Localized dissection of ascending aorta and arch rupture due to fire suppressant blast: A rare mechanism of injury successfully managed by urgent surgical intervention.

IF 0.6 Q4 CARDIAC & CARDIOVASCULAR SYSTEMS
Robert Grant, Anand Iyer, Pouya Nezafati
{"title":"Localized dissection of ascending aorta and arch rupture due to fire suppressant blast: A rare mechanism of injury successfully managed by urgent surgical intervention.","authors":"Robert Grant, Anand Iyer, Pouya Nezafati","doi":"10.48305/arya.2025.43477.3029","DOIUrl":null,"url":null,"abstract":"<p><strong>Background: </strong>Traumatic aortic injuries are predominantly caused by high-impact motor vehicle collisions, often due to sudden deceleration. This report presents a rare case of localized dissection and partial aortic arch rupture resulting from a fire suppressant explosion.</p><p><strong>Case presentation: </strong>A 36-year-old male was transferred following a fire suppressant explosion at a copper smelter. He presented with central chest pain and stable hemodynamics, with no signs of external chest trauma. Computed tomography (CT) imaging revealed a localized dissection of the ascending aorta and a partial rupture of the aortic arch, in addition to fractures in the hand and foot caused by suppressant debris. The patient subsequently became hemodynamically unstable and required urgent surgical intervention. He underwent ascending aortic and aortic arch repairs. Postoperatively, his course was complicated by a pulmonary embolism, which was managed medically. He was eventually discharged after recovering from his injuries.</p><p><strong>Conclusion: </strong>Aortic injuries resulting from small-scale blasts can occur. Successful management relies on a high index of suspicion and timely surgical intervention.</p>","PeriodicalId":46477,"journal":{"name":"ARYA Atherosclerosis","volume":"21 3","pages":"1-4"},"PeriodicalIF":0.6000,"publicationDate":"2025-01-01","publicationTypes":"Journal Article","fieldsOfStudy":null,"isOpenAccess":false,"openAccessPdf":"https://www.ncbi.nlm.nih.gov/pmc/articles/PMC12229171/pdf/","citationCount":"0","resultStr":null,"platform":"Semanticscholar","paperid":null,"PeriodicalName":"ARYA Atherosclerosis","FirstCategoryId":"1085","ListUrlMain":"https://doi.org/10.48305/arya.2025.43477.3029","RegionNum":0,"RegionCategory":null,"ArticlePicture":[],"TitleCN":null,"AbstractTextCN":null,"PMCID":null,"EPubDate":"","PubModel":"","JCR":"Q4","JCRName":"CARDIAC & CARDIOVASCULAR SYSTEMS","Score":null,"Total":0}
引用次数: 0

Abstract

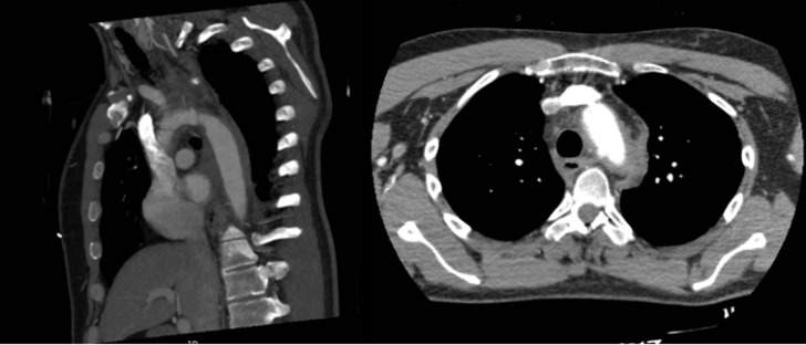
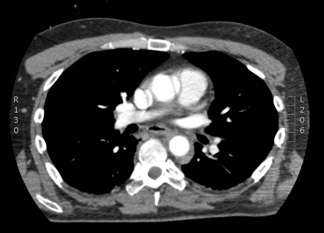
Background: Traumatic aortic injuries are predominantly caused by high-impact motor vehicle collisions, often due to sudden deceleration. This report presents a rare case of localized dissection and partial aortic arch rupture resulting from a fire suppressant explosion.

Case presentation: A 36-year-old male was transferred following a fire suppressant explosion at a copper smelter. He presented with central chest pain and stable hemodynamics, with no signs of external chest trauma. Computed tomography (CT) imaging revealed a localized dissection of the ascending aorta and a partial rupture of the aortic arch, in addition to fractures in the hand and foot caused by suppressant debris. The patient subsequently became hemodynamically unstable and required urgent surgical intervention. He underwent ascending aortic and aortic arch repairs. Postoperatively, his course was complicated by a pulmonary embolism, which was managed medically. He was eventually discharged after recovering from his injuries.

Conclusion: Aortic injuries resulting from small-scale blasts can occur. Successful management relies on a high index of suspicion and timely surgical intervention.

Abstract Image

Abstract Image

因消火剂爆炸引起的局部升主动脉夹层和动脉弓破裂:一种罕见的损伤机制,通过紧急手术干预成功处理。
背景:外伤性主动脉损伤主要是由高冲击力的机动车碰撞引起的,通常是由于突然减速。本文报告一例罕见的因灭火剂爆炸导致局部夹层及部分主动脉弓破裂的病例。病例介绍:一名36岁男性在铜冶炼厂发生灭火剂爆炸后被转移。他表现为中枢性胸痛和稳定的血流动力学,没有胸部外伤的迹象。计算机断层扫描(CT)显示局部升主动脉夹层和主动脉弓部分破裂,此外还有由抑制碎片引起的手部和足部骨折。患者随后出现血流动力学不稳定,需要紧急手术干预。他接受了升主动脉和主动脉弓修复手术。术后,他的病程因肺栓塞而复杂化,经医学治疗。他最终在伤愈后出院。结论:小尺度爆炸可引起主动脉损伤。成功的治疗依赖于高度的怀疑和及时的手术干预。
本文章由计算机程序翻译,如有差异,请以英文原文为准。
求助全文
约1分钟内获得全文 求助全文
来源期刊
ARYA Atherosclerosis
ARYA Atherosclerosis CARDIAC & CARDIOVASCULAR SYSTEMS-
CiteScore
1.00
自引率
0.00%
发文量
0
审稿时长
18 weeks
×
引用
GB/T 7714-2015
复制
MLA
复制
APA
复制
导出至
BibTeX EndNote RefMan NoteFirst NoteExpress
×
提示
您的信息不完整,为了账户安全,请先补充。
现在去补充
×
提示
您因"违规操作"
具体请查看互助需知
我知道了
×
提示
确定
请完成安全验证×
copy
已复制链接
快去分享给好友吧!
我知道了
右上角分享
点击右上角分享
0
联系我们:info@booksci.cn Book学术提供免费学术资源搜索服务,方便国内外学者检索中英文文献。致力于提供最便捷和优质的服务体验。 Copyright © 2023 布克学术 All rights reserved.
京ICP备2023020795号-1
ghs 京公网安备 11010802042870号
Book学术文献互助
Book学术文献互助群
群 号:604180095
Book学术官方微信