Effects of maternal temperament on uterine and umbilical blood flow, expression of angiogenic proteins, and fetal growth in pregnant ossimi sheep.

IF 2.1 4区 农林科学 Q2 AGRICULTURE, DAIRY & ANIMAL SCIENCE
Animal Reproduction Pub Date : 2025-07-07 eCollection Date: 2025-01-01 DOI:10.1590/1984-3143-AR2024-0125
Mohammed Elmetwally, Fatma Adlan, Basma Hendam, Alaa Samy, Shaymaa Rezk, Samah Lasheen, Heba Mohram, Sara Shalapy, Reham Fahmy, Amy Jo Montgomery, Yasser Y Lenis, Amira Mostagir
{"title":"Effects of maternal temperament on uterine and umbilical blood flow, expression of angiogenic proteins, and fetal growth in pregnant ossimi sheep.","authors":"Mohammed Elmetwally, Fatma Adlan, Basma Hendam, Alaa Samy, Shaymaa Rezk, Samah Lasheen, Heba Mohram, Sara Shalapy, Reham Fahmy, Amy Jo Montgomery, Yasser Y Lenis, Amira Mostagir","doi":"10.1590/1984-3143-AR2024-0125","DOIUrl":null,"url":null,"abstract":"<p><p>This study aimed to examine the efficacy of Doppler and B-mode sonography in evaluating the impact of maternal temperament on hemodynamic alterations in both the fetus and uterus during ovine gestation in addition to alteration of the angiogenic protein expression and fetal biometry. Twenty Ossimi ewes were divided into two groups, more reactive (MR: 12 sheep) and less reactive (LR: 8 sheep). Several endpoints were assessed every 2 weeks (wk) from breeding to wk 20 of pregnancy. Blood samples were taken to evaluate the expression of angiogenic proteins at parturition. The resistance (RI) and pulsatility (PI) indexes of the uterine (UtA) and fetal umbilical arteries (UMA) were measured. Biometry includes: diameter of amniotic vesicles (AVD), umbilicus (UMD), fetal thoracic diameter (FTD) and metacarpal length (MCL). The UtA-PI was higher in MR compared to LR ewes between 6-12 wks of gestation (P>0.01), while a tendency was recognized at wk 14 (P=0.054). The same was true for UtA-RI during the first 8 wk of pregnancy (P < 0.03) when MR and LR animals were compared. Similarly, UMA-RI was higher in fetuses of MR than LR ewes at wk 14 (P<0.0003) and 20 (P<0.02) of pregnancy. The differences in UMA-PI reached significance at wk 6, 8, 10, and 20 (P<0.0 -0.003). Furthermore, significant changes in fetal biometry were investigated. The expressions of <i>VEGF, NOS3</i> and <i>HIF 1α</i> were increased in the less reactive sheep (P<0.001). In conclusion, the maternal temperaments affect the Doppler, B mode as well as the expressions of mRNAs for <i>VEGF, NOS3</i> and <i>HIF 1α</i> genes at time of parturition.</p>","PeriodicalId":7889,"journal":{"name":"Animal Reproduction","volume":"22 2","pages":"e20240125"},"PeriodicalIF":2.1000,"publicationDate":"2025-07-07","publicationTypes":"Journal Article","fieldsOfStudy":null,"isOpenAccess":false,"openAccessPdf":"https://www.ncbi.nlm.nih.gov/pmc/articles/PMC12232499/pdf/","citationCount":"0","resultStr":null,"platform":"Semanticscholar","paperid":null,"PeriodicalName":"Animal Reproduction","FirstCategoryId":"97","ListUrlMain":"https://doi.org/10.1590/1984-3143-AR2024-0125","RegionNum":4,"RegionCategory":"农林科学","ArticlePicture":[],"TitleCN":null,"AbstractTextCN":null,"PMCID":null,"EPubDate":"2025/1/1 0:00:00","PubModel":"eCollection","JCR":"Q2","JCRName":"AGRICULTURE, DAIRY & ANIMAL SCIENCE","Score":null,"Total":0}
引用次数: 0

Abstract

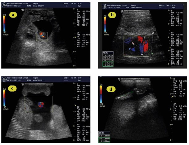
This study aimed to examine the efficacy of Doppler and B-mode sonography in evaluating the impact of maternal temperament on hemodynamic alterations in both the fetus and uterus during ovine gestation in addition to alteration of the angiogenic protein expression and fetal biometry. Twenty Ossimi ewes were divided into two groups, more reactive (MR: 12 sheep) and less reactive (LR: 8 sheep). Several endpoints were assessed every 2 weeks (wk) from breeding to wk 20 of pregnancy. Blood samples were taken to evaluate the expression of angiogenic proteins at parturition. The resistance (RI) and pulsatility (PI) indexes of the uterine (UtA) and fetal umbilical arteries (UMA) were measured. Biometry includes: diameter of amniotic vesicles (AVD), umbilicus (UMD), fetal thoracic diameter (FTD) and metacarpal length (MCL). The UtA-PI was higher in MR compared to LR ewes between 6-12 wks of gestation (P>0.01), while a tendency was recognized at wk 14 (P=0.054). The same was true for UtA-RI during the first 8 wk of pregnancy (P < 0.03) when MR and LR animals were compared. Similarly, UMA-RI was higher in fetuses of MR than LR ewes at wk 14 (P<0.0003) and 20 (P<0.02) of pregnancy. The differences in UMA-PI reached significance at wk 6, 8, 10, and 20 (P<0.0 -0.003). Furthermore, significant changes in fetal biometry were investigated. The expressions of VEGF, NOS3 and HIF 1α were increased in the less reactive sheep (P<0.001). In conclusion, the maternal temperaments affect the Doppler, B mode as well as the expressions of mRNAs for VEGF, NOS3 and HIF 1α genes at time of parturition.

Abstract Image

Abstract Image

Abstract Image

母性气质对妊娠奥西米羊子宫和脐血流量、血管生成蛋白表达及胎儿生长的影响。
本研究旨在探讨多普勒和b超在评估母体气质对妊娠期间胎儿和子宫血流动力学改变的影响以及血管生成蛋白表达和胎儿生物计量学的改变。将20只奥西米母羊分为反应性较强(MR: 12只)和反应性较弱(LR: 8只)两组。从繁殖到妊娠第20周,每2周(周)评估几个终点。采血评估分娩时血管生成蛋白的表达。测定子宫(UtA)和胎儿脐动脉(UMA)的阻力(RI)和脉搏(PI)指标。生物测量包括:羊膜囊直径(AVD)、脐直径(UMD)、胎儿胸径(FTD)和掌骨长度(MCL)。在妊娠6-12周期间,UtA-PI在MR中高于LR母羊(P < 0.01),而在妊娠14周时发现了这种趋势(P=0.054)。当MR和LR动物进行比较时,UtA-RI在妊娠前8周也是如此(P < 0.03)。同样,在第14周时,MR胎儿的UMA-RI高于LR母羊(PVEGF、NOS3和HIF 1α基因在分娩时活性较低的绵羊中PVEGF、NOS3和HIF 1α基因升高)。
本文章由计算机程序翻译,如有差异,请以英文原文为准。
求助全文
约1分钟内获得全文 求助全文
来源期刊
Animal Reproduction
Animal Reproduction AGRICULTURE, DAIRY & ANIMAL SCIENCE-
CiteScore
2.30
自引率
11.80%
发文量
49
审稿时长
70 days
期刊介绍: Animal Reproduction (AR) publishes original scientific papers and invited literature reviews, in the form of Basic Research, Biotechnology, Applied Research and Review Articles, with the goal of contributing to a better understanding of phenomena related to animal reproduction. The scope of the journal applies to students, researchers and practitioners in the fields of veterinary, biology and animal science, also being of interest to practitioners of human medicine. Animal Reproduction Journal is the official organ of the Brazilian College of Animal Reproduction in Brazil.
×
引用
GB/T 7714-2015
复制
MLA
复制
APA
复制
导出至
BibTeX EndNote RefMan NoteFirst NoteExpress
×
提示
您的信息不完整,为了账户安全,请先补充。
现在去补充
×
提示
您因"违规操作"
具体请查看互助需知
我知道了
×
提示
确定
请完成安全验证×
copy
已复制链接
快去分享给好友吧!
我知道了
右上角分享
点击右上角分享
0
联系我们:info@booksci.cn Book学术提供免费学术资源搜索服务,方便国内外学者检索中英文文献。致力于提供最便捷和优质的服务体验。 Copyright © 2023 布克学术 All rights reserved.
京ICP备2023020795号-1
ghs 京公网安备 11010802042870号
Book学术文献互助
Book学术文献互助群
群 号:604180095
Book学术官方微信