A Case of Male Breast Cancer in Rural America: Treatment Delays and Healthcare Access Challenges.

IF 0.7 Q4 ONCOLOGY
Case Reports in Oncology Pub Date : 2025-05-30 eCollection Date: 2025-01-01 DOI:10.1159/000546042
Siddanth Singh, Hiep Nguyen, Krishna Kapoor, Anh Nguyen, Larry Frase, Madhu Chiluveri
{"title":"A Case of Male Breast Cancer in Rural America: Treatment Delays and Healthcare Access Challenges.","authors":"Siddanth Singh, Hiep Nguyen, Krishna Kapoor, Anh Nguyen, Larry Frase, Madhu Chiluveri","doi":"10.1159/000546042","DOIUrl":null,"url":null,"abstract":"<p><strong>Introduction: </strong>Breast cancer in male is a rare, constituting less than 1% of all breast cancer cases, often leading to delayed diagnoses and poorer outcomes compared to women. Diagnosis in rural settings is particularly challenging due to limited healthcare access, lower awareness, and cultural stigmas. We report a case highlighting the unique challenges faced by rural male breast cancer patients, emphasizing the need for improved screening and awareness.</p><p><strong>Case presentation: </strong>A 60-year-old male with a significant smoking history and breast cancer presented to the emergency department with severe back and left lower extremity pain. Clinical evaluation revealed an erythematous lesion near the left nipple. Imaging and biopsy confirmed worsening metastatic breast carcinoma involving multiple vertebral bodies. The patient previously received hormonal and targeted therapies but discontinued treatment due to lack of resources, insurance issues, and follow-up associated with breast cancer diagnosis. Upon reinitiating treatment and receiving palliative radiation, the patient showed significant clinical improvement, demonstrating a complete metabolic response on follow-up imaging.</p><p><strong>Conclusion: </strong>This case underscores the significant barriers to timely breast cancer diagnosis and management in men, particularly in rural communities. Increased awareness, targeted screening protocols, and improved healthcare access are critical to addressing these disparities, potentially improving prognosis and quality of life for male breast cancer patients.</p>","PeriodicalId":9625,"journal":{"name":"Case Reports in Oncology","volume":"18 1","pages":"885-891"},"PeriodicalIF":0.7000,"publicationDate":"2025-05-30","publicationTypes":"Journal Article","fieldsOfStudy":null,"isOpenAccess":false,"openAccessPdf":"https://www.ncbi.nlm.nih.gov/pmc/articles/PMC12237286/pdf/","citationCount":"0","resultStr":null,"platform":"Semanticscholar","paperid":null,"PeriodicalName":"Case Reports in Oncology","FirstCategoryId":"1085","ListUrlMain":"https://doi.org/10.1159/000546042","RegionNum":0,"RegionCategory":null,"ArticlePicture":[],"TitleCN":null,"AbstractTextCN":null,"PMCID":null,"EPubDate":"2025/1/1 0:00:00","PubModel":"eCollection","JCR":"Q4","JCRName":"ONCOLOGY","Score":null,"Total":0}
引用次数: 0

Abstract

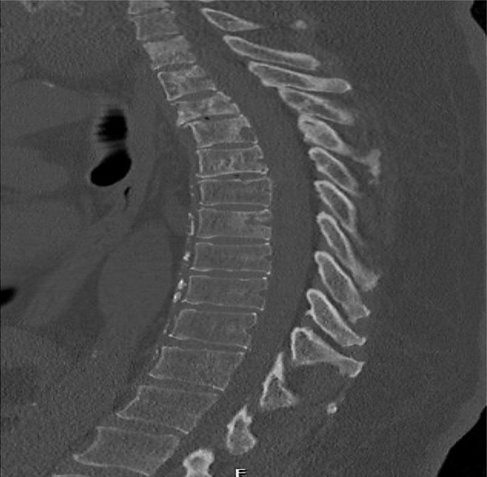
Introduction: Breast cancer in male is a rare, constituting less than 1% of all breast cancer cases, often leading to delayed diagnoses and poorer outcomes compared to women. Diagnosis in rural settings is particularly challenging due to limited healthcare access, lower awareness, and cultural stigmas. We report a case highlighting the unique challenges faced by rural male breast cancer patients, emphasizing the need for improved screening and awareness.

Case presentation: A 60-year-old male with a significant smoking history and breast cancer presented to the emergency department with severe back and left lower extremity pain. Clinical evaluation revealed an erythematous lesion near the left nipple. Imaging and biopsy confirmed worsening metastatic breast carcinoma involving multiple vertebral bodies. The patient previously received hormonal and targeted therapies but discontinued treatment due to lack of resources, insurance issues, and follow-up associated with breast cancer diagnosis. Upon reinitiating treatment and receiving palliative radiation, the patient showed significant clinical improvement, demonstrating a complete metabolic response on follow-up imaging.

Conclusion: This case underscores the significant barriers to timely breast cancer diagnosis and management in men, particularly in rural communities. Increased awareness, targeted screening protocols, and improved healthcare access are critical to addressing these disparities, potentially improving prognosis and quality of life for male breast cancer patients.

Abstract Image

Abstract Image

Abstract Image

一例男性乳腺癌在美国农村:治疗延误和医疗保健的挑战。
导读:男性乳腺癌是一种罕见的疾病,占所有乳腺癌病例的不到1%,与女性相比,往往导致诊断延迟和预后较差。农村地区的诊断尤其具有挑战性,原因是获得医疗服务的机会有限、意识较低以及文化污名。我们报告一个病例,突出农村男性乳腺癌患者面临的独特挑战,强调需要提高筛查和意识。病例介绍:一名60岁男性,有明显的吸烟史和乳腺癌,因严重的背部和左下肢疼痛来到急诊室。临床检查发现左乳头附近有红斑病变。影像学和活检证实转移性乳腺癌累及多椎体恶化。该患者先前接受了激素和靶向治疗,但由于缺乏资源、保险问题和与乳腺癌诊断相关的随访而停止了治疗。在重新开始治疗并接受姑息性放疗后,患者表现出显着的临床改善,在随访成像中显示出完全的代谢反应。结论:该病例强调了男性乳腺癌及时诊断和治疗的重大障碍,特别是在农村社区。提高认识、有针对性的筛查方案和改善医疗保健服务对于解决这些差异至关重要,这可能会改善男性乳腺癌患者的预后和生活质量。
本文章由计算机程序翻译,如有差异,请以英文原文为准。
求助全文
约1分钟内获得全文 求助全文
来源期刊
CiteScore
1.40
自引率
12.50%
发文量
151
审稿时长
7 weeks
×
引用
GB/T 7714-2015
复制
MLA
复制
APA
复制
导出至
BibTeX EndNote RefMan NoteFirst NoteExpress
×
提示
您的信息不完整,为了账户安全,请先补充。
现在去补充
×
提示
您因"违规操作"
具体请查看互助需知
我知道了
×
提示
确定
请完成安全验证×
copy
已复制链接
快去分享给好友吧!
我知道了
右上角分享
点击右上角分享
0
联系我们:info@booksci.cn Book学术提供免费学术资源搜索服务,方便国内外学者检索中英文文献。致力于提供最便捷和优质的服务体验。 Copyright © 2023 布克学术 All rights reserved.
京ICP备2023020795号-1
ghs 京公网安备 11010802042870号
Book学术文献互助
Book学术文献互助群
群 号:604180095
Book学术官方微信