan, Prasanta K Dash, Shrinivas V Gadhinglajkar, Bineesh K Radhakrishnan","doi":"10.4103/joacp.joacp_103_24","DOIUrl":null,"url":null,"abstract":"<p><strong>Background and aims: </strong>The main aim of this study was to evaluate the efficacy of real-time intraoperative transesophageal echocardiography (TEE) in guiding the central venous catheter (CVC) tip placement at the superior vena cava (SVC)-right pulmonary artery (RPA) junction.</p><p><strong>Materials and methods: </strong>One hundred patients aged between 18 and 65 years undergoing elective cardiac surgery were enrolled in the study. In the operation room, under ultrasound guidance, right internal jugular vein was punctured and CVC was inserted. The primary outcome was to determine the accuracy of placing the CVC tip under TEE guidance at the SVC-RPA junction by intraoperative surgical palpation and to correlate between the preoperative chest radiograph-predicted CVC depth and the TEE-guided placement of CVC depth. The secondary outcomes were to evaluate the position of CVC tip in relation to the carina in postoperative chest radiograph and the incidence of complications.</p><p><strong>Results: </strong>A total of 98 patients were included in the analysis. The CVC tip was palpable by the surgeon intraoperatively at the SVC-RPA junction in 76 patients (77.6%). A significant direct correlation was observed between the predicted preoperative CVC depth and TEE-guided placement of CVC depth (<i>r</i> = 0.7441, <i>P</i> < 0.0001). In the postoperative chest radiograph, 78 (79.5%) patients had the CVC tip positioned above the carina. Twenty-nine patients had atrial ectopics and six patients had ventricular ectopics during CVC insertion.</p><p><strong>Conclusions: </strong>TEE-guided SVC-RPA junction is an accurate landmark for the intraoperative positioning of CVC tip in the extra-pericardial portion of SVC to prevent life-threatening cardiac complications.</p>","PeriodicalId":14946,"journal":{"name":"Journal of Anaesthesiology, Clinical Pharmacology","volume":"41 3","pages":"427-432"},"PeriodicalIF":1.1000,"publicationDate":"2025-07-01","publicationTypes":"Journal Article","fieldsOfStudy":null,"isOpenAccess":false,"openAccessPdf":"https://www.ncbi.nlm.nih.gov/pmc/articles/PMC12237190/pdf/","citationCount":"0","resultStr":null,"platform":"Semanticscholar","paperid":null,"PeriodicalName":"Journal of Anaesthesiology, Clinical Pharmacology","FirstCategoryId":"1085","ListUrlMain":"https://doi.org/10.4103/joacp.joacp_103_24","RegionNum":0,"RegionCategory":null,"ArticlePicture":[],"TitleCN":null,"AbstractTextCN":null,"PMCID":null,"EPubDate":"2025/6/19 0:00:00","PubModel":"Epub","JCR":"Q3","JCRName":"PHARMACOLOGY & PHARMACY","Score":null,"Total":0}
引用次数: 0

Abstract

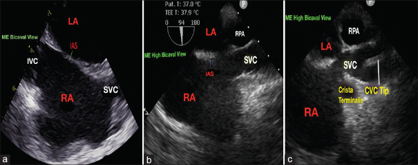
Background and aims: The main aim of this study was to evaluate the efficacy of real-time intraoperative transesophageal echocardiography (TEE) in guiding the central venous catheter (CVC) tip placement at the superior vena cava (SVC)-right pulmonary artery (RPA) junction.

Materials and methods: One hundred patients aged between 18 and 65 years undergoing elective cardiac surgery were enrolled in the study. In the operation room, under ultrasound guidance, right internal jugular vein was punctured and CVC was inserted. The primary outcome was to determine the accuracy of placing the CVC tip under TEE guidance at the SVC-RPA junction by intraoperative surgical palpation and to correlate between the preoperative chest radiograph-predicted CVC depth and the TEE-guided placement of CVC depth. The secondary outcomes were to evaluate the position of CVC tip in relation to the carina in postoperative chest radiograph and the incidence of complications.

Results: A total of 98 patients were included in the analysis. The CVC tip was palpable by the surgeon intraoperatively at the SVC-RPA junction in 76 patients (77.6%). A significant direct correlation was observed between the predicted preoperative CVC depth and TEE-guided placement of CVC depth (r = 0.7441, P < 0.0001). In the postoperative chest radiograph, 78 (79.5%) patients had the CVC tip positioned above the carina. Twenty-nine patients had atrial ectopics and six patients had ventricular ectopics during CVC insertion.

Conclusions: TEE-guided SVC-RPA junction is an accurate landmark for the intraoperative positioning of CVC tip in the extra-pericardial portion of SVC to prevent life-threatening cardiac complications.

Abstract Image

Abstract Image

Abstract Image

上腔静脉和右肺动脉交界处——术中经食管超声心动图标志中心静脉导管尖端位置:一项前瞻性观察研究。
背景与目的:本研究的主要目的是评价术中实时经食管超声心动图(TEE)指导中心静脉导管(CVC)尖端在上腔静脉(SVC)-右肺动脉(RPA)交汇处放置的效果。材料与方法:100例年龄在18 ~ 65岁的择期心脏手术患者入组研究。在手术室超声引导下,穿刺右颈内静脉,置入CVC。主要结果是通过术中触诊确定TEE引导下在SVC-RPA交界处放置CVC尖端的准确性,以及术前胸片预测的CVC深度与TEE引导下放置CVC深度之间的相关性。次要结果是评估术后胸片上CVC尖端相对于隆突的位置和并发症的发生率。结果:共纳入98例患者。76例(77.6%)患者术中可触及SVC-RPA连接处的CVC尖端。预测术前CVC深度与tee引导下放置CVC深度之间存在显著的直接相关性(r = 0.7441, P < 0.0001)。术后胸片显示,78例(79.5%)患者CVC尖端位于隆突上方。在CVC插入过程中,29例发生心房异位,6例发生心室异位。结论:tee引导的SVC- rpa连接点是术中定位SVC心包外部分CVC尖端的准确标志,可预防危及生命的心脏并发症。
本文章由计算机程序翻译,如有差异,请以英文原文为准。
求助全文
约1分钟内获得全文 求助全文
来源期刊
CiteScore
1.90
自引率
6.70%
发文量
129
期刊介绍: The JOACP publishes original peer-reviewed research and clinical work in all branches of anaesthesiology, pain, critical care and perioperative medicine including the application to basic sciences. In addition, the journal publishes review articles, special articles, brief communications/reports, case reports, and reports of new equipment, letters to editor, book reviews and obituaries. It is international in scope and comprehensive in coverage.
×
引用
GB/T 7714-2015
复制
MLA
复制
APA
复制
导出至
BibTeX EndNote RefMan NoteFirst NoteExpress
×
提示
您的信息不完整,为了账户安全,请先补充。
现在去补充
×
提示
您因"违规操作"
具体请查看互助需知
我知道了
×
提示
确定
请完成安全验证×
copy
已复制链接
快去分享给好友吧!
我知道了
右上角分享
点击右上角分享
0
联系我们:info@booksci.cn Book学术提供免费学术资源搜索服务,方便国内外学者检索中英文文献。致力于提供最便捷和优质的服务体验。 Copyright © 2023 布克学术 All rights reserved.
京ICP备2023020795号-1
ghs 京公网安备 11010802042870号
Book学术文献互助
Book学术文献互助群
群 号:604180095
Book学术官方微信