A Case Report of Gastric Squamous Cell Carcinoma Associated with Pancreatic Adenocarcinoma and Literature Review.

IF 0.6 Q4 GASTROENTEROLOGY & HEPATOLOGY
Case Reports in Gastroenterology Pub Date : 2025-07-09 eCollection Date: 2025-01-01 DOI:10.1159/000546802
Shiwei Yao, Xueyong Deng
{"title":"A Case Report of Gastric Squamous Cell Carcinoma Associated with Pancreatic Adenocarcinoma and Literature Review.","authors":"Shiwei Yao, Xueyong Deng","doi":"10.1159/000546802","DOIUrl":null,"url":null,"abstract":"<p><strong>Introduction: </strong>It is common for advanced pancreatic adenocarcinoma to infiltrate the gastric wall, and the tumor cells invading the gastric wall are usually consistent with pancreatic adenocarcinoma. However, it is very rare for the tumor cells infiltrating the gastric wall to be squamous cell carcinoma.</p><p><strong>Case presentation: </strong>In this case, we report a 57-year-old man who presented with weight loss for 2 months. CT revealed a pancreatic mass. Endoscopic ultrasound biopsy of the pancreatic mass confirmed pancreatic adenocarcinoma. He refused treatment. Eight months later, he developed melena. CT revealed that the pancreatic mass had invaded the gastric wall. Gastric squamous cell carcinoma was confirmed by biopsy of gastric tissue under gastroscopy.</p><p><strong>Conclusion: </strong>By observing the evolution process of this case, we found that the occurrence of gastric squamous cell carcinoma in this case was consistent with one of its pathogenesis: the theory of adenocarcinoma differentiating into squamous cell carcinoma. It provides certain clinical significance for the study of the mechanism of gastric squamous cell carcinoma.</p>","PeriodicalId":9614,"journal":{"name":"Case Reports in Gastroenterology","volume":"19 1","pages":"496-501"},"PeriodicalIF":0.6000,"publicationDate":"2025-07-09","publicationTypes":"Journal Article","fieldsOfStudy":null,"isOpenAccess":false,"openAccessPdf":"https://www.ncbi.nlm.nih.gov/pmc/articles/PMC12240571/pdf/","citationCount":"0","resultStr":null,"platform":"Semanticscholar","paperid":null,"PeriodicalName":"Case Reports in Gastroenterology","FirstCategoryId":"1085","ListUrlMain":"https://doi.org/10.1159/000546802","RegionNum":0,"RegionCategory":null,"ArticlePicture":[],"TitleCN":null,"AbstractTextCN":null,"PMCID":null,"EPubDate":"2025/1/1 0:00:00","PubModel":"eCollection","JCR":"Q4","JCRName":"GASTROENTEROLOGY & HEPATOLOGY","Score":null,"Total":0}
引用次数: 0

Abstract

Introduction: It is common for advanced pancreatic adenocarcinoma to infiltrate the gastric wall, and the tumor cells invading the gastric wall are usually consistent with pancreatic adenocarcinoma. However, it is very rare for the tumor cells infiltrating the gastric wall to be squamous cell carcinoma.

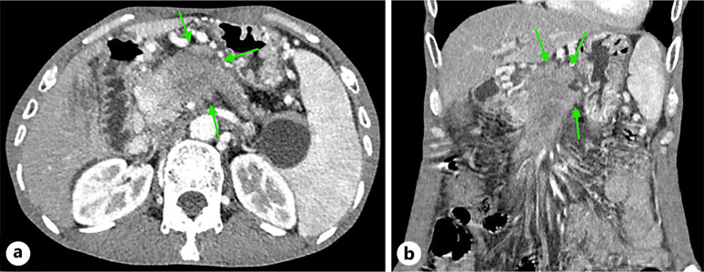
Case presentation: In this case, we report a 57-year-old man who presented with weight loss for 2 months. CT revealed a pancreatic mass. Endoscopic ultrasound biopsy of the pancreatic mass confirmed pancreatic adenocarcinoma. He refused treatment. Eight months later, he developed melena. CT revealed that the pancreatic mass had invaded the gastric wall. Gastric squamous cell carcinoma was confirmed by biopsy of gastric tissue under gastroscopy.

Conclusion: By observing the evolution process of this case, we found that the occurrence of gastric squamous cell carcinoma in this case was consistent with one of its pathogenesis: the theory of adenocarcinoma differentiating into squamous cell carcinoma. It provides certain clinical significance for the study of the mechanism of gastric squamous cell carcinoma.

Abstract Image

Abstract Image

Abstract Image

胃鳞癌合并胰腺癌1例报告并文献复习。
导读:晚期胰腺腺癌浸润胃壁是常见的,肿瘤细胞浸润胃壁通常与胰腺腺癌相一致。然而,浸润胃壁的肿瘤细胞为鳞状细胞癌是非常罕见的。病例介绍:在这个病例中,我们报告了一位57岁的男性,体重下降了2个月。CT显示胰腺肿块。胰腺肿块的内镜超声活检证实为胰腺腺癌。他拒绝接受治疗。八个月后,他患上了黑肠病。CT显示胰腺肿块侵入胃壁。胃镜下行胃组织活检证实为胃鳞癌。结论:通过观察本病例的演变过程,我们发现本病例胃鳞状细胞癌的发生符合其发病机制之一:腺癌向鳞状细胞癌分化的理论。为研究胃鳞状细胞癌的发生机制提供了一定的临床意义。
本文章由计算机程序翻译,如有差异,请以英文原文为准。
求助全文
约1分钟内获得全文 求助全文
来源期刊
Case Reports in Gastroenterology
Case Reports in Gastroenterology Medicine-Gastroenterology
CiteScore
1.10
自引率
0.00%
发文量
99
审稿时长
7 weeks
期刊介绍:
×
引用
GB/T 7714-2015
复制
MLA
复制
APA
复制
导出至
BibTeX EndNote RefMan NoteFirst NoteExpress
×
提示
您的信息不完整,为了账户安全,请先补充。
现在去补充
×
提示
您因"违规操作"
具体请查看互助需知
我知道了
×
提示
确定
请完成安全验证×
copy
已复制链接
快去分享给好友吧!
我知道了
右上角分享
点击右上角分享
0
联系我们:info@booksci.cn Book学术提供免费学术资源搜索服务,方便国内外学者检索中英文文献。致力于提供最便捷和优质的服务体验。 Copyright © 2023 布克学术 All rights reserved.
京ICP备2023020795号-1
ghs 京公网安备 11010802042870号
Book学术文献互助
Book学术文献互助群
群 号:604180095
Book学术官方微信