Surviving Unrepaired Tetralogy of Fallot to 43 Years in a Low-Resource Setting: The Oldest Reported Case from Somalia.

IF 0.7 Q3 MEDICINE, GENERAL & INTERNAL
International Medical Case Reports Journal Pub Date : 2025-07-05 eCollection Date: 2025-01-01 DOI:10.2147/IMCRJ.S529873
Abdirahman A Warfaa, Abdirahman Ibrahim Said, Mohamoud Abdulahi, Mohamed Said Hassan
{"title":"Surviving Unrepaired Tetralogy of Fallot to 43 Years in a Low-Resource Setting: The Oldest Reported Case from Somalia.","authors":"Abdirahman A Warfaa, Abdirahman Ibrahim Said, Mohamoud Abdulahi, Mohamed Said Hassan","doi":"10.2147/IMCRJ.S529873","DOIUrl":null,"url":null,"abstract":"<p><strong>Introduction: </strong>Tetralogy of Fallot (ToF) is a congenital heart defect characterized by a combination of four anomalies: right ventricular hypertrophy, ventricular septal defect (VSD), right ventricular outflow tract (RVOT) obstruction, and an overriding aorta. While surgical interventions have significantly improved the prognosis of ToF, cases of undiagnosed or untreated ToF in adulthood remain, particularly in low-resource settings. This report highlights the case of an adult patient with uncorrected ToF, underscoring the challenges individuals face in such environments.</p><p><strong>Case report: </strong>A 43-year-old male from Somalia presented with recurrent syncope, exertional dyspnea, and a history of congenital heart disease diagnosed in childhood. Due to financial constraints and limited healthcare access, he was unable to undergo surgery. On clinical examination, the patient exhibited cyanosis, grade 3 clubbing, and a pansystolic murmur. Investigations showed secondary polycythemia, right ventricular hypertrophy on ECG, and a large VSD with an overriding aorta. Echocardiography confirmed these findings, revealing the anatomical abnormalities typical of ToF.</p><p><strong>Discussion: </strong>Untreated ToF often leads to significant morbidity, including worsening cyanosis, syncope, and heart failure. In this case, delayed surgical intervention and lack of resources contributed to the progression of symptoms. The patient's case emphasizes the importance of early diagnosis and surgical repair, particularly in resource-limited settings where access to advanced care is limited.</p><p><strong>Conclusion: </strong>This case highlights the critical need for early intervention and improved healthcare access for individuals with congenital heart defects in low-income settings. Timely diagnosis, surgical repair, and ongoing care can substantially improve outcomes for patients with ToF.</p>","PeriodicalId":14337,"journal":{"name":"International Medical Case Reports Journal","volume":"18 ","pages":"827-835"},"PeriodicalIF":0.7000,"publicationDate":"2025-07-05","publicationTypes":"Journal Article","fieldsOfStudy":null,"isOpenAccess":false,"openAccessPdf":"https://www.ncbi.nlm.nih.gov/pmc/articles/PMC12239889/pdf/","citationCount":"0","resultStr":null,"platform":"Semanticscholar","paperid":null,"PeriodicalName":"International Medical Case Reports Journal","FirstCategoryId":"1085","ListUrlMain":"https://doi.org/10.2147/IMCRJ.S529873","RegionNum":0,"RegionCategory":null,"ArticlePicture":[],"TitleCN":null,"AbstractTextCN":null,"PMCID":null,"EPubDate":"2025/1/1 0:00:00","PubModel":"eCollection","JCR":"Q3","JCRName":"MEDICINE, GENERAL & INTERNAL","Score":null,"Total":0}
引用次数: 0

Abstract

Introduction: Tetralogy of Fallot (ToF) is a congenital heart defect characterized by a combination of four anomalies: right ventricular hypertrophy, ventricular septal defect (VSD), right ventricular outflow tract (RVOT) obstruction, and an overriding aorta. While surgical interventions have significantly improved the prognosis of ToF, cases of undiagnosed or untreated ToF in adulthood remain, particularly in low-resource settings. This report highlights the case of an adult patient with uncorrected ToF, underscoring the challenges individuals face in such environments.

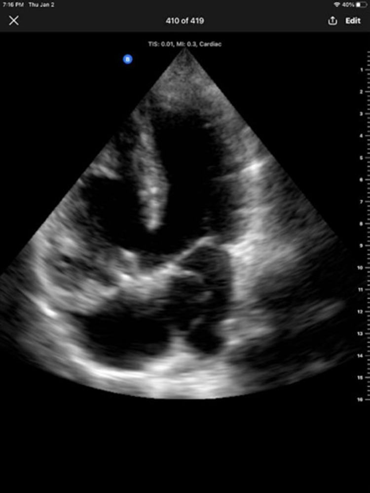
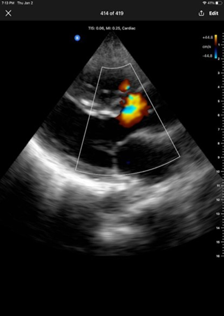
Case report: A 43-year-old male from Somalia presented with recurrent syncope, exertional dyspnea, and a history of congenital heart disease diagnosed in childhood. Due to financial constraints and limited healthcare access, he was unable to undergo surgery. On clinical examination, the patient exhibited cyanosis, grade 3 clubbing, and a pansystolic murmur. Investigations showed secondary polycythemia, right ventricular hypertrophy on ECG, and a large VSD with an overriding aorta. Echocardiography confirmed these findings, revealing the anatomical abnormalities typical of ToF.

Discussion: Untreated ToF often leads to significant morbidity, including worsening cyanosis, syncope, and heart failure. In this case, delayed surgical intervention and lack of resources contributed to the progression of symptoms. The patient's case emphasizes the importance of early diagnosis and surgical repair, particularly in resource-limited settings where access to advanced care is limited.

Conclusion: This case highlights the critical need for early intervention and improved healthcare access for individuals with congenital heart defects in low-income settings. Timely diagnosis, surgical repair, and ongoing care can substantially improve outcomes for patients with ToF.

Abstract Image

Abstract Image

Abstract Image

在低资源环境下未修复的法洛四联症存活43年:索马里最古老的报告病例。
简介:法洛四联症(ToF)是一种先天性心脏缺陷,其特征是四种异常的结合:右心室肥厚,室间隔缺损(VSD),右心室流出道阻塞(RVOT)和覆盖主动脉。虽然手术干预显著改善了ToF的预后,但未确诊或未经治疗的成年ToF病例仍然存在,特别是在资源匮乏的地区。本报告强调了一名未矫正ToF的成年患者的病例,强调了个人在这种环境中面临的挑战。病例报告:一名来自索马里的43岁男性,表现为复发性晕厥、用力性呼吸困难和儿童期诊断的先天性心脏病史。由于经济拮据和医疗保健有限,他无法接受手术。在临床检查中,患者表现为发绀,3级棒状和全收缩期杂音。调查显示继发性红细胞增多症,心电图显示右心室肥厚,室间隔大并覆盖主动脉。超声心动图证实了这些发现,显示了典型的ToF的解剖异常。讨论:未经治疗的ToF经常导致显著的发病率,包括恶化的发绀、晕厥和心力衰竭。在这种情况下,延迟手术干预和缺乏资源促成了症状的进展。患者的病例强调了早期诊断和手术修复的重要性,特别是在资源有限的环境中,获得高级护理的机会有限。结论:本病例强调了早期干预和改善低收入环境中先天性心脏缺陷患者的医疗保健服务的迫切需要。及时诊断、手术修复和持续护理可以显著改善ToF患者的预后。
本文章由计算机程序翻译,如有差异,请以英文原文为准。
求助全文
约1分钟内获得全文 求助全文
来源期刊
International Medical Case Reports Journal
International Medical Case Reports Journal MEDICINE, GENERAL & INTERNAL-
CiteScore
1.40
自引率
0.00%
发文量
135
审稿时长
16 weeks
期刊介绍: International Medical Case Reports Journal is an international, peer-reviewed, open access, online journal publishing original case reports from all medical specialties. Submissions should not normally exceed 3,000 words or 4 published pages including figures, diagrams and references. As of 1st April 2019, the International Medical Case Reports Journal will no longer consider meta-analyses for publication.
×
引用
GB/T 7714-2015
复制
MLA
复制
APA
复制
导出至
BibTeX EndNote RefMan NoteFirst NoteExpress
×
提示
您的信息不完整,为了账户安全,请先补充。
现在去补充
×
提示
您因"违规操作"
具体请查看互助需知
我知道了
×
提示
确定
请完成安全验证×
copy
已复制链接
快去分享给好友吧!
我知道了
右上角分享
点击右上角分享
0
联系我们:info@booksci.cn Book学术提供免费学术资源搜索服务,方便国内外学者检索中英文文献。致力于提供最便捷和优质的服务体验。 Copyright © 2023 布克学术 All rights reserved.
京ICP备2023020795号-1
ghs 京公网安备 11010802042870号
Book学术文献互助
Book学术文献互助群
群 号:604180095
Book学术官方微信