Indications, Technique, and Outcomes of Patient Specific Instrumentation for Osteotomy About the Knee.

IF 3.9 2区 医学 Q1 ORTHOPEDICS
Harmon S Khela, Monty S Khela, Varun Sriram, Grant G Schroeder, Ian Hollyer, Seth L Sherman
{"title":"Indications, Technique, and Outcomes of Patient Specific Instrumentation for Osteotomy About the Knee.","authors":"Harmon S Khela, Monty S Khela, Varun Sriram, Grant G Schroeder, Ian Hollyer, Seth L Sherman","doi":"10.1007/s12178-025-09987-2","DOIUrl":null,"url":null,"abstract":"<p><strong>Purpose of review: </strong>Osteotomies around the knee are well-established techniques used to correct lower-extremity malalignment. While osteotomies of the proximal tibia and distal femur have traditionally been performed free-hand, the advent of Patient-Specific Instrumentation (PSI) in the form of custom 3D printed cutting guides and implants offers surgeons a greater ability to individualize surgical corrections to a patient's unique bony anatomy. This review aims to investigate the current state of the literature surrounding the use and outcomes of PSI for knee osteotomies and the benefits and drawbacks of PSI compared to traditional techniques.</p><p><strong>Recent findings: </strong>Recent studies have demonstrated the potential benefits of PSI in knee osteotomy, including improvements in the accuracy of planned corrections, reductions in operative time and fluoroscopy exposure, and similar patient-reported outcomes. While increased costs and lead time represent drawbacks to the use of PSI, the technology continues to evolve such that these areas may improve over time. For osteotomy of the distal femur and proximal tibia, PSI offers surgeons an opportunity to improve surgical precision intra-operatively, with similar outcomes and complication rates as compared to traditional osteotomy techniques.</p>","PeriodicalId":10950,"journal":{"name":"Current Reviews in Musculoskeletal Medicine","volume":" ","pages":"547-557"},"PeriodicalIF":3.9000,"publicationDate":"2025-11-01","publicationTypes":"Journal Article","fieldsOfStudy":null,"isOpenAccess":false,"openAccessPdf":"https://www.ncbi.nlm.nih.gov/pmc/articles/PMC12361020/pdf/","citationCount":"0","resultStr":null,"platform":"Semanticscholar","paperid":null,"PeriodicalName":"Current Reviews in Musculoskeletal Medicine","FirstCategoryId":"3","ListUrlMain":"https://doi.org/10.1007/s12178-025-09987-2","RegionNum":2,"RegionCategory":"医学","ArticlePicture":[],"TitleCN":null,"AbstractTextCN":null,"PMCID":null,"EPubDate":"2025/7/9 0:00:00","PubModel":"Epub","JCR":"Q1","JCRName":"ORTHOPEDICS","Score":null,"Total":0}
引用次数: 0

Abstract

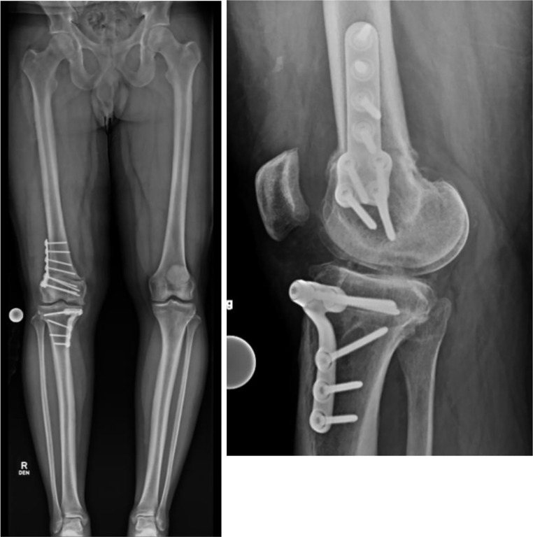
Purpose of review: Osteotomies around the knee are well-established techniques used to correct lower-extremity malalignment. While osteotomies of the proximal tibia and distal femur have traditionally been performed free-hand, the advent of Patient-Specific Instrumentation (PSI) in the form of custom 3D printed cutting guides and implants offers surgeons a greater ability to individualize surgical corrections to a patient's unique bony anatomy. This review aims to investigate the current state of the literature surrounding the use and outcomes of PSI for knee osteotomies and the benefits and drawbacks of PSI compared to traditional techniques.

Recent findings: Recent studies have demonstrated the potential benefits of PSI in knee osteotomy, including improvements in the accuracy of planned corrections, reductions in operative time and fluoroscopy exposure, and similar patient-reported outcomes. While increased costs and lead time represent drawbacks to the use of PSI, the technology continues to evolve such that these areas may improve over time. For osteotomy of the distal femur and proximal tibia, PSI offers surgeons an opportunity to improve surgical precision intra-operatively, with similar outcomes and complication rates as compared to traditional osteotomy techniques.

Abstract Image

Abstract Image

Abstract Image

膝关节截骨术患者专用内固定的适应症、技术和结果。
综述目的:膝关节周围截骨术是一种完善的技术,用于纠正下肢错位。虽然胫骨近端和股骨远端的截骨术传统上是徒手进行的,但以定制3D打印切割指南和植入物形式出现的患者专用仪器(PSI)为外科医生提供了更大的能力,可以根据患者独特的骨骼解剖结构进行个性化的手术矫正。这篇综述的目的是调查目前关于PSI在膝关节截骨术中的应用和结果的文献现状,以及与传统技术相比PSI的优缺点。最近的发现:最近的研究表明PSI在膝关节截骨术中的潜在益处,包括提高计划矫正的准确性,减少手术时间和透视暴露,以及类似的患者报告结果。虽然增加的成本和交货时间是PSI使用的缺点,但该技术仍在不断发展,这些领域可能会随着时间的推移而改进。对于股骨远端和胫骨近端截骨,PSI为外科医生提供了提高术中手术精度的机会,与传统截骨技术相比,其结果和并发症发生率相似。
本文章由计算机程序翻译,如有差异,请以英文原文为准。
求助全文
约1分钟内获得全文 求助全文
来源期刊
CiteScore
7.50
自引率
2.40%
发文量
64
期刊介绍: This journal intends to review the most significant recent developments in the field of musculoskeletal medicine. By providing clear, insightful, balanced contributions by expert world-renowned authors, the journal aims to serve all those involved in the diagnosis, treatment, management, and prevention of musculoskeletal-related conditions. We accomplish this aim by appointing authorities to serve as Section Editors in key subject areas, such as rehabilitation of the knee and hip, sports medicine, trauma, pediatrics, health policy, customization in arthroplasty, and rheumatology. Section Editors, in turn, select topics for which leading experts contribute comprehensive review articles that emphasize new developments and recently published papers of major importance, highlighted by annotated reference lists. We also provide commentaries from well-known figures in the field, and an Editorial Board of more than 20 diverse members suggests topics of special interest to their country/region and ensures that topics are current and include emerging research.
×
引用
GB/T 7714-2015
复制
MLA
复制
APA
复制
导出至
BibTeX EndNote RefMan NoteFirst NoteExpress
×
提示
您的信息不完整,为了账户安全,请先补充。
现在去补充
×
提示
您因"违规操作"
具体请查看互助需知
我知道了
×
提示
确定
请完成安全验证×
copy
已复制链接
快去分享给好友吧!
我知道了
右上角分享
点击右上角分享
0
联系我们:info@booksci.cn Book学术提供免费学术资源搜索服务,方便国内外学者检索中英文文献。致力于提供最便捷和优质的服务体验。 Copyright © 2023 布克学术 All rights reserved.
京ICP备2023020795号-1
ghs 京公网安备 11010802042870号
Book学术文献互助
Book学术文献互助群
群 号:604180095
Book学术官方微信