Bacillus spore showcasing key antigens of African swine fever potentializes a promising oral vaccine candidate

IF 4.3 3区 生物学 Q2 BIOTECHNOLOGY & APPLIED MICROBIOLOGY
Xiaohua Wang, Baochao Fan, Tao Zhu, Hanwen Shen, Lian Li, Sihan Wang, Xiulian Yin, Baoxia Tian, Jinfeng Zhang, Bin Li, Chuping Luo
{"title":"Bacillus spore showcasing key antigens of African swine fever potentializes a promising oral vaccine candidate","authors":"Xiaohua Wang,&nbsp;Baochao Fan,&nbsp;Tao Zhu,&nbsp;Hanwen Shen,&nbsp;Lian Li,&nbsp;Sihan Wang,&nbsp;Xiulian Yin,&nbsp;Baoxia Tian,&nbsp;Jinfeng Zhang,&nbsp;Bin Li,&nbsp;Chuping Luo","doi":"10.1007/s00253-025-13511-4","DOIUrl":null,"url":null,"abstract":"<p>African swine fever (ASF) remains a widespread and fatal infectious disease affecting both domestic pigs and wild boars around the world, and there is still no vaccine available for full protection. In recent years, <i>Bacillus</i> spores have been developed into effective vaccine carriers. Here, <i>Bacillus amyloliquefaciens</i> spores from strain CPLK1314 were used as a vaccine delivery system to display three highly antigenic proteins, p72, p30, and p54 of ASF, and their immune responses in BALB/c mice were evaluated. Our results demonstrated that the antibiotic-free <i>Bacillus</i> gene editing system constructed in this study can work effectively, and p72 and the fusion antigen p3054 were successfully expressed in the spore coat of CPLK1314 by fusing with CotB and CotG, respectively. Further animal experiments showed that the recombinant spores <i>ΔBa72</i> and <i>ΔBa3054</i> exhibited good immunogenicity, which induced high levels of antigen-specific serum IgG, proliferation of splenic lymphocytes, secretion of immune-related factors, as well as a significant increase in the proportion of T lymphocytes CD3<sup>+</sup> CD4<sup>+</sup> and CD3<sup>+</sup> CD8<sup>+</sup>, and B lymphocytes B220<sup>+</sup> CD19<sup>+</sup>. Interestingly, when providing the same number of spores, a 1:1 mixture of the two, <i>ΔBa72</i> + <i>3054</i>, could simultaneously trigger similar levels of both p72 and p30 antibodies without cross-affecting production levels. Therefore, based on the CRISPR-Cas9 continuous gene editing system constructed in this study, the simultaneous co-expression of one antigen species or synergistic expression of multiple antigens at different spatial positions of <i>B. amyloliquefaciens</i> spores might make it a promising candidate for an ASF oral vaccine.</p><p>• <i>Bacillus amyloliquefaciens spore is an ideal and effective vaccine delivery system</i></p><p>• <i>Bacillus spore showcasing key antigens of ASF is a promising oral vaccine candidate</i></p><p>• <i>The Bacillus vaccine can trigger effective protective responses in animals</i></p>","PeriodicalId":8342,"journal":{"name":"Applied Microbiology and Biotechnology","volume":"109 1","pages":""},"PeriodicalIF":4.3000,"publicationDate":"2025-07-08","publicationTypes":"Journal Article","fieldsOfStudy":null,"isOpenAccess":false,"openAccessPdf":"https://www.ncbi.nlm.nih.gov/pmc/articles/PMC12238207/pdf/","citationCount":"0","resultStr":null,"platform":"Semanticscholar","paperid":null,"PeriodicalName":"Applied Microbiology and Biotechnology","FirstCategoryId":"5","ListUrlMain":"https://link.springer.com/article/10.1007/s00253-025-13511-4","RegionNum":3,"RegionCategory":"生物学","ArticlePicture":[],"TitleCN":null,"AbstractTextCN":null,"PMCID":null,"EPubDate":"","PubModel":"","JCR":"Q2","JCRName":"BIOTECHNOLOGY & APPLIED MICROBIOLOGY","Score":null,"Total":0}
引用次数: 0

Abstract

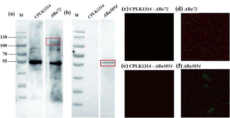
African swine fever (ASF) remains a widespread and fatal infectious disease affecting both domestic pigs and wild boars around the world, and there is still no vaccine available for full protection. In recent years, Bacillus spores have been developed into effective vaccine carriers. Here, Bacillus amyloliquefaciens spores from strain CPLK1314 were used as a vaccine delivery system to display three highly antigenic proteins, p72, p30, and p54 of ASF, and their immune responses in BALB/c mice were evaluated. Our results demonstrated that the antibiotic-free Bacillus gene editing system constructed in this study can work effectively, and p72 and the fusion antigen p3054 were successfully expressed in the spore coat of CPLK1314 by fusing with CotB and CotG, respectively. Further animal experiments showed that the recombinant spores ΔBa72 and ΔBa3054 exhibited good immunogenicity, which induced high levels of antigen-specific serum IgG, proliferation of splenic lymphocytes, secretion of immune-related factors, as well as a significant increase in the proportion of T lymphocytes CD3+ CD4+ and CD3+ CD8+, and B lymphocytes B220+ CD19+. Interestingly, when providing the same number of spores, a 1:1 mixture of the two, ΔBa72 + 3054, could simultaneously trigger similar levels of both p72 and p30 antibodies without cross-affecting production levels. Therefore, based on the CRISPR-Cas9 continuous gene editing system constructed in this study, the simultaneous co-expression of one antigen species or synergistic expression of multiple antigens at different spatial positions of B. amyloliquefaciens spores might make it a promising candidate for an ASF oral vaccine.

Bacillus amyloliquefaciens spore is an ideal and effective vaccine delivery system

Bacillus spore showcasing key antigens of ASF is a promising oral vaccine candidate

The Bacillus vaccine can trigger effective protective responses in animals

Abstract Image

Abstract Image

Abstract Image

显示非洲猪瘟关键抗原的芽孢杆菌孢子可能成为一种有前途的口服候选疫苗。
非洲猪瘟(ASF)仍然是一种影响世界各地家猪和野猪的广泛和致命的传染病,目前仍没有疫苗可以提供全面保护。近年来,芽孢杆菌孢子已发展成为有效的疫苗载体。本研究利用菌株CPLK1314的解淀粉芽孢杆菌孢子作为疫苗递送系统,展示了ASF的三种高抗原蛋白p72、p30和p54,并评估了它们在BALB/c小鼠中的免疫应答。我们的研究结果表明,本研究构建的无抗生素芽孢杆菌基因编辑系统可以有效地工作,p72和融合抗原p3054分别通过与CotB和CotG融合在CPLK1314的孢子外壳中成功表达。进一步的动物实验表明,重组孢子ΔBa72和ΔBa3054具有良好的免疫原性,诱导血清抗原特异性IgG水平升高,脾脏淋巴细胞增殖,免疫相关因子分泌增多,T淋巴细胞CD3+ CD4+、CD3+ CD8+和B淋巴细胞B220+ CD19+比例显著升高。有趣的是,当提供相同数量的孢子时,两者1:1的混合物ΔBa72 + 3054可以同时触发相似水平的p72和p30抗体,而不会交叉影响生产水平。因此,基于本研究构建的CRISPR-Cas9连续基因编辑系统,在解淀粉芽孢杆菌孢子的不同空间位置同时共表达一种抗原或协同表达多种抗原可能使其成为ASF口服疫苗的有希望的候选物。•解淀粉芽孢杆菌孢子是一种理想而有效的疫苗递送系统•显示非洲猪瘟关键抗原的芽孢杆菌孢子是一种有前途的口服疫苗候选物•芽孢杆菌疫苗可以在动物中引发有效的保护反应。
本文章由计算机程序翻译,如有差异,请以英文原文为准。
求助全文
约1分钟内获得全文 求助全文
来源期刊
Applied Microbiology and Biotechnology
Applied Microbiology and Biotechnology 工程技术-生物工程与应用微生物
CiteScore
10.00
自引率
4.00%
发文量
535
审稿时长
2 months
期刊介绍: Applied Microbiology and Biotechnology focusses on prokaryotic or eukaryotic cells, relevant enzymes and proteins; applied genetics and molecular biotechnology; genomics and proteomics; applied microbial and cell physiology; environmental biotechnology; process and products and more. The journal welcomes full-length papers and mini-reviews of new and emerging products, processes and technologies.
×
引用
GB/T 7714-2015
复制
MLA
复制
APA
复制
导出至
BibTeX EndNote RefMan NoteFirst NoteExpress
×
提示
您的信息不完整,为了账户安全,请先补充。
现在去补充
×
提示
您因"违规操作"
具体请查看互助需知
我知道了
×
提示
确定
请完成安全验证×
copy
已复制链接
快去分享给好友吧!
我知道了
右上角分享
点击右上角分享
0
联系我们:info@booksci.cn Book学术提供免费学术资源搜索服务,方便国内外学者检索中英文文献。致力于提供最便捷和优质的服务体验。 Copyright © 2023 布克学术 All rights reserved.
京ICP备2023020795号-1
ghs 京公网安备 11010802042870号
Book学术文献互助
Book学术文献互助群
群 号:604180095
Book学术官方微信