Account of synovial terminal nerve endings affects the clinical function of patients with chronic ankle instability : a retrospective cohort study.

IF 5.1 2区 医学 Q2 CELL & TISSUE ENGINEERING
Xingyu Wang, Shengxuan Cao, Yungu Chen, Yun Bao, Chao Zhang, Xu Wang, Xin Ma
{"title":"Account of synovial terminal nerve endings affects the clinical function of patients with chronic ankle instability : a retrospective cohort study.","authors":"Xingyu Wang, Shengxuan Cao, Yungu Chen, Yun Bao, Chao Zhang, Xu Wang, Xin Ma","doi":"10.1302/2046-3758.147.BJR-2024-0339.R2","DOIUrl":null,"url":null,"abstract":"<p><strong>Aims: </strong>Previous studies have reported synovial hypertrophy and synovitis in the ankle joint of patients with chronic ankle instability (CAI) and osteochondral lesion of the talus (OLT). The present study aimed to explore the correlation between pain level, clinical function of CAI patients with or without OLT, and the quantity of neurons and microvessels of synovium in the ankle joint.</p><p><strong>Methods: </strong>A total of 32 subjects (14 without OLT and 18 with OLT) were included. The Cumberland Ankle Instability Tool (CAIT), American Orthopaedic Foot and Ankle Society (AOFAS), and visual analogue scale (VAS)-pain score of every patient were assessed via questionnaire, and the quantity of their terminal nerve endings and microvessels in the stained synovium section were counted under microscope. Statistical analysis was conducted to determine surgical effects (arthroscopic Broström-Gould and bone marrow stimulation) and to evaluate the association between the quantity of terminal nerve endings and microvessels with function and pain level in the ankle joint.</p><p><strong>Results: </strong>No significant differences were found in demographics, clinical assessment, and concomitant intra-articular pathologies between the two groups (all p > 0.05). The CAIT, AOFAS, and VAS-pain (respectively at rest and at sport) scores of preoperative patients were significantly poorer than those of postoperative patients (all p < 0.01). Account of neurons was positively correlated with preoperative VAS in sport (<i>r</i> = 0.915, p < 0.001), and negatively correlated with preoperative CAIT (<i>r</i> = -0.677, p < 0.001), postoperative CAIT (<i>r</i> = -0.546, p = 0.001), and preoperative AOFAS (<i>r</i> = -0.615, p < 0.001).</p><p><strong>Conclusion: </strong>There were no significant differences, either pre- or postoperatively, between CAI patients and CAI with OLT patients in CAIT, AOFAS, and VAS-pain. The CAIT, AOFAS, and VAS-pain were markedly improved after arthroscopic treatment. The quantity of terminal nerve endings was positively correlated with pain level and negatively correlated with clinical function.</p>","PeriodicalId":9074,"journal":{"name":"Bone & Joint Research","volume":"14 7","pages":"609-618"},"PeriodicalIF":5.1000,"publicationDate":"2025-07-10","publicationTypes":"Journal Article","fieldsOfStudy":null,"isOpenAccess":false,"openAccessPdf":"https://www.ncbi.nlm.nih.gov/pmc/articles/PMC12242852/pdf/","citationCount":"0","resultStr":null,"platform":"Semanticscholar","paperid":null,"PeriodicalName":"Bone & Joint Research","FirstCategoryId":"3","ListUrlMain":"https://doi.org/10.1302/2046-3758.147.BJR-2024-0339.R2","RegionNum":2,"RegionCategory":"医学","ArticlePicture":[],"TitleCN":null,"AbstractTextCN":null,"PMCID":null,"EPubDate":"","PubModel":"","JCR":"Q2","JCRName":"CELL & TISSUE ENGINEERING","Score":null,"Total":0}
引用次数: 0

Abstract

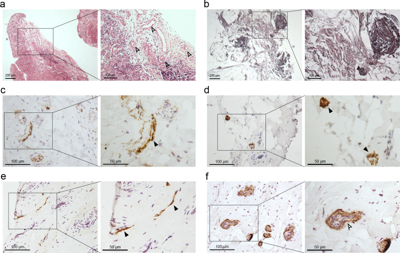
Aims: Previous studies have reported synovial hypertrophy and synovitis in the ankle joint of patients with chronic ankle instability (CAI) and osteochondral lesion of the talus (OLT). The present study aimed to explore the correlation between pain level, clinical function of CAI patients with or without OLT, and the quantity of neurons and microvessels of synovium in the ankle joint.

Methods: A total of 32 subjects (14 without OLT and 18 with OLT) were included. The Cumberland Ankle Instability Tool (CAIT), American Orthopaedic Foot and Ankle Society (AOFAS), and visual analogue scale (VAS)-pain score of every patient were assessed via questionnaire, and the quantity of their terminal nerve endings and microvessels in the stained synovium section were counted under microscope. Statistical analysis was conducted to determine surgical effects (arthroscopic Broström-Gould and bone marrow stimulation) and to evaluate the association between the quantity of terminal nerve endings and microvessels with function and pain level in the ankle joint.

Results: No significant differences were found in demographics, clinical assessment, and concomitant intra-articular pathologies between the two groups (all p > 0.05). The CAIT, AOFAS, and VAS-pain (respectively at rest and at sport) scores of preoperative patients were significantly poorer than those of postoperative patients (all p < 0.01). Account of neurons was positively correlated with preoperative VAS in sport (r = 0.915, p < 0.001), and negatively correlated with preoperative CAIT (r = -0.677, p < 0.001), postoperative CAIT (r = -0.546, p = 0.001), and preoperative AOFAS (r = -0.615, p < 0.001).

Conclusion: There were no significant differences, either pre- or postoperatively, between CAI patients and CAI with OLT patients in CAIT, AOFAS, and VAS-pain. The CAIT, AOFAS, and VAS-pain were markedly improved after arthroscopic treatment. The quantity of terminal nerve endings was positively correlated with pain level and negatively correlated with clinical function.

Abstract Image

Abstract Image

Abstract Image

滑膜末梢神经末梢影响慢性踝关节不稳患者的临床功能:一项回顾性队列研究。
目的:先前的研究报道了慢性踝关节不稳定(CAI)和距骨软骨病变(OLT)患者的踝关节滑膜肥大和滑膜炎。本研究旨在探讨伴有或不伴有OLT的CAI患者疼痛程度、临床功能与踝关节滑膜神经元及微血管数量的相关性。方法:共纳入32例患者,其中非OLT 14例,OLT 18例。采用问卷法对患者进行Cumberland Ankle Instability Tool (CAIT)、American Orthopaedic Foot and Ankle Society (AOFAS)、视觉模拟评分(VAS)-pain评分,并在显微镜下对患者滑膜染色切片的末梢神经末梢和微血管数量进行计数。统计分析手术效果(关节镜Broström-Gould和骨髓刺激),评价踝关节功能和疼痛程度与末梢神经末梢和微血管数量的关系。结果:两组患者在人口统计学、临床评估及伴随的关节内病变方面均无显著差异(p < 0.05)。术前患者的CAIT、AOFAS、VAS-pain(静息时和运动时)评分明显低于术后患者(均p < 0.01)。神经元数量与术前运动VAS呈正相关(r = 0.915, p < 0.001),与术前CAIT (r = -0.677, p < 0.001)、术后CAIT (r = -0.546, p = 0.001)、术前AOFAS (r = -0.615, p < 0.001)呈负相关。结论:CAI患者与CAI合并OLT患者在CAIT、AOFAS和VAS-pain方面,术前和术后均无显著差异。经关节镜治疗后,CAIT、AOFAS、VAS-pain均有明显改善。神经末梢数量与疼痛程度呈正相关,与临床功能负相关。
本文章由计算机程序翻译,如有差异,请以英文原文为准。
求助全文
约1分钟内获得全文 求助全文
来源期刊
Bone & Joint Research
Bone & Joint Research CELL & TISSUE ENGINEERING-ORTHOPEDICS
CiteScore
7.40
自引率
23.90%
发文量
156
审稿时长
12 weeks
期刊介绍: The gold open access journal for the musculoskeletal sciences. Included in PubMed and available in PubMed Central.
×
引用
GB/T 7714-2015
复制
MLA
复制
APA
复制
导出至
BibTeX EndNote RefMan NoteFirst NoteExpress
×
提示
您的信息不完整,为了账户安全,请先补充。
现在去补充
×
提示
您因"违规操作"
具体请查看互助需知
我知道了
×
提示
确定
请完成安全验证×
copy
已复制链接
快去分享给好友吧!
我知道了
右上角分享
点击右上角分享
0
联系我们:info@booksci.cn Book学术提供免费学术资源搜索服务,方便国内外学者检索中英文文献。致力于提供最便捷和优质的服务体验。 Copyright © 2023 布克学术 All rights reserved.
京ICP备2023020795号-1
ghs 京公网安备 11010802042870号
Book学术文献互助
Book学术文献互助群
群 号:604180095
Book学术官方微信