Sex Estimation Based on Tooth Measurements on Panoramic Radiographs with Classical and Machine-Learning Classifiers.

Q3 Dentistry
Frontiers in Dentistry Pub Date : 2025-04-12 eCollection Date: 2025-01-01 DOI:10.18502/fid.v22i14.18470
Samaneh Talebi, Hossien Fallahzadeh, Sara Jambarsang, Fatemeh Ezoddini Ardakani
{"title":"Sex Estimation Based on Tooth Measurements on Panoramic Radiographs with Classical and Machine-Learning Classifiers.","authors":"Samaneh Talebi, Hossien Fallahzadeh, Sara Jambarsang, Fatemeh Ezoddini Ardakani","doi":"10.18502/fid.v22i14.18470","DOIUrl":null,"url":null,"abstract":"<p><p><b>Objectives:</b> This study assessed sex estimation of Iranians according to maxillary left first molar measurements made on panoramic radiographs using classical and machine-learning classifiers. <b>Materials and Methods:</b> In this cross-sectional study, tooth length- and width-related variables were calculated for maxillary left first molars on 131 panoramic radiographs (65 males, 66 females; age range of 18-30 years). A subsample of the radiographs was selected and reevaluated by two examiners after 1 month. The intra-class correlation coefficient (ICC) was calculated to assess reliability. The regularized discriminant analysis (RDA), support vector machine (SVM), and cascade-forward and feed-forward neural network models were used for sex estimation. Comparisons were made with the Mann-Whitney and t tests. <b>Results:</b> The intra-observer reliability was 0.9. SVM had the best performance on the test data in both classification schemes. The crown length at the cementoenamel junction (CEJL) and total crown length (CL) in the classification scheme I (sex estimation based on length and width variables), and CEJL/root length (RL), cementoenamel junction width (CEJW)/CEJL, and RL/total tooth length (TTL) in the classification scheme II (sex estimation based on the ratio of variables) were important variables for sex estimation determined by the SVM model. The CEJL had the highest discriminative potential with an area under the curve (AUC) of 78.8. The ratio of variables did not substantially improve sex estimation compared with single variables. <b>Conclusion:</b> CEJL is a reliable measure for sex estimation in Iranians with values higher than 6.25 indicating the male sex and other values indicating the female sex.</p>","PeriodicalId":12445,"journal":{"name":"Frontiers in Dentistry","volume":"22 ","pages":"14"},"PeriodicalIF":0.0000,"publicationDate":"2025-04-12","publicationTypes":"Journal Article","fieldsOfStudy":null,"isOpenAccess":false,"openAccessPdf":"https://www.ncbi.nlm.nih.gov/pmc/articles/PMC12236378/pdf/","citationCount":"0","resultStr":null,"platform":"Semanticscholar","paperid":null,"PeriodicalName":"Frontiers in Dentistry","FirstCategoryId":"1085","ListUrlMain":"https://doi.org/10.18502/fid.v22i14.18470","RegionNum":0,"RegionCategory":null,"ArticlePicture":[],"TitleCN":null,"AbstractTextCN":null,"PMCID":null,"EPubDate":"2025/1/1 0:00:00","PubModel":"eCollection","JCR":"Q3","JCRName":"Dentistry","Score":null,"Total":0}
引用次数: 0

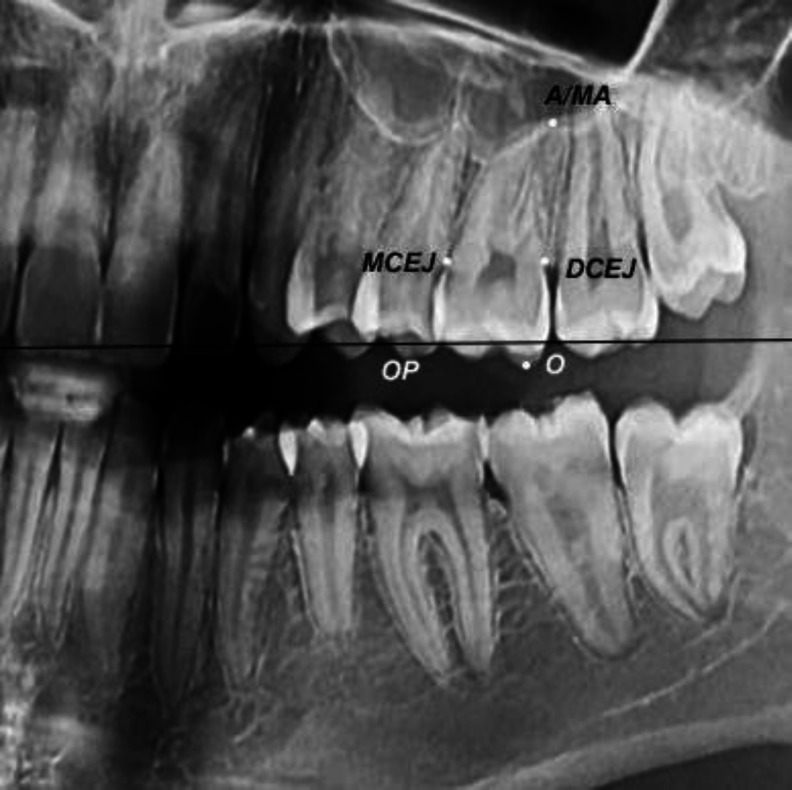
Abstract

Objectives: This study assessed sex estimation of Iranians according to maxillary left first molar measurements made on panoramic radiographs using classical and machine-learning classifiers. Materials and Methods: In this cross-sectional study, tooth length- and width-related variables were calculated for maxillary left first molars on 131 panoramic radiographs (65 males, 66 females; age range of 18-30 years). A subsample of the radiographs was selected and reevaluated by two examiners after 1 month. The intra-class correlation coefficient (ICC) was calculated to assess reliability. The regularized discriminant analysis (RDA), support vector machine (SVM), and cascade-forward and feed-forward neural network models were used for sex estimation. Comparisons were made with the Mann-Whitney and t tests. Results: The intra-observer reliability was 0.9. SVM had the best performance on the test data in both classification schemes. The crown length at the cementoenamel junction (CEJL) and total crown length (CL) in the classification scheme I (sex estimation based on length and width variables), and CEJL/root length (RL), cementoenamel junction width (CEJW)/CEJL, and RL/total tooth length (TTL) in the classification scheme II (sex estimation based on the ratio of variables) were important variables for sex estimation determined by the SVM model. The CEJL had the highest discriminative potential with an area under the curve (AUC) of 78.8. The ratio of variables did not substantially improve sex estimation compared with single variables. Conclusion: CEJL is a reliable measure for sex estimation in Iranians with values higher than 6.25 indicating the male sex and other values indicating the female sex.

Abstract Image

Abstract Image

Abstract Image

基于经典分类器和机器学习分类器的全景x线照片牙齿测量性别估计。
目的:本研究使用经典分类器和机器学习分类器,根据上颌左第一磨牙在全景x线片上的测量,评估伊朗人的性别估计。材料与方法:在本横断面研究中,计算131张上颌左第一磨牙的牙齿长度和宽度相关变量(男性65张,女性66张;年龄范围18-30岁)。1个月后,选择x线片的子样本并由两名检查人员重新评估。计算类内相关系数(ICC)来评估信度。使用正则化判别分析(RDA)、支持向量机(SVM)、级联前向和前馈神经网络模型进行性别估计。用Mann-Whitney检验和t检验进行比较。结果:观察者内信度为0.9。在两种分类方案中,支持向量机对测试数据的处理效果最好。分类方案1(基于长度和宽度变量的性别估计)中的牙髓-牙釉质交界处的冠长(CEJL)和总冠长(CL),以及分类方案2(基于变量比率的性别估计)中的牙髓-牙釉质交界处的根长(RL)、牙髓-牙釉质交界处宽度(CEJW)/CEJL和RL/总牙长(TTL)是SVM模型确定性别估计的重要变量。CEJL的判别电位最高,曲线下面积(AUC)为78.8。与单一变量相比,变量的比例并没有显著改善性别估计。结论:CEJL值高于6.25为男性,高于6.25为女性,是伊朗人性别估计的可靠指标。
本文章由计算机程序翻译,如有差异,请以英文原文为准。
求助全文
约1分钟内获得全文 求助全文
来源期刊
Frontiers in Dentistry
Frontiers in Dentistry Dentistry-General Dentistry
CiteScore
1.00
自引率
0.00%
发文量
34
审稿时长
12 weeks
×
引用
GB/T 7714-2015
复制
MLA
复制
APA
复制
导出至
BibTeX EndNote RefMan NoteFirst NoteExpress
×
提示
您的信息不完整,为了账户安全,请先补充。
现在去补充
×
提示
您因"违规操作"
具体请查看互助需知
我知道了
×
提示
确定
请完成安全验证×
copy
已复制链接
快去分享给好友吧!
我知道了
右上角分享
点击右上角分享
0
联系我们:info@booksci.cn Book学术提供免费学术资源搜索服务,方便国内外学者检索中英文文献。致力于提供最便捷和优质的服务体验。 Copyright © 2023 布克学术 All rights reserved.
京ICP备2023020795号-1
ghs 京公网安备 11010802042870号
Book学术文献互助
Book学术文献互助群
群 号:604180095
Book学术官方微信