Late Presentation of Isolated Persistent Left Superior Vena Cava with Absent Right Superior Vena Cava Manifesting as Heart Failure: A Case Report.

IF 0.7 Q3 MEDICINE, GENERAL & INTERNAL
International Medical Case Reports Journal Pub Date : 2025-07-03 eCollection Date: 2025-01-01 DOI:10.2147/IMCRJ.S525707
Said Abdirahman Ahmed, Osman Farah Dahir, Ahmed Elmi Abdi, Ahmed Shafie Adan, Ishak Ahmed Abdi, Mohamud Mire Waberi, Mohamed Abdullahi Mohamud, Abdullahi Mohamed Hassan Fujeyra, Abdijalil Abdullahi Ali, Mohammed A M Ahmed, Bakar Ali Adan Ali, Mohamed Sheikh Hassan, Feyza Aksu, Mahad Sadik Mukhtar, Ismail Gedi Ibrahim, Mohamed Omar Hassan
{"title":"Late Presentation of Isolated Persistent Left Superior Vena Cava with Absent Right Superior Vena Cava Manifesting as Heart Failure: A Case Report.","authors":"Said Abdirahman Ahmed, Osman Farah Dahir, Ahmed Elmi Abdi, Ahmed Shafie Adan, Ishak Ahmed Abdi, Mohamud Mire Waberi, Mohamed Abdullahi Mohamud, Abdullahi Mohamed Hassan Fujeyra, Abdijalil Abdullahi Ali, Mohammed A M Ahmed, Bakar Ali Adan Ali, Mohamed Sheikh Hassan, Feyza Aksu, Mahad Sadik Mukhtar, Ismail Gedi Ibrahim, Mohamed Omar Hassan","doi":"10.2147/IMCRJ.S525707","DOIUrl":null,"url":null,"abstract":"<p><strong>Background: </strong>Persistent left superior vena cava (PLSVC) with absent right superior vena cava (RSVC) is a rare congenital venous anomaly, typically asymptomatic and discovered incidentally. In rare cases, it may contribute to hemodynamic disturbances and arrhythmias, potentially leading to heart failure, especially when associated with other cardiac anomalies or conduction abnormalities.</p><p><strong>Case presentation: </strong>We report the case of a 45-year-old male who presented with progressive symptoms of heart failure, including dyspnea, fatigue, and reduced exercise tolerance. Initial workup revealed an unexplained dilated coronary sinus and reduced left ventricular function with dilated heart chambers. Further imaging with contrast-enhanced echocardiography and CT angiography confirmed the presence of a PLSVC draining into the coronary sinus with absence of right superior vena cava. No other congenital heart defects were identified like coronary sinus atrial septal defect (ASD). The delayed diagnosis of PLSVC likely contributed to chronic atrial stretch, arrhythmia development- atrial fibrillation in this case, and eventual heart failure symptoms.</p><p><strong>Conclusion: </strong>This case highlights the importance of considering vascular anomalies like PLSVC in the differential diagnosis of unexplained heart failure or dilated coronary sinus. Early detection through appropriate imaging can guide management and potentially prevent progression of symptoms.</p>","PeriodicalId":14337,"journal":{"name":"International Medical Case Reports Journal","volume":"18 ","pages":"811-816"},"PeriodicalIF":0.7000,"publicationDate":"2025-07-03","publicationTypes":"Journal Article","fieldsOfStudy":null,"isOpenAccess":false,"openAccessPdf":"https://www.ncbi.nlm.nih.gov/pmc/articles/PMC12232947/pdf/","citationCount":"0","resultStr":null,"platform":"Semanticscholar","paperid":null,"PeriodicalName":"International Medical Case Reports Journal","FirstCategoryId":"1085","ListUrlMain":"https://doi.org/10.2147/IMCRJ.S525707","RegionNum":0,"RegionCategory":null,"ArticlePicture":[],"TitleCN":null,"AbstractTextCN":null,"PMCID":null,"EPubDate":"2025/1/1 0:00:00","PubModel":"eCollection","JCR":"Q3","JCRName":"MEDICINE, GENERAL & INTERNAL","Score":null,"Total":0}
引用次数: 0

Abstract

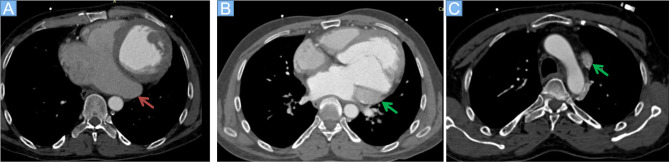
Background: Persistent left superior vena cava (PLSVC) with absent right superior vena cava (RSVC) is a rare congenital venous anomaly, typically asymptomatic and discovered incidentally. In rare cases, it may contribute to hemodynamic disturbances and arrhythmias, potentially leading to heart failure, especially when associated with other cardiac anomalies or conduction abnormalities.

Case presentation: We report the case of a 45-year-old male who presented with progressive symptoms of heart failure, including dyspnea, fatigue, and reduced exercise tolerance. Initial workup revealed an unexplained dilated coronary sinus and reduced left ventricular function with dilated heart chambers. Further imaging with contrast-enhanced echocardiography and CT angiography confirmed the presence of a PLSVC draining into the coronary sinus with absence of right superior vena cava. No other congenital heart defects were identified like coronary sinus atrial septal defect (ASD). The delayed diagnosis of PLSVC likely contributed to chronic atrial stretch, arrhythmia development- atrial fibrillation in this case, and eventual heart failure symptoms.

Conclusion: This case highlights the importance of considering vascular anomalies like PLSVC in the differential diagnosis of unexplained heart failure or dilated coronary sinus. Early detection through appropriate imaging can guide management and potentially prevent progression of symptoms.

Abstract Image

Abstract Image

Abstract Image

晚期出现孤立持续性左上腔静脉伴右上腔静脉缺失表现为心力衰竭1例。
背景:持续性左上腔静脉(PLSVC)伴右上腔静脉缺失(RSVC)是一种罕见的先天性静脉异常,通常无症状,是偶然发现的。在极少数情况下,它可能导致血流动力学紊乱和心律失常,潜在地导致心力衰竭,特别是当与其他心脏异常或传导异常相关时。病例介绍:我们报告一例45岁男性患者,其表现为进行性心力衰竭症状,包括呼吸困难、疲劳和运动耐受性降低。最初的检查显示一个不明原因的冠状窦扩张和左心室功能下降,心室扩张。进一步的超声心动图和CT血管造影证实了右上腔静脉缺失的情况下,左室静脉导管流入冠状窦的存在。未发现冠状窦性房间隔缺损(ASD)等先天性心脏缺陷。PLSVC的延迟诊断可能导致慢性心房拉伸、心律失常发展(本例中为心房颤动)和最终的心力衰竭症状。结论:本病例强调了考虑PLSVC等血管异常在鉴别诊断不明原因心力衰竭或冠状动脉窦扩张的重要性。通过适当的影像学检查进行早期发现可以指导治疗,并有可能预防症状的进展。
本文章由计算机程序翻译,如有差异,请以英文原文为准。
求助全文
约1分钟内获得全文 求助全文
来源期刊
International Medical Case Reports Journal
International Medical Case Reports Journal MEDICINE, GENERAL & INTERNAL-
CiteScore
1.40
自引率
0.00%
发文量
135
审稿时长
16 weeks
期刊介绍: International Medical Case Reports Journal is an international, peer-reviewed, open access, online journal publishing original case reports from all medical specialties. Submissions should not normally exceed 3,000 words or 4 published pages including figures, diagrams and references. As of 1st April 2019, the International Medical Case Reports Journal will no longer consider meta-analyses for publication.
×
引用
GB/T 7714-2015
复制
MLA
复制
APA
复制
导出至
BibTeX EndNote RefMan NoteFirst NoteExpress
×
提示
您的信息不完整,为了账户安全,请先补充。
现在去补充
×
提示
您因"违规操作"
具体请查看互助需知
我知道了
×
提示
确定
请完成安全验证×
copy
已复制链接
快去分享给好友吧!
我知道了
右上角分享
点击右上角分享
0
联系我们:info@booksci.cn Book学术提供免费学术资源搜索服务,方便国内外学者检索中英文文献。致力于提供最便捷和优质的服务体验。 Copyright © 2023 布克学术 All rights reserved.
京ICP备2023020795号-1
ghs 京公网安备 11010802042870号
Book学术文献互助
Book学术文献互助群
群 号:604180095
Book学术官方微信