Invasiveness or growth pattern in urothelial tumours. A perspective to rethink the current WHO classification.

IF 2.9 Q1 PATHOLOGY
Jiyeon Lee, Sangjoon Choi, Ghee Young Kwon
{"title":"Invasiveness or growth pattern in urothelial tumours. A perspective to rethink the current WHO classification.","authors":"Jiyeon Lee, Sangjoon Choi, Ghee Young Kwon","doi":"10.32074/1591-951X-1087","DOIUrl":null,"url":null,"abstract":"<p><p>According to the current WHO classification, urothelial tumors consist of non-invasive urothelial neoplasms and invasive urothelial carcinoma which is supposed to include all tumors with invasion regardless of extent and pattern. Some pathologists are uncomfortable about such all-inclusive definition of invasive urothelial carcinoma and it is questionable whether invasiveness is a valid defining feature for primary distinction of urothelial tumors. Considering that most pathologists understand urothelial tumors based on the dual-track pathway model, we would like to raise concern that it may be necessary to rethink the validity of the current WHO classification compared to the restructuring into papillary vs non-papillary tumors. In our opinion, such restructuring would align the WHO classification with the pathogenesis model and could clarify the diagnostic terminology regarding invasiveness. The term of urothelial carcinoma in situ may also be reconsidered.</p>","PeriodicalId":45893,"journal":{"name":"PATHOLOGICA","volume":"117 3","pages":"243-248"},"PeriodicalIF":2.9000,"publicationDate":"2025-06-01","publicationTypes":"Journal Article","fieldsOfStudy":null,"isOpenAccess":false,"openAccessPdf":"https://www.ncbi.nlm.nih.gov/pmc/articles/PMC12236141/pdf/","citationCount":"0","resultStr":null,"platform":"Semanticscholar","paperid":null,"PeriodicalName":"PATHOLOGICA","FirstCategoryId":"1085","ListUrlMain":"https://doi.org/10.32074/1591-951X-1087","RegionNum":0,"RegionCategory":null,"ArticlePicture":[],"TitleCN":null,"AbstractTextCN":null,"PMCID":null,"EPubDate":"","PubModel":"","JCR":"Q1","JCRName":"PATHOLOGY","Score":null,"Total":0}
引用次数: 0

Abstract

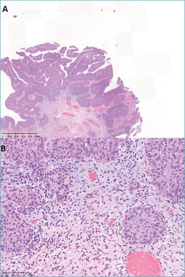
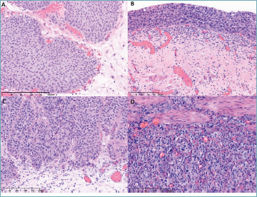
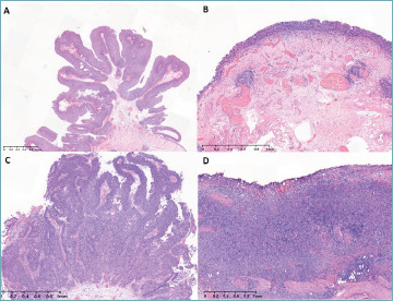
According to the current WHO classification, urothelial tumors consist of non-invasive urothelial neoplasms and invasive urothelial carcinoma which is supposed to include all tumors with invasion regardless of extent and pattern. Some pathologists are uncomfortable about such all-inclusive definition of invasive urothelial carcinoma and it is questionable whether invasiveness is a valid defining feature for primary distinction of urothelial tumors. Considering that most pathologists understand urothelial tumors based on the dual-track pathway model, we would like to raise concern that it may be necessary to rethink the validity of the current WHO classification compared to the restructuring into papillary vs non-papillary tumors. In our opinion, such restructuring would align the WHO classification with the pathogenesis model and could clarify the diagnostic terminology regarding invasiveness. The term of urothelial carcinoma in situ may also be reconsidered.

Abstract Image

Abstract Image

Abstract Image

尿路上皮肿瘤的侵袭性或生长模式。重新思考当前世卫组织分类的视角。
根据目前WHO的分类,尿路上皮肿瘤包括非侵袭性尿路上皮肿瘤和侵袭性尿路上皮癌,浸润性尿路上皮癌应该包括所有侵袭性肿瘤,无论其程度和模式如何。一些病理学家对浸润性尿路上皮癌的这种包罗一切的定义感到不舒服,而且浸润性是否是泌尿路上皮肿瘤的主要区分的有效定义特征也值得怀疑。考虑到大多数病理学家对尿路上皮肿瘤的理解是基于双轨通路模型,我们想提出这样的关注,即可能有必要重新考虑当前WHO分类的有效性,而不是将其重组为乳头状和非乳头状肿瘤。我们认为,这种重组将使WHO分类与发病机制模型保持一致,并可以澄清有关侵袭性的诊断术语。尿路上皮原位癌的术语也可以重新考虑。
本文章由计算机程序翻译,如有差异,请以英文原文为准。
求助全文
约1分钟内获得全文 求助全文
来源期刊
PATHOLOGICA
PATHOLOGICA PATHOLOGY-
CiteScore
5.90
自引率
5.70%
发文量
108
×
引用
GB/T 7714-2015
复制
MLA
复制
APA
复制
导出至
BibTeX EndNote RefMan NoteFirst NoteExpress
×
提示
您的信息不完整,为了账户安全,请先补充。
现在去补充
×
提示
您因"违规操作"
具体请查看互助需知
我知道了
×
提示
确定
请完成安全验证×
copy
已复制链接
快去分享给好友吧!
我知道了
右上角分享
点击右上角分享
0
联系我们:info@booksci.cn Book学术提供免费学术资源搜索服务,方便国内外学者检索中英文文献。致力于提供最便捷和优质的服务体验。 Copyright © 2023 布克学术 All rights reserved.
京ICP备2023020795号-1
ghs 京公网安备 11010802042870号
Book学术文献互助
Book学术文献互助群
群 号:604180095
Book学术官方微信